S1P3/EDG-3 Antibody - BSA Free
Novus Biologicals, part of Bio-Techne | Catalog # NBP2-24762
Key Product Details
Species Reactivity
Human, Mouse
Applications
Immunohistochemistry, Immunohistochemistry-Paraffin, Western Blot
Label
Unconjugated
Antibody Source
Polyclonal Rabbit IgG
Format
BSA Free
Concentration
1.0 mg/ml
Product Specifications
Immunogen
A portion of amino acids 300-350 of human Sphingolipid Receptor Edg3/S1P3 was used as the immunogen.
Clonality
Polyclonal
Host
Rabbit
Isotype
IgG
Scientific Data Images for S1P3/EDG-3 Antibody - BSA Free
Western Blot: S1P3/EDG-3 Antibody [NBP2-24762]
Western Blot: S1P3/EDG-3 Antibody [NBP2-24762] - Human neuroblastoma with various drugs and control. Image from verified customer review.Immunohistochemistry-Paraffin: S1P3/EDG-3 Antibody [NBP2-24762]
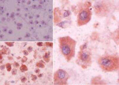
Immunohistochemistry-Paraffin: S1P3/EDG-3 Antibody [NBP2-24762] - Human liver tissue using an isotype control (top left) and NBP2-24762 (bottom left, right) at 5 ug/ml.Western Blot: S1P3/EDG-3 Antibody [NBP2-24762]
Western Blot: S1P3/EDG-3 Antibody [NBP2-24762] - Sphingolipid Receptor Edg3/S1P3 in kidney lysate. Lane 1 shows pre-immune sera. Lanes 2 and 3 show NBP2-24762 tested on human kidney (2 ug/ml) and mouse kidney (1 ug/ml) lysate.Applications for S1P3/EDG-3 Antibody - BSA Free
Application
Recommended Usage
Immunohistochemistry-Paraffin
5 ug/ml
Western Blot
1.0-2.0 ug/ml
Formulation, Preparation, and Storage
Purification
Protein G purified
Formulation
PBS
Format
BSA Free
Preservative
0.05% Sodium Azide
Concentration
1.0 mg/ml
Shipping
The product is shipped with polar packs. Upon receipt, store it immediately at the temperature recommended below.
Stability & Storage
Store at 4C short term. Aliquot and store at -20C long term. Avoid freeze-thaw cycles.
Background: S1P3/EDG-3
Long Name
Endothelial Differentiation Gene 3
Alternate Names
EDG3, LPB3, S1PR3
Gene Symbol
S1PR3
UniProt
Additional S1P3/EDG-3 Products
Product Documents for S1P3/EDG-3 Antibody - BSA Free
Product Specific Notices for S1P3/EDG-3 Antibody - BSA Free
This product is for research use only and is not approved for use in humans or in clinical diagnosis. Primary Antibodies are guaranteed for 1 year from date of receipt.
Loading...
Loading...
Loading...
Loading...