Skip to main content

RSK2 Antibody (S05-6E3)

Novus Biologicals, part of Bio-Techne | Catalog # NBP3-19693

Recombinant Monoclonal Antibody
Novus Biologicals, part of Bio-Techne
Catalog #
Availability
Size / Price
Qty
Loading...
NBP3-19693-100ul
NBP3-19693-50ul

Key Product Details

Species Reactivity

Human, Mouse, Rat

Applications

Immunohistochemistry, Immunohistochemistry-Paraffin, Western Blot

Label

Unconjugated

Antibody Source

Recombinant Monoclonal Rabbit IgG Clone # S05-6E3 expressed in HEK293

Concentration

0.3 mg/ml

Product Specifications

Immunogen

A synthetic peptide of human RSK2 (Uniprot # P51812)

Clonality

Monoclonal

Host

Rabbit

Isotype

IgG

Theoretical MW

84 kDa.
Disclaimer note: The observed molecular weight of the protein may vary from the listed predicted molecular weight due to post translational modifications, post translation cleavages, relative charges, and other experimental factors.

Description

Novus Biologicals Rabbit RSK2 Antibody (S05-6E3) (NBP3-19693) is a recombinant monoclonal antibody validated for use in IHC and WB. All Novus Biologicals antibodies are covered by our 100% guarantee.

Scientific Data Images for RSK2 Antibody (S05-6E3)

Western Blot: RSK2 Antibody (S05-6E3) [NBP3-19693]

Western Blot: RSK2 Antibody (S05-6E3) [NBP3-19693]

Western Blot: RSK2 Antibody (S05-6E3) [NBP3-19693] - Western blot detection of RSK2 in CHO-K1 (Lane 1), Ramos (Lane 2) using NBP3-19693 (1:1000 diluted)
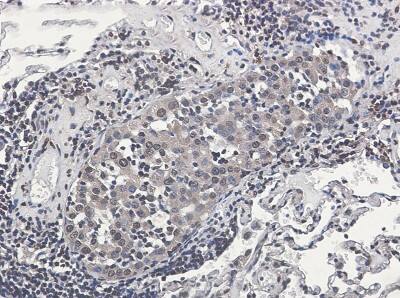
Immunohistochemistry-Paraffin: RSK2 Antibody (S05-6E3) [NBP3-19693]

Immunohistochemistry-Paraffin: RSK2 Antibody (S05-6E3) [NBP3-19693]

Immunohistochemistry-Paraffin: RSK2 Antibody (S05-6E3) [NBP3-19693] - Immunohistochemistry of RSK2 in paraffin-embedded Human lung cancer tissue using NBP3-19693 at dilution 1/50

Applications for RSK2 Antibody (S05-6E3)

Application
Recommended Usage

Immunohistochemistry

1/20

Western Blot

1/2000

Formulation, Preparation, and Storage

Purification

Affinity purified

Formulation

50mM Tris-Glycine(pH 7.4), 0.15M NaCl, 40% Glycerol, 0.05% BSA

Preservative

0.01% Sodium Azide

Concentration

0.3 mg/ml

Shipping

The product is shipped with polar packs. Upon receipt, store it immediately at the temperature recommended below.

Stability & Storage

Store at 4C short term. Aliquot and store at -20C long term. Avoid freeze-thaw cycles.

Background: RSK2

Ribosomal protein S6 kinase II (RSK2) is a protein serine/threonine kinase that was originally detected by its ability to catalyze the multi-site phosphorylation of the 40S ribosomal protein S6 in vitro. One of the important substrates of RSK may be the Glycogenbinding subunit of Protein phosphatase-1, which when phosphorylated by RSK, appears to activate Protein phosphatase 1. This results in increased dephosphorylation and activation of Glycogen synthase to enhance Glycogen synthesis.

Long Name

Ribosomal Protein S6 Kinase II

Alternate Names

ISPK-1, pp90RSK2, RPS6KA3

Gene Symbol

RPS6KA3

Additional RSK2 Products

Product Documents for RSK2 Antibody (S05-6E3)

Certificate of Analysis

To download a Certificate of Analysis, please enter a lot number in the search box below.

Product Specific Notices for RSK2 Antibody (S05-6E3)

This product is for research use only and is not approved for use in humans or in clinical diagnosis. Primary Antibodies are guaranteed for 1 year from date of receipt.

Loading...
Loading...
Loading...
Loading...