Skip to main content

RPL4 Antibody (HL3008)

Novus Biologicals, part of Bio-Techne | Catalog # NBP3-48760

Recombinant Monoclonal Antibody
Novus Biologicals, part of Bio-Techne
Catalog #
Availability
Size / Price
Qty
Loading...
NBP3-48760

Key Product Details

Validated by

Orthogonal Validation

Species Reactivity

Human, Mouse, Rat

Applications

Immunohistochemistry, Immunohistochemistry-Paraffin, Western Blot

Label

Unconjugated

Antibody Source

Recombinant Monoclonal Rabbit IgG Clone # HL3008

Concentration

Concentrations vary lot to lot. See vial label for concentration. If unlisted please contact technical services.

Product Specifications

Immunogen

Recombinant protein of human RPL4.

Clonality

Monoclonal

Host

Rabbit

Isotype

IgG

Description

Novus Biologicals Rabbit RPL4 Antibody (HL3008) (NBP3-48760) is a recombinant monoclonal antibody validated for use in IHC and WB. All Novus Biologicals antibodies are covered by our 100% guarantee.

Scientific Data Images for RPL4 Antibody (HL3008)

RPL4 Antibody (HL3008)

Western Blot: RPL4 Antibody (HL3008) [NBP3-48760] -

Various whole cell extracts (30 ug) were separated by 10% SDS-PAGE, and the membrane was blotted with RPL4 antibody [HL3008] (NBP3-48760) diluted at 1:1000. The HRP-conjugated anti-rabbit IgG antibody was used to detect the primary antibody.
RPL4 Antibody (HL3008)

Western Blot: RPL4 Antibody (HL3008) [NBP3-48760] -

Whole cell extract (30 ug) was separated by 10% SDS-PAGE, and the membrane was blotted with RPL4 antibody [HL3008] (NBP3-48760) diluted at 1:1000. The HRP-conjugated anti-rabbit IgG antibody was used to detect the primary antibody.
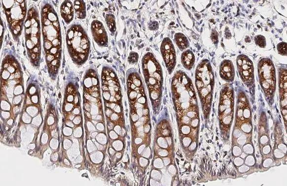
RPL4 Antibody (HL3008)

Immunohistochemistry-Paraffin: RPL4 Antibody (HL3008) [NBP3-48760] -

RPL4 antibody [HL3008] detects RPL4 protein by immunohistochemical analysis.
Sample: Paraffin-embedded mouse colon.
RPL4 stained by RPL4 antibody [HL3008] (NBP3-48760) diluted at 1:100.
Antigen Retrieval: Citrate buffer, pH 6.0, 15 min

Applications for RPL4 Antibody (HL3008)

Application
Recommended Usage

Western Blot

1:500-1:3000

Formulation, Preparation, and Storage

Purification

Protein A purified

Formulation

PBS

Preservative

No Preservative

Concentration

Concentrations vary lot to lot. See vial label for concentration. If unlisted please contact technical services.

Shipping

The product is shipped with polar packs. Upon receipt, store it immediately at the temperature recommended below.

Stability & Storage

Store at 4C short term. Aliquot and store at -20C long term. Avoid freeze-thaw cycles.

Background: RPL4

Ribosomes, the organelles that catalyze protein synthesis, consist of a small 40S subunit and a large 60S subunit. Together these subunits are composed of 4 RNA species and approximately 80 structurally distinct proteins. This gene encodes a ribosomal protein that is a component of the 60S subunit. The protein belongs to the L4E family of ribosomal proteins. It is located in the cytoplasm. As is typical for genes encoding ribosomal proteins, there are multiple processed pseudogenes of this gene dispersed through the genome.

Alternate Names

ribosomal protein L4,60S ribosomal protein L1,60S ribosomal protein L4, RPL1

Gene Symbol

RPL4

Additional RPL4 Products

Product Documents for RPL4 Antibody (HL3008)

Certificate of Analysis

To download a Certificate of Analysis, please enter a lot number in the search box below.

Product Specific Notices for RPL4 Antibody (HL3008)

This product is for research use only and is not approved for use in humans or in clinical diagnosis. Primary Antibodies are guaranteed for 1 year from date of receipt.

Loading...
Loading...
Loading...
Loading...