Skip to main content

S100B Antibody (S100B/1706R) - Azide and BSA Free

Novus Biologicals, part of Bio-Techne | Catalog # NBP2-54426

Recombinant Monoclonal Antibody.
Novus Biologicals, part of Bio-Techne

Key Product Details

Species Reactivity

Human, Mouse, Rat, Bovine, Canine

Applications

Immunohistochemistry, Immunohistochemistry-Paraffin, Western Blot, Protein Array

Label

Unconjugated

Antibody Source

Recombinant Monoclonal Rabbit IgG Kappa Clone # S100B/1706R

Format

Azide and BSA Free

Concentration

1 mg/ml

Product Specifications

Immunogen

Recombinant full-length human S100B protein (Uniprot: P04271)

Localization

Cytoplasmic

Specificity

S100 belongs to the family of calcium binding proteins. S100A and S100B proteins are two members of the S100 family. S100A is composed of an alpha and a beta chain whereas S100B is composed of two beta chains. This antibody is specific against an epitope located on the beta-chain (i.e. in S-100A and S-100B) but not on the alpha-chain of S-100 (i.e. in S-100A and S100A0). This antibody can be used to localize S-100A and S-100B in various tissue sections. S-100 protein has been found in normal melanocytes, Langerhans cells, histiocytes, chondrocytes, lipocytes, skeletal and cardiac muscle, Schwann cells, epithelial and myoepithelial cells of the breast, salivary and sweat glands, as well as in glial cells. Neoplasms derived from these cells also express S-100 protein, albeit non-uniformly. A large number of well-differentiated tumors of the salivary gland, adipose and cartilaginous tissue, and Schwann cell-derived tumors express S-100 protein. Almost all malignant melanomas and cases of histiocytosis X are positive for S-100 protein.

Marker

Astrocyte and Melanoma Marker

Clonality

Monoclonal

Host

Rabbit

Isotype

IgG Kappa

Description

1.0 mg/ml of antibody purified by Protein A. Prepared in 10mM PBS WITHOUT BSA & azide. Also available at 200 ug/ml WITH BSA & azide (NBP2-53188).

Antibody with azide store at 2 to 8C. Antibody without azide - store at -20 to -80 C.

Scientific Data Images for S100B Antibody (S100B/1706R) - Azide and BSA Free

Western Blot: S100B Antibody (S100B/1706R)Azide and BSA Free [NBP2-54426]

Western Blot: S100B Antibody (S100B/1706R)Azide and BSA Free [NBP2-54426]

Western Blot: S100B Antibody (S100B/1706R) - Azide and BSA Free [NBP2-54426] - Western blot analysis of human brain tissue lysate using S100B antibody (S100B/1706R).
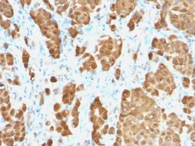
Immunohistochemistry-Paraffin: S100B Antibody (S100B/1706R) - Azide and BSA Free [NBP2-54426]

Immunohistochemistry-Paraffin: S100B Antibody (S100B/1706R) - Azide and BSA Free [NBP2-54426]

Immunohistochemistry-Paraffin: S100B Antibody (S100B/1706R) - Azide and BSA Free [NBP2-54426] - Formalin-fixed, paraffin-embedded human Melanoma stained with S100B Rabbit Monoclonal Antibody (S100B/1706R).
Protein Array: S100B Antibody (S100B/1706R) - Azide and BSA Free [NBP2-54426]

Protein Array: S100B Antibody (S100B/1706R) - Azide and BSA Free [NBP2-54426]

Protein Array: S100B Antibody (S100B/1706R) - Azide and BSA Free [NBP2-54426] - Analysis of Protein Array containing more than 19,000 full-length human proteins using S100B Antibody (S100B/1706R) Z- and S- Score: The Z-score represents the strength of a signal that a monoclonal antibody (Monoclonal Antibody) (in combination with a fluorescently-tagged anti-IgG secondary antibody) produces when binding to a particular protein on the HuProt(TM) array. Z-scores are described in units of standard deviations (SDs) above the mean value of all signals generated on that array. If targets on HuProt(TM) are arranged in descending order of the Z-score, the S-score is the difference (also in units of SDs) between the Z-score. S-score therefore represents the relative target specificity of a Monoclonal Antibody to its intended target. A Monoclonal Antibody is considered to specific to its intended target, if the Monoclonal Antibody has an S-score of at least 2.5.

Applications for S100B Antibody (S100B/1706R) - Azide and BSA Free

Application
Recommended Usage

Immunohistochemistry

Optimal dilutions of this antibody should be experimentally determined.

Immunohistochemistry-Paraffin

Optimal dilutions of this antibody should be experimentally determined.

Protein Array

Optimal dilutions of this antibody should be experimentally determined.

Western Blot

Optimal dilutions of this antibody should be experimentally determined.
Application Notes
Immunohistochemistry (Formalin-fixed): 1-2ug/ml for 30 minutes at RT. Staining of formalin-fixed tissues requires heating tissue sections in 10mM Tris with 1mM EDTA, pH 9.0, for 45 min at 95C followed by cooling at RT for 20 minutes.
Optimal dilution for a specific application should be determined.

Formulation, Preparation, and Storage

Purification

Protein A purified

Formulation

10 mM PBS

Format

Azide and BSA Free

Preservative

No Preservative

Concentration

1 mg/ml

Shipping

The product is shipped with polar packs. Upon receipt, store it immediately at the temperature recommended below.

Stability & Storage

Store at -20 to -80C. Avoid freeze-thaw cycles.

Background: S100B

S100B is a zinc- and calcium-binding protein belonging to the S100 protein family within the EF-hand (helix E-loop-helix F) subgroup (1,2). S100B plays a role in normal central nervous system development, is associated with various neurological diseases such as Alzheimer's and Parkinson's, and it serves as a marker for brain injury (1,2). The S100B protein has a homodimeric structure comprised of two 91-amino acid polypeptide monomers each with a theoretical molecular weight of 10.5 kDa (1,2). Furthermore, each monomer contains two EF-hand regions, four helixes, and a hinge region (2). S100B is predominately expressed in astrocytes, oligodendrocytes, and Schwann cells, but also other cell types including adipocytes (1,3). S100B interacts with toll-like receptor 4 (TLR4) and receptor for advanced glycation end products (RAGE), initiating downstream signaling cascades and transcription factors including JNK/JUN, NFkappaB, and p38, leading to caspase and proinflammatory cytokine production (2). Overall outcomes include neuronal apoptosis, neuroinflammation, and neurodegeneration (1,2). S100B is the most commonly studied astroglia and blood brain barrier biomarker in traumatic brain injury (TBI) (3,4). The serum levels of S100B in patients with TBI is indicative of patient outcomes, where high levels correlate with injury severity and mortality (4). S100B is often in used in combination with additional biomarkers such as glial fibrillary acidic protein (GFAP) and ubiquitin c-terminal hydrolase L1 (UCH-L1) (3,4).

References

1. Yardan, T., Erenler, A. K., Baydin, A., Aydin, K., & Cokluk, C. (2011). Usefulness of S100B protein in neurological disorders. JPMA. The Journal of the Pakistan Medical Association, 61(3), 276-281.

2. Langeh, U., & Singh, S. (2021). Targeting S100B Protein as a Surrogate Biomarker and its Role in Various Neurological Disorders. Current neuropharmacology, 19(2), 265-277. https://doi.org/10.2174/1570159X18666200729100427

3. Thelin, E. P., Nelson, D. W., & Bellander, B. M. (2017). A review of the clinical utility of serum S100B protein levels in the assessment of traumatic brain injury. Acta neurochirurgica, 159(2), 209-225. https://doi.org/10.1007/s00701-016-3046-3

4. Wang, K. K., Yang, Z., Zhu, T., Shi, Y., Rubenstein, R., Tyndall, J. A., & Manley, G. T. (2018). An update on diagnostic and prognostic biomarkers for traumatic brain injury. Expert review of molecular diagnostics, 18(2), 165-180. https://doi.org/10.1080/14737159.2018.1428089

Long Name

S100 Calcium Binding Protein B

Alternate Names

beta (neural), NEF, S100, S100 beta, S100 calcium binding protein B, S100 calcium-binding protein B, S100 calcium-binding protein, beta (neural), S-100 calcium-binding protein, beta chain, 10protein S100-B, S-100 protein beta chain, S-100 protein subunit beta, S100beta

Gene Symbol

S100B

Additional S100B Products

Product Documents for S100B Antibody (S100B/1706R) - Azide and BSA Free

Certificate of Analysis

To download a Certificate of Analysis, please enter a lot number in the search box below.

Product Specific Notices for S100B Antibody (S100B/1706R) - Azide and BSA Free

This product is for research use only and is not approved for use in humans or in clinical diagnosis. Primary Antibodies are guaranteed for 1 year from date of receipt.

Loading...
Loading...
Loading...
Loading...