Skip to main content

RPS26 Antibody - BSA Free

Novus Biologicals, part of Bio-Techne | Catalog # NBP1-92352

Novus Biologicals, part of Bio-Techne
Catalog #
Availability
Size / Price
Qty
Loading...
NBP1-92352

Key Product Details

Species Reactivity

Validated:

Human

Predicted:

Mouse (100%), Rat (96%). Backed by our 100% Guarantee.

Applications

Immunohistochemistry, Immunohistochemistry-Paraffin, Western Blot, Immunocytochemistry/ Immunofluorescence

Label

Unconjugated

Antibody Source

Polyclonal Rabbit IgG

Format

BSA Free

Concentration

Concentrations vary lot to lot. See vial label for concentration. If unlisted please contact technical services.

Product Specifications

Immunogen

This antibody was developed against Recombinant Protein corresponding to amino acids: TKKRRNNGRAKKGRGHVQPIRCTNC

Clonality

Polyclonal

Host

Rabbit

Isotype

IgG

Scientific Data Images for RPS26 Antibody - BSA Free

Western Blot: RPS26 Antibody [NBP1-92352]

Western Blot: RPS26 Antibody [NBP1-92352]

Western Blot: RPS26 Antibody [NBP1-92352] - Lane 1: Marker [kDa] 250, 130, 100, 70, 55, 35, 25, 15, 10
Lane 2: Human cell line NTERA-2
Immunocytochemistry/ Immunofluorescence: RPS26 Antibody [NBP1-92352]

Immunocytochemistry/ Immunofluorescence: RPS26 Antibody [NBP1-92352]

Immunocytochemistry/Immunofluorescence: RPS26 Antibody [NBP1-92352] - Staining of human cell line A-431 shows localization to nucleoli, cytosol & endoplasmic reticulum. Antibody staining is shown in green.
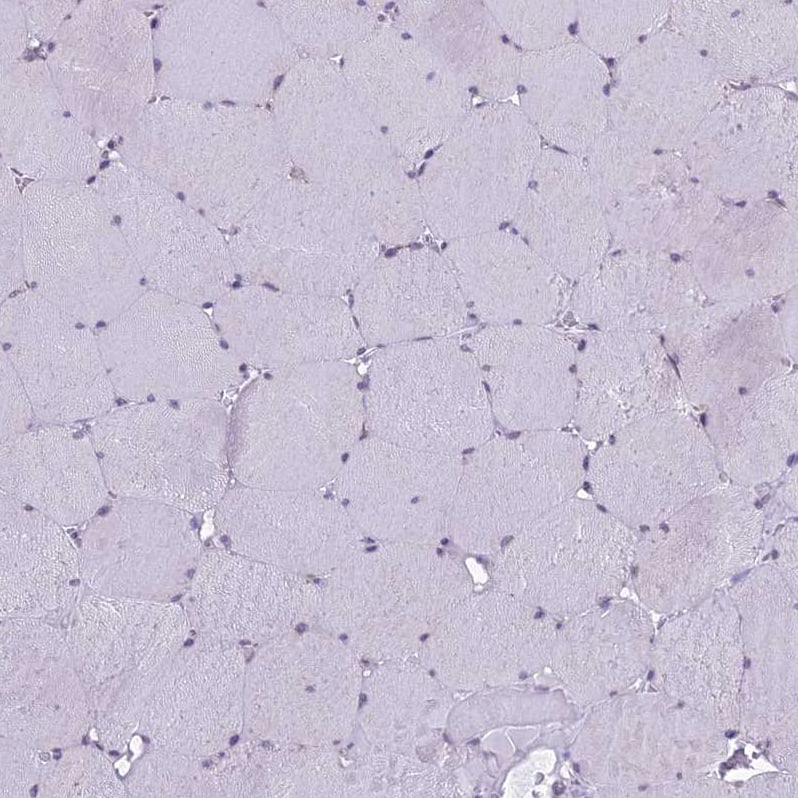
Immunohistochemistry-Paraffin: RPS26 Antibody [NBP1-92352]

Immunohistochemistry-Paraffin: RPS26 Antibody [NBP1-92352]

Immunohistochemistry-Paraffin: RPS26 Antibody [NBP1-92352] - Staining of human skeletal muscle shows no positivity in myocytes as expected.

Applications for RPS26 Antibody - BSA Free

Application
Recommended Usage

Immunocytochemistry/ Immunofluorescence

0.25-2 ug/ml

Immunohistochemistry

1:20 - 1:50

Immunohistochemistry-Paraffin

1:20-1:50

Western Blot

0.04-0.4 ug/ml
Application Notes
IHC-Paraffin, HIER pH 6 retrieval is recommended. ICC/IF, Fixation Permeabilization: Use PFA/Triton X-100.

Formulation, Preparation, and Storage

Purification

Affinity purified

Formulation

PBS (pH 7.2) and 40% Glycerol

Format

BSA Free

Preservative

0.02% Sodium Azide

Concentration

Concentrations vary lot to lot. See vial label for concentration. If unlisted please contact technical services.

Shipping

The product is shipped with polar packs. Upon receipt, store it immediately at the temperature recommended below.

Stability & Storage

Store at 4C short term. Aliquot and store at -20C long term. Avoid freeze-thaw cycles.

Background: RPS26

RPS26 - ribosomal protein S26

Alternate Names

40S ribosomal protein S26, DBA10, MGC104292, ribosomal protein S26

Gene Symbol

RPS26

Additional RPS26 Products

Product Documents for RPS26 Antibody - BSA Free

Certificate of Analysis

To download a Certificate of Analysis, please enter a lot number in the search box below.

Product Specific Notices for RPS26 Antibody - BSA Free

This product is for research use only and is not approved for use in humans or in clinical diagnosis. Primary Antibodies are guaranteed for 1 year from date of receipt.

Loading...
Loading...
Loading...
Loading...