Skip to main content

SAE2 Antibody (OTI4A3)

Novus Biologicals, part of Bio-Techne | Catalog # NBP2-03688

Novus Biologicals, part of Bio-Techne
Catalog #
Availability
Size / Price
Qty
Loading...
NBP2-03688

Key Product Details

Species Reactivity

Human, Mouse, Rat, Canine, Monkey, Primate

Applications

Immunohistochemistry, Immunohistochemistry-Paraffin, Western Blot, Immunocytochemistry/ Immunofluorescence

Label

Unconjugated

Antibody Source

Monoclonal Mouse IgG2A Clone # OTI4A3

Concentration

1 mg/ml

Product Specifications

Immunogen

Full length human recombinant protein of human UBA2 (NP_005490) produced in HEK293T cell.

Reactivity Notes

Please note that this antibody is reactive to Mouse and derived from the same host, Mouse. Mouse-On-Mouse blocking reagent may be needed for IHC and ICC experiments to reduce high background signal. You can find these reagents under catalog numbers PK-2200-NB and MP-2400-NB. Please contact Technical Support if you have any questions.

Clonality

Monoclonal

Host

Mouse

Isotype

IgG2A

Theoretical MW

71 kDa.
Disclaimer note: The observed molecular weight of the protein may vary from the listed predicted molecular weight due to post translational modifications, post translation cleavages, relative charges, and other experimental factors.

Description

Novus Biologicals Mouse SAE2 Antibody (OTI4A3) (NBP2-03688) is a monoclonal antibody validated for use in IHC, WB and ICC/IF. All Novus Biologicals antibodies are covered by our 100% guarantee.

Scientific Data Images for SAE2 Antibody (OTI4A3)

Western Blot: SAE2 Antibody (4A3) [NBP2-03688] Analysis of extracts (35ug) from 9 different cell lines by using anti-SAE2 monoclonal antibody.
Immunocytochemistry/ Immunofluorescence: SAE2 Antibody (OTI4A3) [NBP2-03688]

Immunocytochemistry/ Immunofluorescence: SAE2 Antibody (OTI4A3) [NBP2-03688]

Immunocytochemistry/Immunofluorescence: SAE2 Antibody (4A3) [NBP2-03688] - Staining of COS7 cells transiently transfected by pCMV6-ENTRY SAE2.
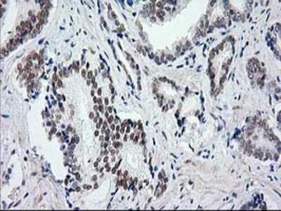
Immunohistochemistry-Paraffin: SAE2 Antibody (OTI4A3) [NBP2-03688]

Immunohistochemistry-Paraffin: SAE2 Antibody (OTI4A3) [NBP2-03688]

Immunohistochemistry-Paraffin: SAE2 Antibody (4A3) [NBP2-03688] - Staining of paraffin-embedded Human prostate tissue using anti-SAE2 mouse monoclonal antibody.

Applications for SAE2 Antibody (OTI4A3)

Application
Recommended Usage

Immunocytochemistry/ Immunofluorescence

1:100

Immunohistochemistry

1:150

Immunohistochemistry-Paraffin

1:150

Western Blot

1:500-2000

Formulation, Preparation, and Storage

Purification

Immunogen affinity purified

Formulation

PBS (pH 7.3), 1.0% BSA and 50% Glycerol

Preservative

0.02% Sodium Azide

Concentration

1 mg/ml

Shipping

The product is shipped with polar packs. Upon receipt, store it immediately at the temperature recommended below.

Stability & Storage

Store at -20C. Avoid freeze-thaw cycles.

Background: SAE2

Posttranslational modification of proteins by the addition of the small protein SUMO (see SUMO1; MIM 601912), or sumoylation, regulates protein structure and intracellular localization. SAE1 (MIM 613294) and UBA2 form a heterodimer that functions as a SUMO-activating enzyme for the sumoylation of proteins (Okuma et al., 1999 [PubMed 9920803]).[supplied by OMIM].

Alternate Names

Anthracycline-associated resistance ARX, ARX, EC 6.3.2, EC 6.3.2.-, FLJ13058, HRIHFB2115, SAE2SUMO-1 activating enzyme subunit 2, SUMO1 activating enzyme subunit 2, SUMO-activating enzyme subunit 2, UBA2, ubiquitin-activating enzyme E1 homolog, Ubiquitin-like 1-activating enzyme E1B, ubiquitin-like modifier activating enzyme 2, UBLE1B

Entrez Gene IDs

10054 (Human)

Gene Symbol

UBA2

Additional SAE2 Products

Product Documents for SAE2 Antibody (OTI4A3)

Certificate of Analysis

To download a Certificate of Analysis, please enter a lot number in the search box below.

Product Specific Notices for SAE2 Antibody (OTI4A3)

This product is for research use only and is not approved for use in humans or in clinical diagnosis. Primary Antibodies are guaranteed for 1 year from date of receipt.

Loading...
Loading...
Loading...
Loading...