Skip to main content

S100A/B Antibody (C8) - BSA Free

Novus Biologicals, part of Bio-Techne | Catalog # NBP3-41140

Novus Biologicals, part of Bio-Techne
Catalog #
Availability
Size / Price
Qty
Loading...
NBP3-41140

Key Product Details

Species Reactivity

Human, Porcine

Applications

Immunocytochemistry/ Immunofluorescence, Immunohistochemistry, Immunohistochemistry-Paraffin, Western Blot

Label

Unconjugated

Antibody Source

Monoclonal Mouse IgG1 kappa Clone # C8

Format

BSA Free

Concentration

1 mg/ml

Product Specifications

Immunogen

Immunized with recombinant Human S100A/B (Uniprot#: P23297; Met1-Ser94 (Uniprot#: P23297)

Clonality

Monoclonal

Host

Mouse

Isotype

IgG1 kappa

Description

Novus Biologicals Mouse S100A/B Antibody (C8) - BSA Free (NBP3-41140) is a monoclonal antibody validated for use in IHC, WB and ICC/IF. All Novus Biologicals antibodies are covered by our 100% guarantee.

Scientific Data Images for S100A/B Antibody (C8) - BSA Free

S100A/B Antibody (C8)

Western Blot: S100A/B Antibody (C8) [NBP3-41140] -

Western Blot: S100A/B Antibody (C8) [NBP3-41140] - Sample: Lane1: HT1080 cell lysate; Lane2: HepG2 cell lysate
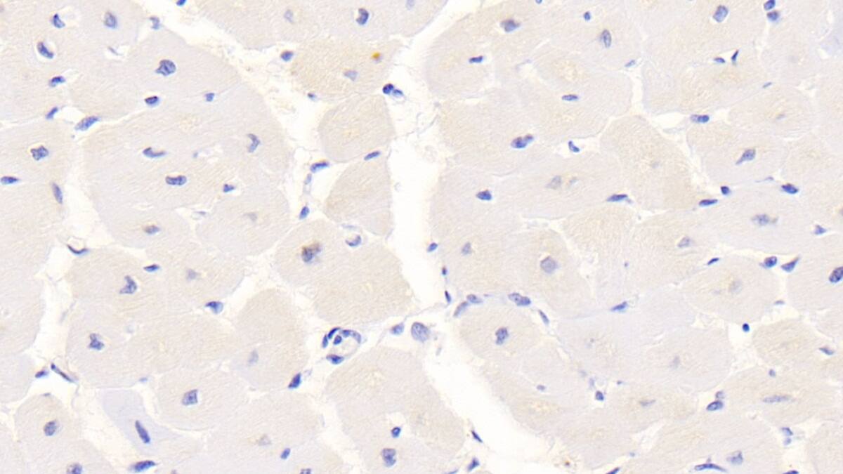
S100A/B Antibody (C8)

Immunohistochemistry-Paraffin: S100A/B Antibody (C8) [NBP3-41140] -

Immunohistochemistry-Paraffin: S100A/B Antibody (C8) [NBP3-41140] - DAB staining on IHC-P; Samples: Human Cardiac Muscle Tissue; Primary Ab: 30ug/ml NBP3-41140; Second Ab: 2ug/mL HRP-Linked Caprine Anti-Mouse IgG Polyclonal Antibody

Applications for S100A/B Antibody (C8) - BSA Free

Application
Recommended Usage

Immunocytochemistry/ Immunofluorescence

5-30ug/mL

Immunohistochemistry

5-30ug/mL

Immunohistochemistry-Paraffin

5-30ug/mL

Western Blot

0.5-3ug/mL

Formulation, Preparation, and Storage

Purification

Protein A or G purified

Formulation

PBS, pH7.4, 50% glycerol

Format

BSA Free

Preservative

0.02% Sodium Azide

Concentration

1 mg/ml

Shipping

The product is shipped with polar packs. Upon receipt, store it immediately at the temperature recommended below.

Stability & Storage

Store at 4C short term. Aliquot and store at -20C long term. Avoid freeze-thaw cycles.

Background: S100A/B

S100 belongs to the family of calcium binding proteins such as calmodulin and troponin C. S100 proteins are localized in the cytoplasm and/or nucleus of a wide range of cells, and involved in the regulation of a number of cellular processes such as cell cycle progression and differentiation. S100 genes include at least 13 members which are located as a cluster on chromosome 1q21. S100A is composed of an alpha and beta chain whereas S100B is composed of two beta chains. S100 protein may function in stimulation of Ca2+ induced Ca2+ release, inhibition of microtubule assembly, and inhibition of protein kinase C mediated phosphorylation. Reduced expression of this protein has been implicated in cardiomyopathies. Immunoreactive S100 protein localizes in the cytoplasm and nuclei of astrocytes, Schwann's cells, ependymomas and astrogliomas. Ganglion cells do not stain for S100 protein. S100 can be detected in almost all benign naevi and malignant melanocytic tumors of the skin, and in Langerhans cells in the skin.

Alternate Names

protein S100-A1, S100 alpha, S100 calcium binding protein A1, S100 calcium-binding protein A1S100, S-100 protein alpha chain, S-100 protein subunit alpha, S100 protein, alpha polypeptide, S100A, S100-alpha

Gene Symbol

S100A1

Additional S100A/B Products

Product Documents for S100A/B Antibody (C8) - BSA Free

Certificate of Analysis

To download a Certificate of Analysis, please enter a lot number in the search box below.

Product Specific Notices for S100A/B Antibody (C8) - BSA Free

This product is for research use only and is not approved for use in humans or in clinical diagnosis. Primary Antibodies are guaranteed for 1 year from date of receipt.

Loading...
Loading...
Loading...
Loading...