Skip to main content

RPS6KC1 Antibody (OTI10F11) - Azide and BSA Free

Novus Biologicals, part of Bio-Techne | Catalog # NBP2-73946

Novus Biologicals, part of Bio-Techne

Key Product Details

Species Reactivity

Human

Applications

Immunohistochemistry, Immunohistochemistry-Paraffin, Western Blot

Label

Unconjugated

Antibody Source

Monoclonal Mouse IgG1 Clone # OTI10F11

Format

Azide and BSA Free

Concentration

LYOPH mg/ml

Product Specifications

Immunogen

Human recombinant protein fragment corresponding to amino acids 1-305 of human RPS6KC1(NP_036556) produced in E.coli.

Clonality

Monoclonal

Host

Mouse

Isotype

IgG1

Theoretical MW

118.5 kDa.
Disclaimer note: The observed molecular weight of the protein may vary from the listed predicted molecular weight due to post translational modifications, post translation cleavages, relative charges, and other experimental factors.

Description

Novus Biologicals Mouse RPS6KC1 Antibody (OTI10F11) - Azide and BSA Free (NBP2-45635) is a monoclonal antibody validated for use in IHC and WB. All Novus Biologicals antibodies are covered by our 100% guarantee.

Scientific Data Images for RPS6KC1 Antibody (OTI10F11) - Azide and BSA Free

Western Blot: RPS6KC1 Antibody (OTI10F11)Azide and BSA Free [NBP2-73946]

Western Blot: RPS6KC1 Antibody (OTI10F11)Azide and BSA Free [NBP2-73946]

Western Blot: RPS6KC1 Antibody (OTI10F11) - Azide and BSA Free [NBP2-73946] - HEK293T cells were transfected with the pCMV6-ENTRY control (Left lane) or pCMV6-ENTRY RPS6KC1 (Right lane) cDNA for 48 hrs and lysed. Equivalent amounts of cell lysates (5 ug per lane) were separated by SDS-PAGE and immunoblotted with anti-RPS6.
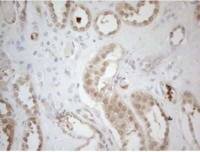
Immunohistochemistry: RPS6KC1 Antibody (OTI10F11) - Azide and BSA Free [NBP2-73946]

Immunohistochemistry: RPS6KC1 Antibody (OTI10F11) - Azide and BSA Free [NBP2-73946]

Immunohistochemistry: RPS6KC1 Antibody (OTI10F11) - Azide and BSA Free [NBP2-73946] - Staining of paraffin-embedded Human Kidney tissue using anti-RPS6KC1 mouse monoclonal antibody.

Applications for RPS6KC1 Antibody (OTI10F11) - Azide and BSA Free

Application
Recommended Usage

Immunohistochemistry

1:150

Western Blot

1:2000

Formulation, Preparation, and Storage

Purification

Immunogen affinity purified

Reconstitution

we recommend adding 100uL distilled water to a final antibody concentration of about 1 mg/mL. To use this carrier-free antibody for conjugation experiment, we strongly recommend performing another round of desalting process.

Formulation

Lyophilized from PBS (pH 7.3) with 8% Trehalose

Format

Azide and BSA Free

Preservative

No Preservative

Concentration

LYOPH mg/ml

Shipping

The product is shipped with polar packs. Upon receipt, store it immediately at the temperature recommended below.

Stability & Storage

Store at -20C. Avoid freeze-thaw cycles.

Background: RPS6KC1

RPS6KC1 - ribosomal protein S6 kinase, 52kDa, polypeptide 1

Alternate Names

EC 2.7.11.1, humS6PKh1, ribosomal protein S6 kinase delta-1, ribosomal protein S6 kinase, 52kD, polypeptide 1,52 kDa ribosomal protein S6 kinase, ribosomal protein S6 kinase, 52kDa, polypeptide 1, Ribosomal S6 kinase-like protein with two PSK domains 118 kDa protein, RPK118, S6K-delta-1, SPHK1-binding protein

Gene Symbol

RPS6KC1

Additional RPS6KC1 Products

Product Documents for RPS6KC1 Antibody (OTI10F11) - Azide and BSA Free

Certificate of Analysis

To download a Certificate of Analysis, please enter a lot number in the search box below.

Product Specific Notices for RPS6KC1 Antibody (OTI10F11) - Azide and BSA Free

This product is for research use only and is not approved for use in humans or in clinical diagnosis. Primary Antibodies are guaranteed for 1 year from date of receipt.

Loading...
Loading...
Loading...
Loading...
Loading...