Skip to main content

S100B Antibody (S100B/12587R)

Novus Biologicals, part of Bio-Techne | Catalog # NBP3-48974

Recombinant Monoclonal Antibody
Novus Biologicals, part of Bio-Techne
Catalog #
Availability
Size / Price
Qty
Loading...
NBP3-48974-20ug
NBP3-48974-100ug

Key Product Details

Species Reactivity

Human, Mouse, Rat, Bovine, Canine

Applications

Immunohistochemistry, Western Blot

Label

Unconjugated

Antibody Source

Recombinant Monoclonal Rabbit IgG Kappa Clone # S100B/12587R expressed in HEK293

Concentration

Please see the vial label for concentration. If unlisted please contact technical services.

Product Specifications

Immunogen

Recombinant full-length human S100B protein (Uniprot: P04271)

Localization

Cytoplasm, Nucleus

Clonality

Monoclonal

Host

Rabbit

Isotype

IgG Kappa

Description

Prepared in 10mM PBS with 0.05% BSA & 0.05% azide. Also available WITHOUT BSA & azide at 1.0mg/ml.

Antibody with azide - store at 2 to 8 C. Antibody without azide - store at -20 to -80 C. Antibody is stable for 24 months. Non-hazardous. No MSDS required.

Scientific Data Images for S100B Antibody (S100B/12587R)

S100B Antibody (S100B/12587R)

Western Blot: S100B Antibody (S100B/12587R) [NBP3-48974] -

Western blot analysis of human brain tissue lysate using S100B Antibody (S100B/12587R).
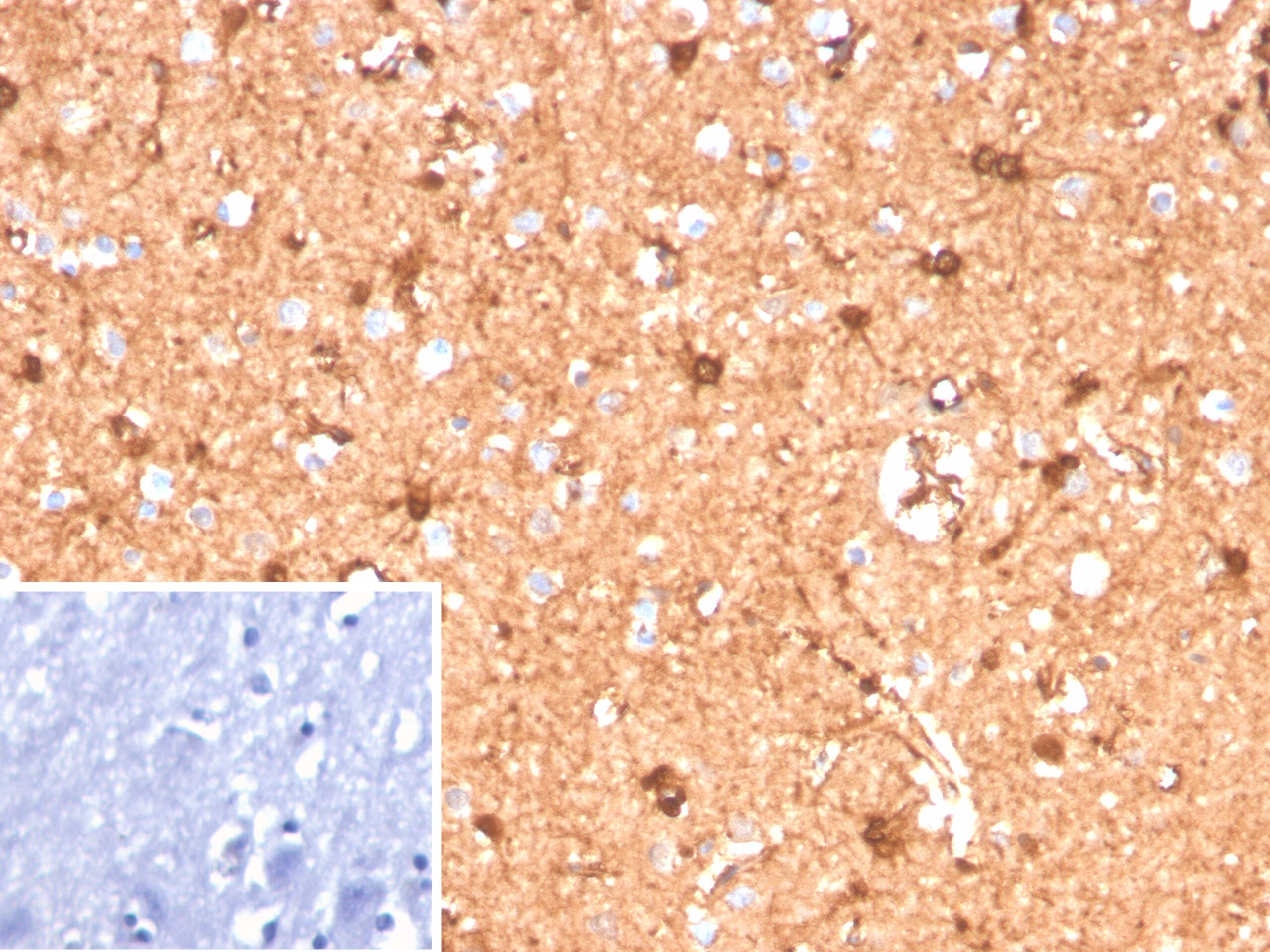
S100B Antibody (S100B/12587R)

Immunohistochemistry-Paraffin: S100B Antibody (S100B/12587R) [NBP3-48974] -

Formalin-fixed, paraffin-embedded human brain stained with S100B Antibody (S100B/12587R). Inset: PBS instead of primary antibody; secondary only negative control.

Applications for S100B Antibody (S100B/12587R)

Application
Recommended Usage

Immunohistochemistry

Optimal dilutions of this antibody should be experimentally determined.

Western Blot

Optimal dilutions of this antibody should be experimentally determined.

Formulation, Preparation, and Storage

Purification

Protein A or G purified

Formulation

10 mM PBS with 0.05% BSA

Preservative

0.05% Sodium Azide

Concentration

Please see the vial label for concentration. If unlisted please contact technical services.

Shipping

The product is shipped with polar packs. Upon receipt, store it immediately at the temperature recommended below.

Stability & Storage

Store at 4C.

Background: S100B

S100B is a zinc- and calcium-binding protein belonging to the S100 protein family within the EF-hand (helix E-loop-helix F) subgroup (1,2). S100B plays a role in normal central nervous system development, is associated with various neurological diseases such as Alzheimer's and Parkinson's, and it serves as a marker for brain injury (1,2). The S100B protein has a homodimeric structure comprised of two 91-amino acid polypeptide monomers each with a theoretical molecular weight of 10.5 kDa (1,2). Furthermore, each monomer contains two EF-hand regions, four helixes, and a hinge region (2). S100B is predominately expressed in astrocytes, oligodendrocytes, and Schwann cells, but also other cell types including adipocytes (1,3). S100B interacts with toll-like receptor 4 (TLR4) and receptor for advanced glycation end products (RAGE), initiating downstream signaling cascades and transcription factors including JNK/JUN, NFkappaB, and p38, leading to caspase and proinflammatory cytokine production (2). Overall outcomes include neuronal apoptosis, neuroinflammation, and neurodegeneration (1,2). S100B is the most commonly studied astroglia and blood brain barrier biomarker in traumatic brain injury (TBI) (3,4). The serum levels of S100B in patients with TBI is indicative of patient outcomes, where high levels correlate with injury severity and mortality (4). S100B is often in used in combination with additional biomarkers such as glial fibrillary acidic protein (GFAP) and ubiquitin c-terminal hydrolase L1 (UCH-L1) (3,4).

References

1. Yardan, T., Erenler, A. K., Baydin, A., Aydin, K., & Cokluk, C. (2011). Usefulness of S100B protein in neurological disorders. JPMA. The Journal of the Pakistan Medical Association, 61(3), 276-281.

2. Langeh, U., & Singh, S. (2021). Targeting S100B Protein as a Surrogate Biomarker and its Role in Various Neurological Disorders. Current neuropharmacology, 19(2), 265-277. https://doi.org/10.2174/1570159X18666200729100427

3. Thelin, E. P., Nelson, D. W., & Bellander, B. M. (2017). A review of the clinical utility of serum S100B protein levels in the assessment of traumatic brain injury. Acta neurochirurgica, 159(2), 209-225. https://doi.org/10.1007/s00701-016-3046-3

4. Wang, K. K., Yang, Z., Zhu, T., Shi, Y., Rubenstein, R., Tyndall, J. A., & Manley, G. T. (2018). An update on diagnostic and prognostic biomarkers for traumatic brain injury. Expert review of molecular diagnostics, 18(2), 165-180. https://doi.org/10.1080/14737159.2018.1428089

Long Name

S100 Calcium Binding Protein B

Alternate Names

beta (neural), NEF, S100, S100 beta, S100 calcium binding protein B, S100 calcium-binding protein B, S100 calcium-binding protein, beta (neural), S-100 calcium-binding protein, beta chain, 10protein S100-B, S-100 protein beta chain, S-100 protein subunit beta, S100beta

Gene Symbol

S100B

Additional S100B Products

Product Documents for S100B Antibody (S100B/12587R)

Certificate of Analysis

To download a Certificate of Analysis, please enter a lot number in the search box below.

Product Specific Notices for S100B Antibody (S100B/12587R)

This product is for research use only and is not approved for use in humans or in clinical diagnosis. Primary Antibodies are guaranteed for 1 year from date of receipt.

Loading...
Loading...
Loading...
Loading...