S100A16 Antibody (S100A16/7412) - Azide and BSA Free
Novus Biologicals, part of Bio-Techne | Catalog # NBP3-27051
Conjugate
Catalog #
Key Product Details
Species Reactivity
Human
Applications
Immunohistochemistry-Paraffin
Label
Unconjugated
Antibody Source
Monoclonal Mouse IgG2 kappa Clone # S100A16/7412
Format
Azide and BSA Free
Concentration
1 mg/ml
Product Specifications
Immunogen
Recombinant fragment (around aa1-103) of human S100A16 protein (exact sequence is proprietary)
Localization
Nucleus, Cytoplasm
Clonality
Monoclonal
Host
Mouse
Isotype
IgG2 kappa
Description
Antibody without azide - store at -20 to -80C. Non-hazardous. No MSDS required.
Scientific Data Images for S100A16 Antibody (S100A16/7412) - Azide and BSA Free
Western Blot: S100A16 Antibody (S100A16/7412) - Azide and BSA Free [NBP3-27051] -
Western Blot Analysis of SK-BR-3 lysate using S100A16 Antibody (S100A16/7412) - Azide and BSA Free.Immunohistochemistry-Paraffin: S100A16 Antibody (S100A16/7412) - Azide and BSA Free [NBP3-27051] -
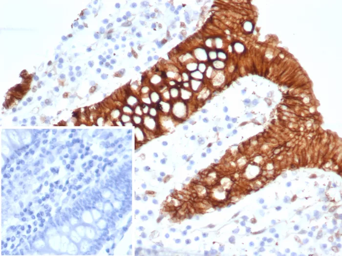
Formalin-fixed, paraffin-embedded human colon carcinoma stained with S100A16 Antibody (S100A16/7412) - Azide and BSA Free. Inset: PBS instead of primary antibody; secondary only negative control.Immunohistochemistry-Paraffin: S100A16 Antibody (S100A16/7412) - Azide and BSA Free [NBP3-27051] -
Formalin-fixed, paraffin-embedded human skin stained with S100A16 Antibody (S100A16/7412) - Azide and BSA Free. Inset: PBS instead of primary antibody; secondary only negative control.Applications for S100A16 Antibody (S100A16/7412) - Azide and BSA Free
Application
Recommended Usage
Immunohistochemistry-Paraffin
1-2ug/ml for 30 minutes at RT
Application Notes
Immunohistochemistry-Paraffin 1-2ug/ml for 30 minutes at RT. Optimal dilution for a specific application should be determined.. Staining of formalin-fixed tissues requires heating tissue sections in 10mM Tris with 1mM EDTA, pH 9.0, for 45 min at 95C followed by cooling at RT for 20 minutes
Formulation, Preparation, and Storage
Purification
Protein A or G purified
Formulation
10mM PBS
Format
Azide and BSA Free
Preservative
No Preservative
Concentration
1 mg/ml
Shipping
The product is shipped with polar packs. Upon receipt, store it immediately at the temperature recommended below.
Stability & Storage
Store at -20 to -80C. Avoid freeze-thaw cycles.
Background: S100A16
Long Name
S100 Calcium Binding Protein A16
Alternate Names
AAG13, DT1P1A7, S100F
Gene Symbol
S100A16
Additional S100A16 Products
Product Documents for S100A16 Antibody (S100A16/7412) - Azide and BSA Free
Product Specific Notices for S100A16 Antibody (S100A16/7412) - Azide and BSA Free
This product is for research use only and is not approved for use in humans or in clinical diagnosis. Primary Antibodies are guaranteed for 1 year from date of receipt.
Loading...
Loading...
Loading...
Loading...