Skip to main content

RUVBL1 Antibody (7Q2U8)

Novus Biologicals, part of Bio-Techne | Catalog # NBP3-16583

Recombinant Monoclonal Antibody
Novus Biologicals, part of Bio-Techne
Catalog #
Availability
Size / Price
Qty
Loading...
NBP3-16583-100ul
NBP3-16583-20ul

Key Product Details

Species Reactivity

Human, Mouse, Rat

Applications

Immunohistochemistry, Immunohistochemistry-Paraffin, Western Blot, ELISA, Chromatin Immunoprecipitation (ChIP)

Label

Unconjugated

Antibody Source

Recombinant Monoclonal Rabbit IgG Clone # 7Q2U8 expressed in HEK293

Concentration

Please see the vial label for concentration. If unlisted please contact technical services.

Product Specifications

Immunogen

A synthetic peptide corresponding to a sequence within amino acids 350-456 of human RUVBL1 (Q9Y265). IPLDLLDRVMIIRTMLYTPQEMKQIIKIRAQTEGINISEEALNHLGEIGTKTTLRYSVQLLTPANLLAKINGKDSIEKEHVEEISELFYDAKSSAKILADQQDKYMK

Clonality

Monoclonal

Host

Rabbit

Isotype

IgG

Theoretical MW

50 kDa.
Disclaimer note: The observed molecular weight of the protein may vary from the listed predicted molecular weight due to post translational modifications, post translation cleavages, relative charges, and other experimental factors.

Description

Novus Biologicals Rabbit RUVBL1 Antibody (7Q2U8) (NBP3-16583) is a recombinant monoclonal antibody validated for use in IHC, WB, ELISA and ChIP. All Novus Biologicals antibodies are covered by our 100% guarantee.

Scientific Data Images for RUVBL1 Antibody (7Q2U8)

Western Blot: RUVBL1 Antibody (7Q2U8) [NBP3-16583]

Western Blot: RUVBL1 Antibody (7Q2U8) [NBP3-16583]

Western Blot: RUVBL1 Antibody (7Q2U8) [NBP3-16583] - Western blot analysis of extracts of various cell lines, using RUVBL1 Rabbit mAb (NBP3-16583) at 1:1000 dilution. Secondary antibody: HRP Goat Anti-Rabbit IgG (H+L) at 1:10000 dilution. Lysates/proteins: 25ug per lane. Blocking buffer: 3% nonfat dry milk in TBST. Detection: ECL Basic Kit. Exposure time: 3min.
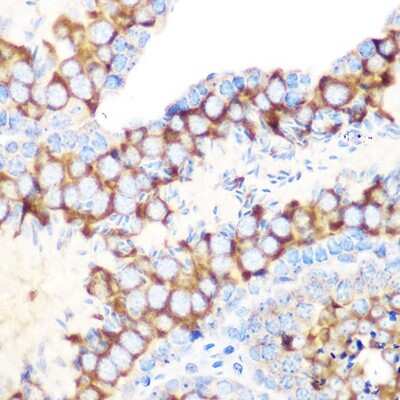
Immunohistochemistry-Paraffin: RUVBL1 Antibody (7Q2U8) [NBP3-16583]

Immunohistochemistry-Paraffin: RUVBL1 Antibody (7Q2U8) [NBP3-16583]

Immunohistochemistry-Paraffin: RUVBL1 Antibody (7Q2U8) [NBP3-16583] - Immunohistochemistry of paraffin-embedded mouse testis using RUVBL1 Rabbit mAb (NBP3-16583) at dilution of 1:100 (40x lens).Perform microwave antigen retrieval with 10 mM Tris/EDTA buffer pH 9.0 before commencing with IHC staining protocol.
RUVBL1 Antibody (7Q2U8)

Chromatin Immunoprecipitation: RUVBL1 Antibody (7Q2U8) [NBP3-16583] -

Chromatin Immunoprecipitation: RUVBL1 Antibody (7Q2U8) [NBP3-16583] -Analysis of extracts of HepG2 cells, using RUVBL1/TIP49A/PONTIN Rabbit mAb antibody and rabbit IgG.The amount of immunoprecipitated DNA was checked by quantitative PCR. Histogram was constructed by the ratios of the immunoprecipitated DNA to the input.

Applications for RUVBL1 Antibody (7Q2U8)

Application
Recommended Usage

Chromatin Immunoprecipitation (ChIP)

5μg antibody for 10μg-15μg of Chromatin

ELISA

Recommended starting concentration is 1 μg/mL. Please optimize the concentration based on your specific assay requirements.

Immunohistochemistry

1:50 - 1:200

Western Blot

1:500 - 1:2000

Formulation, Preparation, and Storage

Purification

Affinity purified

Formulation

PBS (pH 7.3), 50% glycerol, 0.05% BSA

Preservative

0.02% Sodium Azide

Concentration

Please see the vial label for concentration. If unlisted please contact technical services.

Shipping

The product is shipped with polar packs. Upon receipt, store it immediately at the temperature recommended below.

Stability & Storage

Store at -20C. Avoid freeze-thaw cycles.

Background: RUVBL1

Possesses single-stranded DNA-stimulated ATPase and ATP-dependent DNA helicase (3' to 5') activity. Component of the NuA4 histone acetyltransferase complex which is involved in transcriptional activation of select genes principally by acetylation of nucleosomal histones H4 and H2A. This modification may both alter nucleosome - DNA interactions and promote interaction of the modified histones with other proteins which positively regulate transcription. This complex may be required for the activation of transcriptional programs associated with oncogene and proto-oncogene mediated growth induction, tumor suppressor mediated growth arrest and replicative senescence, apoptosis, and DNA repair. The NuA4 complex ATPase and helicase activities seem to be, at least in part, contributed by the association of RUVBL1 and RUVBL2 with EP400. NuA4 may also play a direct role in DNA repair when recruited to sites of DNA damage. RUVBL1 plays an essential role in oncogenic transformation by MYC and also modulates transcriptional activation by the LEF1/TCF1-CTNNB1 complex

Alternate Names

49 kDa TATA box-binding protein-interacting protein, 54 kDa erythrocyte cytosolic protein, EC 3.6.1, EC 3.6.4.12,49 kDa TBP-interacting protein, ECP54, INO80 complex subunit H, INO80HTIP49A, NMP 238, NMP238ECP-54, Nuclear matrix protein 238, PONTIN, Pontin 52, Pontin52, RuvB (E coli homolog)-like 1, ruvB-like 1, RuvB-like 1 (E. coli), RVB1, TATA binding protein interacting protein 49 kDa, TIH1, TIP49a, TIP49TAP54-alpha, TIP60-associated protein 54-alpha

Gene Symbol

RUVBL1

Additional RUVBL1 Products

Product Documents for RUVBL1 Antibody (7Q2U8)

Certificate of Analysis

To download a Certificate of Analysis, please enter a lot number in the search box below.

Product Specific Notices for RUVBL1 Antibody (7Q2U8)

This product is for research use only and is not approved for use in humans or in clinical diagnosis. Primary Antibodies are guaranteed for 1 year from date of receipt.

Loading...
Loading...
Loading...
Loading...