Skip to main content

RUNX3/CBFA3 Antibody (2B10E8) - Azide and BSA Free

Novus Biologicals, part of Bio-Techne | Catalog # NBP2-80934

Novus Biologicals, part of Bio-Techne

Key Product Details

Species Reactivity

Human

Applications

Immunohistochemistry, Immunohistochemistry-Paraffin, Western Blot, Flow Cytometry

Label

Unconjugated

Antibody Source

Monoclonal Mouse IgG2b Kappa Clone # 2B10E8

Format

Azide and BSA Free

Concentration

0.5 mg/ml

Product Specifications

Immunogen

Amino acids 126-310 of human Runx3 were used as the immunogen for this antibody.

Clonality

Monoclonal

Host

Mouse

Isotype

IgG2b Kappa

Description

Novus Biologicals Mouse RUNX3/CBFA3 Antibody (2B10E8) - Azide and BSA Free (NBP2-22391) is a monoclonal antibody validated for use in IHC, WB and Flow. All Novus Biologicals antibodies are covered by our 100% guarantee.

Scientific Data Images for RUNX3/CBFA3 Antibody (2B10E8) - Azide and BSA Free

Western Blot: RUNX3/CBFA3 Antibody (2B10E8)Azide and BSA Free [NBP2-80934]

Western Blot: RUNX3/CBFA3 Antibody (2B10E8)Azide and BSA Free [NBP2-80934]

Western Blot: RUNX3/CBFA3 Antibody (2B10E8) - Azide and BSA Free [NBP2-80934] - Analysis of a partial recombinant Runx3 protein probed with Runx3 antibody at 0.5 ug/ml. goat anti-mouse Ig HRP secondary antibody and PicoTect ECL substrate solution were used for this test. Image from the standard format of this antibody.
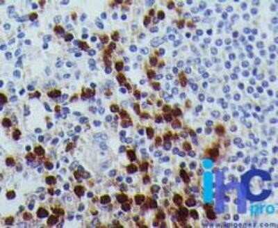
Immunohistochemistry: RUNX3/CBFA3 Antibody (2B10E8) - Azide and BSA Free [NBP2-80934]

Immunohistochemistry: RUNX3/CBFA3 Antibody (2B10E8) - Azide and BSA Free [NBP2-80934]

Immunohistochemistry: RUNX3/CBFA3 Antibody (2B10E8) - Azide and BSA Free [NBP2-80934] - Staining of normal human spleen tissue stained with Runx3 antibody (3 ug/ml), peroxidase-conjugate and DAB chromogen. Image from the standard format of this antibody.
Flow Cytometry: RUNX3/CBFA3 Antibody (2B10E8) - Azide and BSA Free [NBP2-80934]

Flow Cytometry: RUNX3/CBFA3 Antibody (2B10E8) - Azide and BSA Free [NBP2-80934]

Flow Cytometry: RUNX3/CBFA3 Antibody (2B10E8) - Azide and BSA Free [NBP2-80934] - Intracellular flow analysis of human lymphocytes probed with Runx3 antibody (red) and isotype control (green) at 0.25 ug/10^6 cells. Image from the standard format of this antibody.

Applications for RUNX3/CBFA3 Antibody (2B10E8) - Azide and BSA Free

Application
Recommended Usage

Flow Cytometry

0.25-1 ug/10^6 cells

Immunohistochemistry

1:10-1:500

Immunohistochemistry-Paraffin

3-5 ug/ml

Western Blot

0.5-2 ug/ml

Formulation, Preparation, and Storage

Purification

Protein G purified

Formulation

PBS

Format

Azide and BSA Free

Preservative

No Preservative

Concentration

0.5 mg/ml

Shipping

The product is shipped with polar packs. Upon receipt, store it immediately at the temperature recommended below.

Stability & Storage

Store at 4C short term. Aliquot and store at -20C long term. Avoid freeze-thaw cycles.

Background: RUNX3/CBFA3

RUNX3 binds to the core site, 5'-PYGPYGGT-3', of a number of enhancers and promoters, including murine leukemia virus, polyomavirus enhancer, T-cell receptor enhancers, lck, IL-3 and GM-CSF promoters. RUNX3 consists of a heterodimer of an alpha and a beta subunit. The alpha subunit binds DNA as a monomer through the Runt domain. DNA-binding is increased by heterodimerization.

Long Name

Runt-related Transcription Factor 3

Alternate Names

AML2, CBFA3, PEBP2A3, PEBP2AC

Gene Symbol

RUNX3

Additional RUNX3/CBFA3 Products

Product Documents for RUNX3/CBFA3 Antibody (2B10E8) - Azide and BSA Free

Certificate of Analysis

To download a Certificate of Analysis, please enter a lot number in the search box below.

Product Specific Notices for RUNX3/CBFA3 Antibody (2B10E8) - Azide and BSA Free

This product is for research use only and is not approved for use in humans or in clinical diagnosis. Primary Antibodies are guaranteed for 1 year from date of receipt.

Loading...
Loading...
Loading...
Loading...
Loading...