RPL8 Antibody - BSA Free
Novus Biologicals, part of Bio-Techne | Catalog # NBP2-48827
Key Product Details
Validated by
Independent Antibodies
Species Reactivity
Validated:
Human
Predicted:
Mouse (100%), Rat (100%). Backed by our 100% Guarantee.
Applications
Immunohistochemistry, Immunohistochemistry-Paraffin, Western Blot, Knockdown Validated
Label
Unconjugated
Antibody Source
Polyclonal Rabbit IgG
Format
BSA Free
Concentration
Concentrations vary lot to lot. See vial label for concentration. If unlisted please contact technical services.
Product Specifications
Immunogen
This antibody was developed against a recombinant protein corresponding to amino acids: LAKVVFRDPYRFKKRTELFIAAEGIHTGQFVYCGKKAQLNIGNVLPVGTMPEGTIVCCLEEKPGDRGKLARASGNYATVISHNPETK
Clonality
Polyclonal
Host
Rabbit
Isotype
IgG
Description
Novus Biologicals Rabbit RPL8 Antibody - BSA Free (NBP2-48827) is a polyclonal antibody validated for use in IHC and WB. All Novus Biologicals antibodies are covered by our 100% guarantee.
Scientific Data Images for RPL8 Antibody - BSA Free
Western Blot: RPL8 Antibody [NBP2-48827]
Western Blot: RPL8 Antibody [NBP2-48827] - Analysis in U2OS cells transfected with control siRNA, target specific siRNA probe #1 and #2, using Anti-RPL8 antibody. Remaining relative intensity is presented.Immunohistochemistry-Paraffin: RPL8 Antibody [NBP2-48827]
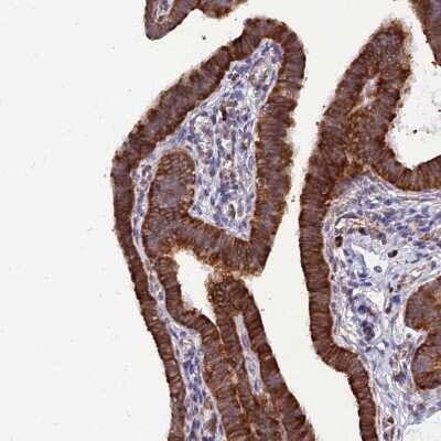
Immunohistochemistry-Paraffin: RPL8 Antibody [NBP2-48827] - Staining of human cerebellum, fallopian tube, pancreas and skin using Anti-RPL8 antibody NBP2-48827 (A) shows similar protein distribution across tissues to independent antibody NBP2-47297 (B).Applications for RPL8 Antibody - BSA Free
Application
Recommended Usage
Immunohistochemistry
1:200 - 1:500
Immunohistochemistry-Paraffin
1:200 - 1:500
Western Blot
0.04 - 0.4 ug/ml
Application Notes
For IHC-Paraffin, HIER pH 6 retrieval is recommended.
Formulation, Preparation, and Storage
Purification
Affinity purified
Formulation
PBS (pH 7.2) and 40% Glycerol
Format
BSA Free
Preservative
0.02% Sodium Azide
Concentration
Concentrations vary lot to lot. See vial label for concentration. If unlisted please contact technical services.
Shipping
The product is shipped with polar packs. Upon receipt, store it immediately at the temperature recommended below.
Stability & Storage
Store at 4C short term. Aliquot and store at -20C long term. Avoid freeze-thaw cycles.
Background: RPL8
Alternate Names
ribosomal protein L8,60S ribosomal protein L8
Gene Symbol
RPL8
Additional RPL8 Products
Product Documents for RPL8 Antibody - BSA Free
Product Specific Notices for RPL8 Antibody - BSA Free
This product is for research use only and is not approved for use in humans or in clinical diagnosis. Primary Antibodies are guaranteed for 1 year from date of receipt.
Loading...
Loading...
Loading...
Loading...