Skip to main content

RPL7 Antibody - BSA Free

Novus Biologicals, part of Bio-Techne | Catalog # NB100-2268

Novus Biologicals, part of Bio-Techne

Key Product Details

Validated by

Biological Validation

Species Reactivity

Validated:

Human, Mouse

Cited:

Human, Mouse

Predicted:

Bovine (100%), Chicken (100%), Primate (100%), Rat (100%). Backed by our 100% Guarantee.

Applications

Validated:

Western Blot, Immunoprecipitation (Negative)

Cited:

Western Blot

Label

Unconjugated

Antibody Source

Polyclonal Rabbit IgG

Format

BSA Free

Concentration

1.0 mg/ml

Product Specifications

Immunogen

The immunogen recognized by this antibody maps to a region between residue 75 and 125 of human Ribosomal Protein 7 using the numbering given in entry NP_000962.2 (GeneID 6129).

Reactivity Notes

Orangutan (100%).

Clonality

Polyclonal

Host

Rabbit

Isotype

IgG

Theoretical MW

29 kDa.
Disclaimer note: The observed molecular weight of the protein may vary from the listed predicted molecular weight due to post translational modifications, post translation cleavages, relative charges, and other experimental factors.

Description

Novus Biologicals Rabbit RPL7 Antibody - BSA Free (NB100-2268) is a polyclonal antibody validated for use in WB. Anti-RPL7 Antibody: Cited in 5 publications. All Novus Biologicals antibodies are covered by our 100% guarantee.

Scientific Data Images for RPL7 Antibody - BSA Free

Western Blot: RPL7 Antibody [NB100-2268]

Western Blot: RPL7 Antibody [NB100-2268]

RPL7-Antibody-Western-Blot-NB100-2268-img0002.jpg
Western Blot: RPL7 Antibody [NB100-2268]

Western Blot: RPL7 Antibody [NB100-2268]

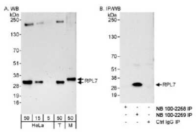
Western Blot: RPL7 Antibody [NB100-2268] - Detection of Human and Mouse RPL7 on HeLa whole cell lysate using NB100-2268. RPL7 was immunoprecipitated by rabbit anti-RPL7 antibody NB100-2269.
Western Blot: RPL7 Antibody [NB100-2268]

Western Blot: RPL7 Antibody [NB100-2268]

RPL7-Antibody-Western-Blot-NB100-2268-img0003.jpg

Applications for RPL7 Antibody - BSA Free

Application
Recommended Usage

Western Blot

1:2000-1:10000
Application Notes
Immunoprecipitation: Not recommended. Use rabbit anti-RPL7 Antibody NB 100-2269.

Formulation, Preparation, and Storage

Purification

Immunogen affinity purified

Formulation

Tris-Citrate/Phosphate (pH 7.0 - 8.0)

Format

BSA Free

Preservative

0.09% Sodium Azide

Concentration

1.0 mg/ml

Shipping

The product is shipped with polar packs. Upon receipt, store it immediately at the temperature recommended below.

Stability & Storage

Store at 4C. Do not freeze.

Background: RPL7

Ribosomes, the organelles that catalyze protein synthesis, consist of a small 40S subunit and a large 60S subunit. Together these subunits are composed of 4 RNA species and approximately 80 structurally distinct proteins. This gene encodes a ribosomal protein that is a component of the 60S subunit. The protein belongs to the L30P family of ribosomal proteins. It contains an N-terminal basic region-leucine zipper (BZIP)-like domain and the RNP consensus submotif RNP2. In vitro the BZIP-like domain mediates homodimerization and stable binding to DNA and RNA, with a preference for 28S rRNA and mRNA. The protein can inhibit cell-free translation of mRNAs, suggesting that it plays a regulatory role in the translation apparatus. It is located in the cytoplasm. The protein has been shown to be an autoantigen in patients with systemic autoimmune diseases, such as systemic lupus erythematosus. As is typical for genes encoding ribosomal proteins, there are multiple processed pseudogenes of this gene dispersed through the genome.

Alternate Names

humL7-1,60S ribosomal protein L7, MGC117326, ribosomal protein L7

Entrez Gene IDs

6129 (Human); 19989 (Mouse)

Gene Symbol

RPL7

UniProt

Additional RPL7 Products

Product Documents for RPL7 Antibody - BSA Free

Certificate of Analysis

To download a Certificate of Analysis, please enter a lot number in the search box below.

Product Specific Notices for RPL7 Antibody - BSA Free

This product is for research use only and is not approved for use in humans or in clinical diagnosis. Primary Antibodies are guaranteed for 1 year from date of receipt.

Loading...
Loading...
Loading...
Loading...