Skip to main content

RUNX2/CBFA1 Antibody (SD208-0)

Novus Biologicals, part of Bio-Techne | Catalog # NBP2-67777

Recombinant Monoclonal Antibody
Catalog #
Availability
Size / Price
Qty
Loading...
NBP2-67777

Key Product Details

Validated by

Biological Validation

Species Reactivity

Human, Mouse, Rat

Applications

Immunohistochemistry, Immunohistochemistry-Paraffin, Western Blot, Flow Cytometry, Immunocytochemistry/ Immunofluorescence

Label

Unconjugated

Antibody Source

Recombinant Monoclonal Rabbit IgG Clone # SD208-0 expressed in HEK293

Concentration

1 mg/ml

Product Specifications

Immunogen

Recombinant protein within human RUNX2/CBFA1 (SwissProt: Q13950 Human; SwissProt: Q08775 Mouse; SwissProt: Q9Z2J9 Rat)

Localization

Nucleus.

Clonality

Monoclonal

Host

Rabbit

Isotype

IgG

Theoretical MW

57 kDa.
Disclaimer note: The observed molecular weight of the protein may vary from the listed predicted molecular weight due to post translational modifications, post translation cleavages, relative charges, and other experimental factors.

Scientific Data Images for RUNX2/CBFA1 Antibody (SD208-0)

Western Blot: RUNX2/CBFA1 Antibody (SD208-0) [NBP2-67777]

Western Blot: RUNX2/CBFA1 Antibody (SD208-0) [NBP2-67777]

Western Blot: RUNX2/CBFA1 Antibody (SD208-0) [NBP2-67777] - Analysis of RUNX2/CBFA1 on different lysates with Rabbit anti-RUNX2/CBFA1 antibody at 1/500 dilution. Lane 1: HL-60 cell lysate Lane 2: Jurkat cell lysate Lysates/proteins at 10 ug/Lane. Predicted band size: 57 kDa Observed band size: 57 kDa Exposure time: 1 minute; 10% SDS-PAGE gel. Proteins were transferred to a PVDF membrane and blocked with 5% NFDM/TBST for 1 hour at room temperature. The primary antibody at 1/500 dilution was used in 5% NFDM/TBST at room temperature for 2 hours. Goat Anti-Rabbit IgG - HRP Secondary Antibody at 1:300,000 dilution was used for 1 hour at room temperature.
Immunocytochemistry/ Immunofluorescence: RUNX2/CBFA1 Antibody (SD208-0) [NBP2-67777]

Immunocytochemistry/ Immunofluorescence: RUNX2/CBFA1 Antibody (SD208-0) [NBP2-67777]

Immunocytochemistry/Immunofluorescence: RUNX2/CBFA1 Antibody (SD208-0) [NBP2-67777] - Staining RUNX2 in SW480 cells (green). The nuclear counter stain is DAPI (blue). Cells were fixed in paraformaldehyde, permeabilised with 0.25% Triton X100/PBS.
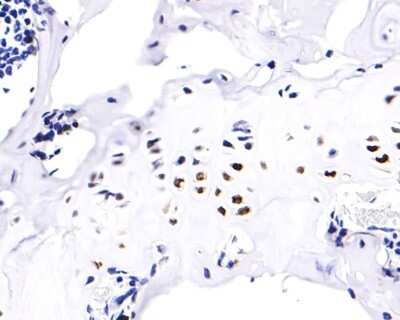
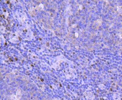
Immunohistochemistry-Paraffin: RUNX2/CBFA1 Antibody (SD208-0) [NBP2-67777]

Immunohistochemistry-Paraffin: RUNX2/CBFA1 Antibody (SD208-0) [NBP2-67777]

Immunohistochemistry-Paraffin: RUNX2/CBFA1 Antibody (SD208-0) [NBP2-67777] - Analysis of paraffin-embedded mouse bone tissue with Rabbit anti-RUNX2/CBFA1 antibody washed with ddH2O and PBS, and then probed with the primary antibody at 1/200 dilution for 1 hour at room temperature. The detection was performed using an HRP conjugated compact polymer system. DAB was used as the chromogen. Tissues were counterstained with hematoxylin and mounted with DPX.

Applications for RUNX2/CBFA1 Antibody (SD208-0)

Application
Recommended Usage

Flow Cytometry

1:5000

Immunocytochemistry/ Immunofluorescence

1:50-1:200

Immunohistochemistry-Paraffin

1:50-1:200

Western Blot

1:500-1:1000

Formulation, Preparation, and Storage

Purification

Protein A purified

Formulation

TBS (pH7.4), 0.05% BSA, 40% Glycerol

Preservative

0.05% Sodium Azide

Concentration

1 mg/ml

Shipping

The product is shipped with polar packs. Upon receipt, store it immediately at the temperature recommended below.

Stability & Storage

Store at 4C short term. Aliquot and store at -20C long term. Avoid freeze-thaw cycles.

Background: RUNX2/CBFA1

Runt-related transcription factor 2 (RUNX2), also known as CBFA1, AML-3, PEBP-2alphaA, and OSF-2, is a transcription factor that places a critical role in osteoblast differentiation and bone development (1-3). RUNX2 is a DNA-binding protein that belongs to the RUNX family which share a common runt domain (3). RUNX2 has two main isoforms which vary based on the two promoter regions (3). The main canonical isoform (P1) has MASN/DS at its N-terminus while the other (P2) isoform includes a MRIPV pentapeptide at its N-terminus (3). The RUNX2 P1 isoform has a theoretical molecular weight of 56 kDa and is synthesized as a 521 amino acid (aa) protein containing multiple domains. Specifically, RUNX2 contains transactivation domains (AD1, 2 and 3), a glutamine/alanine (Q/A)-rich domain, a runt homology domain (RHD), a nuclear localization signal (NLS), a proline/serine/threonine (PST)-rich domain, a nuclear matrix targeting signal (NMTS), a repression domain (RD), and a VWRPY region (3). RUNX2 is a heterodimer of an alpha and beta subunit where the alpha subunit binds DNA through the runt domain and the binding affinity is increased through heterodimerization (4).

Functionally, RUNX2 promotes the expression of osteoblast-specific genes vital for the osteoblast differentiation and proliferation process including type I collagen, osteocalcin (OCN), and alkaline phosphatase (APC) (1, 3). Further evidence for the role of RUNX2 is highlighted by a study of Runx2-/-mice which completely lack osteoblasts (4). Additionally, RUNX2 is also required for chondrocyte maturation, which are the cells responsible for cartilage formation (1, 3, 5). Given the role of RUNX2 in bone and cartilage maturation and formation, it is clear that defects or mutations in RUNX2 cause various bone and bone-related diseases (3, 6, 7). For instance, cleidocranial dysplasia (CCD), which presents with delayed cranial suture closure phenotypes, hypoplastic clavicles, extra teeth, and short stature, is caused by haploinsufficiency in RUNX2 (2, 3, 6). Furthermore, metaphyseal dysplasia with maxillary hypoplasia and brachydactyly (MDMHB) is a bone dysplasia disorder with a phenotype of abnormalities in the long bones, an underdeveloped jawbone, and short fingers that is caused by a duplication in RUNX2 (6). Finally, RUNX2 has been shown to be upregulated in mouse models of the joint disorder osteoarthritis (OA) and may be a potential molecular target for disease treatment (7).

Alternative names for RUNX2 include Acute myeloid leukemia 3 protein CBFA1, CBF-alpha-1, CCD1, CCDAML3, CLCD, Core-binding factor subunit alpha-1, MGC120023, ML3, oncogene AML-3, OSF2, osteoblast-specific transcription factor 2, PEA2aA, PEA2-alpha A, PEBP2A, polyomavirus enhancer-binding protein 2 alpha A subunit, runt related transcription factor 2, SL3/AKV core-binding factor alpha A subunit, and SL3-3 enhancer factor 1 alpha A subunit.

References

1. Ferreira, L. B., Gimba, E., Vinagre, J., Sobrinho-Simoes, M., & Soares, P. (2020). Molecular Aspects of Thyroid Calcification. International journal of molecular sciences. https://doi.org/10.3390/ijms21207718

2. Kim, W. J., Shin, H. L., Kim, B. S., Kim, H. J., & Ryoo, H. M. (2020). RUNX2-modifying enzymes: therapeutic targets for bone diseases. Experimental & molecular medicine. https://doi.org/10.1038/s12276-020-0471-4

3. Vimalraj, S., Arumugam, B., Miranda, P. J., & Selvamurugan, N. (2015). Runx2: Structure, function, and phosphorylation in osteoblast differentiation. International journal of biological macromolecules. https://doi.org/10.1016/j.ijbiomac.2015.04.008

4. Uniprot (Q13950)

5. Komori T. (2017). Roles of Runx2 in Skeletal Development. Advances in experimental medicine and biology. https://doi.org/10.1007/978-981-10-3233-2_6

6. Moffatt, P., Ben Amor, M., Glorieux, F. H., Roschger, P., Klaushofer, K., Schwartzentruber, J. A., Paterson, A. D., Hu, P., Marshall, C., FORGE Canada Consortium, Fahiminiya, S., Majewski, J., Beaulieu, C. L., Boycott, K. M., & Rauch, F. (2013). Metaphyseal dysplasia with maxillary hypoplasia and brachydactyly is caused by a duplication in RUNX2. American journal of human genetics. https://doi.org/10.1016/j.ajhg.2012.12.001

7. Chen, D., Kim, D. J., Shen, J., Zou, Z., & O'Keefe, R. J. (2019). Runx2 plays a central role in Osteoarthritis development. Journal of orthopaedic translation. https://doi.org/10.1016/j.jot.2019.11.008

Long Name

Runt-related Transcription Factor 2

Alternate Names

CBFA1

Gene Symbol

RUNX2

Additional RUNX2/CBFA1 Products

Product Documents for RUNX2/CBFA1 Antibody (SD208-0)

Certificate of Analysis

To download a Certificate of Analysis, please enter a lot number in the search box below.

Product Specific Notices for RUNX2/CBFA1 Antibody (SD208-0)

This product is for research use only and is not approved for use in humans or in clinical diagnosis. Primary Antibodies are guaranteed for 1 year from date of receipt.

Loading...
Loading...
Loading...
Loading...
Loading...
Loading...