Skip to main content

RPS24 Antibody - Azide and BSA Free

Novus Biologicals, part of Bio-Techne | Catalog # NBP2-93809

Novus Biologicals, part of Bio-Techne
Catalog #
Availability
Size / Price
Qty
Loading...
NBP2-93809-0.02ml
NBP2-93809-0.1ml

Key Product Details

Species Reactivity

Human, Mouse, Rat

Applications

Immunohistochemistry, Immunohistochemistry-Paraffin, Western Blot, ELISA, Immunoprecipitation

Label

Unconjugated

Antibody Source

Polyclonal Rabbit IgG

Format

Azide and BSA Free

Concentration

Please see the vial label for concentration. If unlisted please contact technical services.

Product Specifications

Immunogen

Recombinant fusion protein containing a sequence corresponding to amino acids 1-130 of human RPS24 (NP_148982.1). MNDTVTIRTRKFMTNRLLQRKQMVIDVLHPGKATVPKTEIREKLAKMYKTTPDVIFVFGFRTHFGGGKTTGFGMIYDSLDYAKKNEPKHRLARHGLYEKKKTSRKQRKERKNRMKKVRGTAKANVGAGKK

Clonality

Polyclonal

Host

Rabbit

Isotype

IgG

Theoretical MW

15 kDa.
Disclaimer note: The observed molecular weight of the protein may vary from the listed predicted molecular weight due to post translational modifications, post translation cleavages, relative charges, and other experimental factors.

Scientific Data Images for RPS24 Antibody - Azide and BSA Free

Western Blot: RPS24 AntibodyAzide and BSA Free [NBP2-93809]

Western Blot: RPS24 AntibodyAzide and BSA Free [NBP2-93809]

Western Blot: RPS24 Antibody [NBP2-93809] - Analysis of extracts of various cell lines, using RPS24 at 1:3000 dilution. Secondary antibody: HRP Goat Anti-Rabbit IgG (H+L) at 1:10000 dilution. Lysates/proteins: 25ug per lane. Blocking buffer: 3% nonfat dry milk in TBST. Detection: ECL Basic Kit . Exposure time: 30s.
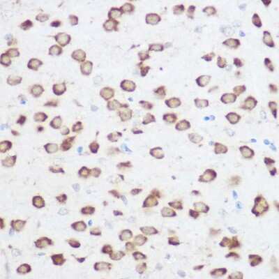
Immunohistochemistry-Paraffin: RPS24 Antibody - Azide and BSA Free [NBP2-93809]

Immunohistochemistry-Paraffin: RPS24 Antibody - Azide and BSA Free [NBP2-93809]

Immunohistochemistry-Paraffin: RPS24 Antibody [NBP2-93809] - Immunohistochemistry of paraffin-embedded rat brain using RPS24 Rabbit pAb (NBP2-93809) at dilution of 1:200 (40x lens). Perform high pressure antigen retrieval with 10 mM citrate buffer pH 6.0 before commencing with IHC staining protocol.
Western Blot: RPS24 AntibodyAzide and BSA Free [NBP2-93809]

Western Blot: RPS24 AntibodyAzide and BSA Free [NBP2-93809]

Western Blot: RPS24 Antibody [NBP2-93809] - Analysis of 200ug extracts of HeLa cells using RPS24 at a dilition of 1:1000.

Applications for RPS24 Antibody - Azide and BSA Free

Application
Recommended Usage

ELISA

Recommended starting concentration is 1 μg/mL

Immunohistochemistry

1:50 - 1:200

Immunoprecipitation

0.5μg-4μg antibody for 200μg-400μg extracts of whole cells

Western Blot

1:500 - 1:2000

Formulation, Preparation, and Storage

Purification

Affinity purified

Formulation

PBS (pH 7.3), 50% glycerol

Format

Azide and BSA Free

Preservative

0.01% Thimerosal

Concentration

Please see the vial label for concentration. If unlisted please contact technical services.

Shipping

The product is shipped with polar packs. Upon receipt, store it immediately at the temperature recommended below.

Stability & Storage

Store at -20C. Avoid freeze-thaw cycles.

Background: RPS24

Ribosomes, the organelles that catalyze protein synthesis, consist of a small 40S subunit and a large 60S subunit. Together these subunits are composed of 4 RNA species and approximately 80 structurally distinct proteins. This gene encodes a ribosomal protein that is a component of the 40S subunit. The protein belongs to the S24E family of ribosomal proteins. It is located in the cytoplasm. Alternative splice variants that encode different protein isoforms exist. As is typical for genes encoding ribosomal proteins, there are multiple processed pseudogenes of this gene dispersed through the genome. [provided by RefSeq]

Alternate Names

DBA3,40S ribosomal protein S24, DKFZp686N1586, ribosomal protein S24

Gene Symbol

RPS24

Additional RPS24 Products

Product Documents for RPS24 Antibody - Azide and BSA Free

Certificate of Analysis

To download a Certificate of Analysis, please enter a lot number in the search box below.

Product Specific Notices for RPS24 Antibody - Azide and BSA Free

This product is for research use only and is not approved for use in humans or in clinical diagnosis. Primary Antibodies are guaranteed for 1 year from date of receipt.

Loading...
Loading...
Loading...
Loading...

⚠ WARNING: This product can expose you to chemicals including Methotrexate, which is known to the State of California to cause reproductive toxicity with developmental effects. For more information, go to www.P65Warnings.ca.gov