Skip to main content

RSK3 Antibody (S05-5E4)

Novus Biologicals, part of Bio-Techne | Catalog # NBP3-19811

Recombinant Monoclonal Antibody
Novus Biologicals, part of Bio-Techne
Catalog #
Availability
Size / Price
Qty
Loading...
NBP3-19811-100ul
NBP3-19811-50ul

Key Product Details

Species Reactivity

Human, Mouse, Rat

Applications

Immunohistochemistry, Immunohistochemistry-Paraffin, Western Blot

Label

Unconjugated

Antibody Source

Recombinant Monoclonal Rabbit IgG Clone # S05-5E4 expressed in HEK293

Concentration

0.3 mg/ml

Product Specifications

Immunogen

A synthetic peptide of human RSK3 (Uniprot # Q15349)

Clonality

Monoclonal

Host

Rabbit

Isotype

IgG

Theoretical MW

90 kDa.
Disclaimer note: The observed molecular weight of the protein may vary from the listed predicted molecular weight due to post translational modifications, post translation cleavages, relative charges, and other experimental factors.

Description

Novus Biologicals Rabbit RSK3 Antibody (S05-5E4) (NBP3-19811) is a recombinant monoclonal antibody validated for use in IHC and WB. All Novus Biologicals antibodies are covered by our 100% guarantee.

Scientific Data Images for RSK3 Antibody (S05-5E4)

Western Blot: RSK3 Antibody (S05-5E4) [NBP3-19811]

Western Blot: RSK3 Antibody (S05-5E4) [NBP3-19811]

Western Blot: RSK3 Antibody (S05-5E4) [NBP3-19811] - Western blot detection of RSK3 in CHO-K1, Hela cell lysates using NBP3-19811 (1:1000 diluted). Predicted band size: 83kDa. Observed band size: 83kDa.
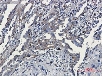
Immunohistochemistry-Paraffin: RSK3 Antibody (S05-5E4) [NBP3-19811]

Immunohistochemistry-Paraffin: RSK3 Antibody (S05-5E4) [NBP3-19811]

Immunohistochemistry-Paraffin: RSK3 Antibody (S05-5E4) [NBP3-19811] - Immunohistochemical of RSK3 in Human lung cancer tissue using RSK3 antibody at dilution 1/20

Applications for RSK3 Antibody (S05-5E4)

Application
Recommended Usage

Immunohistochemistry

1/20-1/50

Western Blot

1/2000

Formulation, Preparation, and Storage

Purification

Affinity purified

Formulation

50mM Tris-Glycine(pH 7.4), 0.15M NaCl, 40% Glycerol, 0.05% BSA

Preservative

0.01% Sodium Azide

Concentration

0.3 mg/ml

Shipping

The product is shipped with polar packs. Upon receipt, store it immediately at the temperature recommended below.

Stability & Storage

Store at 4C short term. Aliquot and store at -20C long term. Avoid freeze-thaw cycles.

Background: RSK3

RSK3 encodes a member of the RSK (ribosomal S6 kinase) family of serine/threonine kinases. This kinase contains 2 non-identical kinase catalytic domains and phosphorylates various substrates, including members of the mitogen-activated kinase (MAPK) signalling pathway. The activity of this protein has been implicated in controlling cell growth and differentiation. Alternate transcriptional splice variants, encoding different isoforms, have been characterized.

Long Name

Ribosomal Protein S6 Kinase III

Alternate Names

RPS6KA2

Gene Symbol

RPS6KA2

Additional RSK3 Products

Product Documents for RSK3 Antibody (S05-5E4)

Certificate of Analysis

To download a Certificate of Analysis, please enter a lot number in the search box below.

Product Specific Notices for RSK3 Antibody (S05-5E4)

This product is for research use only and is not approved for use in humans or in clinical diagnosis. Primary Antibodies are guaranteed for 1 year from date of receipt.

Loading...
Loading...
Loading...
Loading...