RRP4 Antibody - BSA Free
Novus Biologicals, part of Bio-Techne | Catalog # NBP1-92355
Key Product Details
Species Reactivity
Human, Mouse, Rat
Applications
Immunohistochemistry, Immunohistochemistry-Paraffin, Western Blot
Label
Unconjugated
Antibody Source
Polyclonal Rabbit IgG
Format
BSA Free
Concentration
Concentrations vary lot to lot. See vial label for concentration. If unlisted please contact technical services.
Product Specifications
Immunogen
This antibody was developed against Recombinant Protein corresponding to amino acids: SVILGNNGFIWIYPTPEHKEEEAGGFIANLEPVSLADREVISRLRNCIISLVTQRMMLYDTSILYCYEASLPHQIKDILKPEIMEEIVMETR
Reactivity Notes
Immunogen displays the following percentage of sequence identity for non-tested species: Mouse (87%)
Clonality
Polyclonal
Host
Rabbit
Isotype
IgG
Scientific Data Images for RRP4 Antibody - BSA Free
Western Blot: RRP4 Antibody [NBP1-92355]
Western Blot: RRP4 Antibody [NBP1-92355] - Lane 1: NIH-3T3 cell lysate (Mouse embryonic fibroblast cells). Lane 2: NBT-II cell lysate (Rat Wistar bladder tumor cells).Immunohistochemistry-Paraffin: RRP4 Antibody [NBP1-92355]
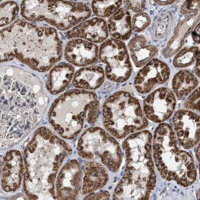
Immunohistochemistry-Paraffin: RRP4 Antibody [NBP1-92355] - Staining of human kidney shows strong positivity in tubules.Western Blot: RRP4 Antibody - BSA Free [NBP1-92355]
Lane 1: NIH-3T3 cell lysate (Mouse embryonic fibroblast cells)Lane 2: NBT-II cell lysate (Rat Wistar bladder tumour cells)
Applications for RRP4 Antibody - BSA Free
Application
Recommended Usage
Immunohistochemistry
1:200 - 1:500
Immunohistochemistry-Paraffin
1:200 - 1:500
Western Blot
0.04-0.4 ug/ml
Application Notes
For IHC-Paraffin, HIER pH 6 retrieval is recommended.
Formulation, Preparation, and Storage
Purification
Affinity purified
Formulation
PBS (pH 7.2) and 40% Glycerol
Format
BSA Free
Preservative
0.02% Sodium Azide
Concentration
Concentrations vary lot to lot. See vial label for concentration. If unlisted please contact technical services.
Shipping
The product is shipped with polar packs. Upon receipt, store it immediately at the temperature recommended below.
Stability & Storage
Store at 4C short term. Aliquot and store at -20C long term. Avoid freeze-thaw cycles.
Background: RRP4
Alternate Names
exosome component 2Ribosomal RNA-processing protein 4, homolog of yeast RRP4 (ribosomal RNA processing 4), 3' 5' exoribonuclease(RRP4), homolog of yeast RRP4 (ribosomal RNA processing 4), 3'-5'-exoribonuclease, hRrp4p, p7, RRP4exosome complex exonuclease RRP4, Rrp4p
Gene Symbol
EXOSC2
Additional RRP4 Products
Product Documents for RRP4 Antibody - BSA Free
Product Specific Notices for RRP4 Antibody - BSA Free
This product is for research use only and is not approved for use in humans or in clinical diagnosis. Primary Antibodies are guaranteed for 1 year from date of receipt.
Loading...
Loading...
Loading...
Loading...