Skip to main content

S100Z Antibody - BSA Free

Novus Biologicals, part of Bio-Techne | Catalog # NBP3-41336

Novus Biologicals, part of Bio-Techne
Catalog #
Availability
Size / Price
Qty
Loading...
NBP3-41336

Key Product Details

Species Reactivity

Human, Mouse, Rat, Porcine

Applications

Immunohistochemistry, Immunohistochemistry-Paraffin, Western Blot

Label

Unconjugated

Antibody Source

Polyclonal Rabbit

Format

BSA Free

Concentration

0.5 mg/ml

Product Specifications

Immunogen

Immunized with recombinant Human S100Z (Uniprot#: Q8WXG8; Met1-Lys99 (Uniprot#: Q8WXG8)

Clonality

Polyclonal

Host

Rabbit

Description

Novus Biologicals Rabbit S100Z Antibody - BSA Free (NBP3-41336) is a polyclonal antibody validated for use in IHC and WB. All Novus Biologicals antibodies are covered by our 100% guarantee.

Scientific Data Images for S100Z Antibody - BSA Free

S100Z Antibody

Western Blot: S100Z Antibody [NBP3-41336] -

Western Blot: S100Z Antibody [NBP3-41336] - Sample: Recombinant protein.
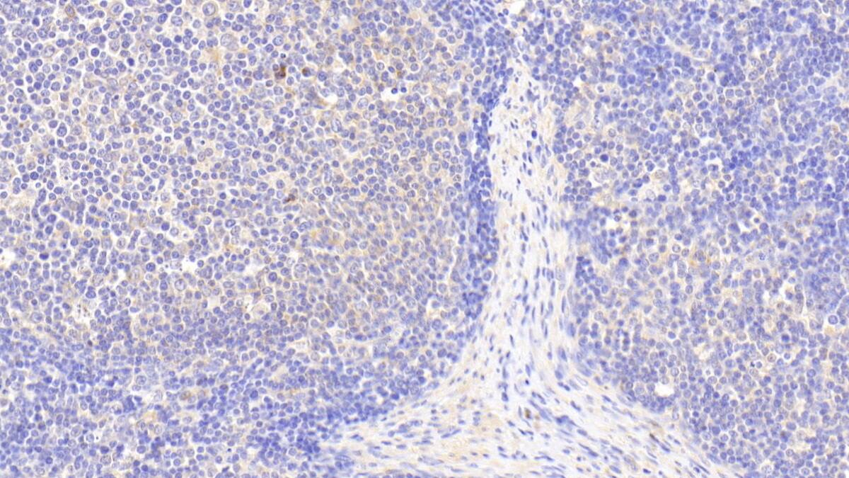
S100Z Antibody

Immunohistochemistry-Paraffin: S100Z Antibody [NBP3-41336] -

Immunohistochemistry-Paraffin: S100Z Antibody [NBP3-41336] - DAB staining on IHC-P; Samples: Human Spleen Tissue; Primary Ab: 20ug/ml NBP3-41336; Second Ab: 2ug/mL HRP-Linked Caprine Anti-Rabbit IgG Polyclonal Antibody
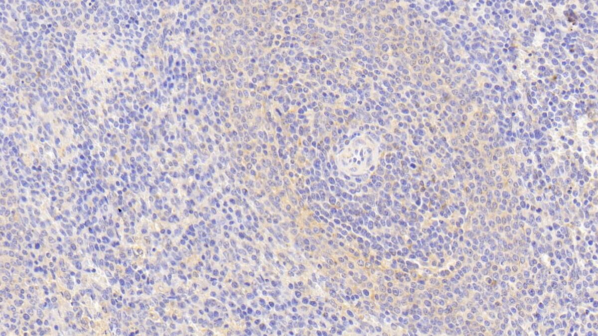
S100Z Antibody

Immunohistochemistry-Paraffin: S100Z Antibody [NBP3-41336] -

Immunohistochemistry-Paraffin: S100Z Antibody [NBP3-41336] - DAB staining on IHC-P; Samples: Human Lymph node Tissue; Primary Ab: 20ug/ml NBP3-41336; Second Ab: 2ug/mL HRP-Linked Caprine Anti-Rabbit IgG Polyclonal Antibody

Applications for S100Z Antibody - BSA Free

Application
Recommended Usage

Immunohistochemistry

5-20ug/mL

Immunohistochemistry-Paraffin

5-20ug/mL

Western Blot

0.5-2ug/mL

Formulation, Preparation, and Storage

Purification

Antigen and protein A Affinity-purified

Formulation

PBS, pH7.4, 50% glycerol

Format

BSA Free

Preservative

0.02% Sodium Azide

Concentration

0.5 mg/ml

Shipping

The product is shipped with polar packs. Upon receipt, store it immediately at the temperature recommended below.

Stability & Storage

Store at 4C short term. Aliquot and store at -20C long term. Avoid freeze-thaw cycles.

Background: S100Z

Members of the S100 protein family contain 2 calcium-binding EF-hands and exhibit cell-type specific expressionpatterns. For additional background information on S100 proteins, see MIM 114085.(supplied by OMIM)

Alternate Names

Gm625, S100 calcium binding protein Z, S100 calcium-binding protein Z, zeta

Gene Symbol

S100Z

Additional S100Z Products

Product Documents for S100Z Antibody - BSA Free

Certificate of Analysis

To download a Certificate of Analysis, please enter a lot number in the search box below.

Product Specific Notices for S100Z Antibody - BSA Free

This product is for research use only and is not approved for use in humans or in clinical diagnosis. Primary Antibodies are guaranteed for 1 year from date of receipt.

Loading...
Loading...
Loading...
Loading...