Skip to main content

S1P1/EDG-1 Antibody (JM10-66)

Novus Biologicals, part of Bio-Techne | Catalog # NBP2-67129

Recombinant Monoclonal Antibody.
Novus Biologicals, part of Bio-Techne
Catalog #
Availability
Size / Price
Qty
Loading...
NBP2-67129

Key Product Details

Species Reactivity

Human, Mouse, Rat

Applications

Flow Cytometry, Immunocytochemistry/ Immunofluorescence, Immunohistochemistry, Immunohistochemistry-Paraffin, Western Blot

Label

Unconjugated

Antibody Source

Recombinant Monoclonal Rabbit IgG Clone # JM10-66 expressed in HEK293

Concentration

1 mg/ml

Product Specifications

Immunogen

Synthetic peptide within Human S1P1/EDG-1 aa 2-51 / 382. (SwissProt: P21453 Human; SwissProt: O08530 Mouse; SwissProt: P48303 Rat)

Localization

Cell membrane.

Clonality

Monoclonal

Host

Rabbit

Isotype

IgG

Description

Novus Biologicals Rabbit S1P1/EDG-1 Antibody (JM10-66) (NBP2-67129) is a recombinant monoclonal antibody validated for use in IHC, WB, Flow and ICC/IF. All Novus Biologicals antibodies are covered by our 100% guarantee.

Scientific Data Images for S1P1/EDG-1 Antibody (JM10-66)

Western Blot: S1P1/EDG-1 Antibody (JM10-66) [NBP2-67129]

Western Blot: S1P1/EDG-1 Antibody (JM10-66) [NBP2-67129]

Western Blot: S1P1/EDG-1 Antibody (JM10-66) [NBP2-67129] - Western blot analysis of S1P1/EDG-1 on different lysates. Proteins were transferred to a PVDF membrane and blocked with 5% BSA in PBS for 1 hour at room temperature. The primary antibody (1/500) was used in 5% BSA at room temperature for 2 hours. Goat Anti-Rabbit IgG - HRP Secondary Antibody (HA1001) at 1:5,000 dilution was used for 1 hour at room temperature. Positive control: Lane 1: SH-SY5Y cell lysate Lane 2: HepG2 cell lysate
Immunocytochemistry/ Immunofluorescence: S1P1/EDG-1 Antibody (JM10-66) [NBP2-67129]

Immunocytochemistry/ Immunofluorescence: S1P1/EDG-1 Antibody (JM10-66) [NBP2-67129]

Immunocytochemistry/Immunofluorescence: S1P1/EDG-1 Antibody (JM10-66) [NBP2-67129] - Staining EDG1 in SH-SY5Y cells (red). The nuclear counter stain is DAPI (blue). Cells were fixed in paraformaldehyde, permeabilised with 0.25% Triton X100/PBS.
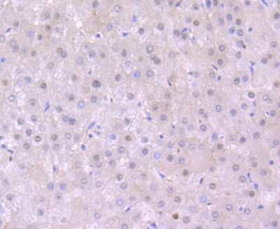
Immunohistochemistry-Paraffin: S1P1/EDG-1 Antibody (JM10-66) [NBP2-67129]

Immunohistochemistry-Paraffin: S1P1/EDG-1 Antibody (JM10-66) [NBP2-67129]

Immunohistochemistry-Paraffin: S1P1/EDG-1 Antibody (JM10-66) [NBP2-67129] - Analysis of paraffin-embedded mouse heart tissue using anti-EDG1 antibody. Counter stained with hematoxylin.

Applications for S1P1/EDG-1 Antibody (JM10-66)

Application
Recommended Usage

Flow Cytometry

1:50-1:100

Immunocytochemistry/ Immunofluorescence

1:100-1:500

Immunohistochemistry-Paraffin

1:50-1:200

Western Blot

1:500-1:2000

Formulation, Preparation, and Storage

Purification

Protein A purified

Formulation

TBS (pH7.4), 0.05% BSA, 40% Glycerol

Preservative

0.05% Sodium Azide

Concentration

1 mg/ml

Shipping

The product is shipped with polar packs. Upon receipt, store it immediately at the temperature recommended below.

Stability & Storage

Store at 4C short term. Aliquot and store at -20C long term. Avoid freeze-thaw cycles.

Background: S1P1/EDG-1

EBP 50 [ERM (ezrin-radixin-moesin) binding phosphoprotein of 50 kDa] is a PDZ containing protein that is involved in the linkage of integral membrane proteins to the cytoskeleton. EBP50 contains two tandem PDZ domains followed by a carboxy-terminal sequence that binds to members of the ERM family of membrane-cytoskeleton adaptors. The PDZ domains within EBP50 bind to the carboxy termini of such target proteins as beta2 adrenergic receptor, platelet-derived growth factor receptor (PDGFR), and the cystic fibrosis conductance regulator (CFTR). The PDZ domains are also believed to be involved in the oligomerization of EBP 50 to form multiprotein complexes which helps to facilitate the formation of functional signalling complexes. EBP 50 has been shown to link integral membrane proteins to the cytoskeleton by binding to members of the ERM family of proteins, which bind to F-actin. Through these interactions, EBP 50 is implicated in the localization of interactive groups of proteins into subcellular domains and in the regulation of activity of those interacting proteins. Immunohistochemical studies have shown that EBP 50 is found exclusively at the apical membranes of epithelial cells.

Long Name

Endothelial Differentiation Gene 1

Alternate Names

CD363, EDG1, S1PR1

Gene Symbol

S1PR1

Additional S1P1/EDG-1 Products

Product Documents for S1P1/EDG-1 Antibody (JM10-66)

Certificate of Analysis

To download a Certificate of Analysis, please enter a lot number in the search box below.

Product Specific Notices for S1P1/EDG-1 Antibody (JM10-66)

This product is for research use only and is not approved for use in humans or in clinical diagnosis. Primary Antibodies are guaranteed for 1 year from date of receipt.

Loading...
Loading...
Loading...
Loading...
Loading...