RPP25 Antibody - BSA Free
Novus Biologicals, part of Bio-Techne | Catalog # NBP2-94328
Key Product Details
Species Reactivity
Human, Mouse
Applications
Immunohistochemistry, Immunohistochemistry-Paraffin, Western Blot, ELISA
Label
Unconjugated
Antibody Source
Polyclonal Rabbit IgG
Format
BSA Free
Concentration
Please see the vial label for concentration. If unlisted please contact technical services.
Product Specifications
Immunogen
Recombinant fusion protein containing a sequence corresponding to amino acids 1-199 of human RPP25 (NP_060263.2). MENFRKVRSEEAPAGCGAEGGGPGSGPFADLAPGAVHMRVKEGSKIRNLMAFATASMAQPATRAIVFSGCGRATTKTVTCAEILKRRLAGLHQVTRLRYRSVREVWQSLPPGPTQGQTPGEPAASLSVLKNVPGLAILLSKDALDPRQPGYQPPNPHPGPSSPPAAPASKRSLGEPAAGEGSAKRSQPEPGVADEDQTA
Clonality
Polyclonal
Host
Rabbit
Isotype
IgG
Theoretical MW
20 kDa.
Disclaimer note: The observed molecular weight of the protein may vary from the listed predicted molecular weight due to post translational modifications, post translation cleavages, relative charges, and other experimental factors.
Disclaimer note: The observed molecular weight of the protein may vary from the listed predicted molecular weight due to post translational modifications, post translation cleavages, relative charges, and other experimental factors.
Description
Novus Biologicals Rabbit RPP25 Antibody - BSA Free (NBP2-94328) is a polyclonal antibody validated for use in IHC and WB. All Novus Biologicals antibodies are covered by our 100% guarantee.
Scientific Data Images for RPP25 Antibody - BSA Free
Western Blot: RPP25 AntibodyBSA Free [NBP2-94328]
Western Blot: RPP25 Antibody [NBP2-94328] - Analysis of extracts of various cell lines, using RPP25 . Exposure time: 90s.Immunohistochemistry-Paraffin: RPP25 Antibody - BSA Free [NBP2-94328]
Immunohistochemistry-Paraffin: RPP25 Antibody [NBP2-94328] - Immunohistochemistry of paraffin-embedded mouse brain using RPP25 Rabbit pAb (NBP2-94328) at dilution of 1:100 (40x lens). Perform high pressure antigen retrieval with 10 mM citrate buffer pH 6.0 before commencing with IHC staining protocol.Immunohistochemistry-Paraffin: RPP25 Antibody - BSA Free [NBP2-94328]
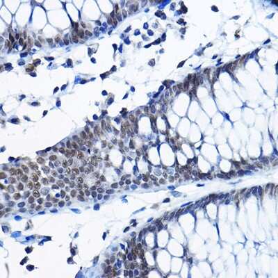
Immunohistochemistry-Paraffin: RPP25 Antibody [NBP2-94328] - Immunohistochemistry of paraffin-embedded human colon using RPP25 Rabbit pAb (NBP2-94328) at dilution of 1:100 (40x lens). Perform high pressure antigen retrieval with 10 mM citrate buffer pH 6.0 before commencing with IHC staining protocol.Applications for RPP25 Antibody - BSA Free
Application
Recommended Usage
ELISA
Recommended starting concentration is 1 μg/mL.
Immunohistochemistry
1:50 - 1:200
Western Blot
1:500 - 1:2000
Formulation, Preparation, and Storage
Purification
Affinity purified
Formulation
PBS (pH 7.3), 50% glycerol
Format
BSA Free
Preservative
0.02% Sodium Azide
Concentration
Please see the vial label for concentration. If unlisted please contact technical services.
Shipping
The product is shipped with polar packs. Upon receipt, store it immediately at the temperature recommended below.
Stability & Storage
Store at -20C. Avoid freeze-thaw cycles.
Background: RPP25
Alternate Names
FLJ20374, ribonuclease P 25kDa subunit, ribonuclease P protein subunit p25, ribonuclease P/MRP 25kDa subunit, RNase P protein subunit p25
Gene Symbol
RPP25
Additional RPP25 Products
Product Documents for RPP25 Antibody - BSA Free
Product Specific Notices for RPP25 Antibody - BSA Free
This product is for research use only and is not approved for use in humans or in clinical diagnosis. Primary Antibodies are guaranteed for 1 year from date of receipt.
Loading...
Loading...
Loading...
Loading...