Skip to main content

RPP25L Antibody - BSA Free

Novus Biologicals, part of Bio-Techne | Catalog # NBP2-13259

Novus Biologicals, part of Bio-Techne
Catalog #
Availability
Size / Price
Qty
Loading...
NBP2-13259
NBP2-13259-25ul

Key Product Details

Species Reactivity

Validated:

Human

Predicted:

Mouse (94%), Rat (95%). Backed by our 100% Guarantee.

Applications

Immunohistochemistry, Immunohistochemistry-Paraffin, Immunocytochemistry/ Immunofluorescence

Label

Unconjugated

Antibody Source

Polyclonal Rabbit IgG

Format

BSA Free

Concentration

Concentrations vary lot to lot. See vial label for concentration. If unlisted please contact technical services.

Product Specifications

Immunogen

This antibody was developed against a recombinant protein corresponding to the amino acids: LTKLRFLQTEDSWVPASPDTGLDPLTVRRHVPAVWVLLSRDPLDPNECGYQPPGAPPGLGSMPSSSCGPRSRRRARDTRS

Clonality

Polyclonal

Host

Rabbit

Isotype

IgG

Description

Novus Biologicals Rabbit RPP25L Antibody - BSA Free (NBP2-13259) is a polyclonal antibody validated for use in IHC and ICC/IF. All Novus Biologicals antibodies are covered by our 100% guarantee.

Scientific Data Images for RPP25L Antibody - BSA Free

Immunocytochemistry/Immunofluorescence-RPP25LAntibody- [NBP2-13259] -

Immunocytochemistry/Immunofluorescence-RPP25LAntibody- [NBP2-13259] - Immunofluorescent staining of human cell line MCF7 shows localization to nucleoplasm & cytosol.
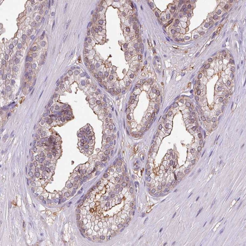
RPP25L Antibody - BSA Free Immunohistochemistry: RPP25L Antibody - BSA Free [NBP2-13259]

Immunohistochemistry: RPP25L Antibody - BSA Free [NBP2-13259]

Staining of human prostate shows weak cytoplasmic and membranous positivity in glandular cells.
RPP25L Antibody - BSA Free Immunohistochemistry: RPP25L Antibody - BSA Free [NBP2-13259]

Immunohistochemistry: RPP25L Antibody - BSA Free [NBP2-13259]

Staining of human placenta shows strong cytoplasmic and membranous positivity in trophoblastic cells.

Applications for RPP25L Antibody - BSA Free

Application
Recommended Usage

Immunocytochemistry/ Immunofluorescence

0.25-2 ug/ml

Immunohistochemistry

1:200 - 1:500

Immunohistochemistry-Paraffin

1:200 - 1:500
Application Notes
For IHC-Paraffin, HIER pH 6 retrieval is recommended. ICC/IF,Fixation Permeabilization: Use PFA/Triton X-100.

Formulation, Preparation, and Storage

Purification

Affinity purified

Formulation

PBS (pH 7.2) and 40% Glycerol

Format

BSA Free

Preservative

0.02% Sodium Azide

Concentration

Concentrations vary lot to lot. See vial label for concentration. If unlisted please contact technical services.

Shipping

The product is shipped with polar packs. Upon receipt, store it immediately at the temperature recommended below.

Stability & Storage

Store at 4C short term. Aliquot and store at -20C long term. Avoid freeze-thaw cycles.

Background: RPP25L

C9orf23 encodes a protein that appears to belong to a family of evolutionarily related proteins (DUF78), that may share one or more domains in common. Members of this family are small archaebacterial proteins with no known function. Alternative splicing has been observed at this locus and two variants, both encoding the same protein, have been identified. [provided by RefSeq]

Alternate Names

alba-like protein C9orf23, bA296L22.5, C9orf23, chromosome 9 open reading frame 23, MGC29635, ribonuclease P/MRP 25kDa subunit-like

Gene Symbol

RPP25L

Additional RPP25L Products

Product Documents for RPP25L Antibody - BSA Free

Certificate of Analysis

To download a Certificate of Analysis, please enter a lot number in the search box below.

Product Specific Notices for RPP25L Antibody - BSA Free

This product is for research use only and is not approved for use in humans or in clinical diagnosis. Primary Antibodies are guaranteed for 1 year from date of receipt.

Loading...
Loading...
Loading...
Loading...