RPL32 Antibody (HL2329) - Azide and BSA Free
Novus Biologicals, part of Bio-Techne | Catalog # NBP3-25485
Recombinant Monoclonal Antibody
Key Product Details
Species Reactivity
Human, Mouse, Rat, Canine, Zebrafish
Applications
Immunohistochemistry, Immunohistochemistry-Paraffin, Western Blot, Immunocytochemistry/ Immunofluorescence
Label
Unconjugated
Antibody Source
Recombinant Monoclonal Rabbit IgG Clone # HL2329 expressed in HEK293
Format
Azide and BSA Free
Concentration
Concentrations vary lot to lot. See vial label for concentration. If unlisted please contact technical services.
Product Specifications
Immunogen
Full length human RPL32 recombinant protein.
Clonality
Monoclonal
Host
Rabbit
Isotype
IgG
Theoretical MW
16 kDa.
Disclaimer note: The observed molecular weight of the protein may vary from the listed predicted molecular weight due to post translational modifications, post translation cleavages, relative charges, and other experimental factors.
Disclaimer note: The observed molecular weight of the protein may vary from the listed predicted molecular weight due to post translational modifications, post translation cleavages, relative charges, and other experimental factors.
Description
Novus Biologicals Rabbit RPL32 Antibody (HL2329) - Azide and BSA Free (NBP3-25485) is a recombinant monoclonal antibody validated for use in IHC, WB and ICC/IF. All Novus Biologicals antibodies are covered by our 100% guarantee.
Scientific Data Images for RPL32 Antibody (HL2329) - Azide and BSA Free
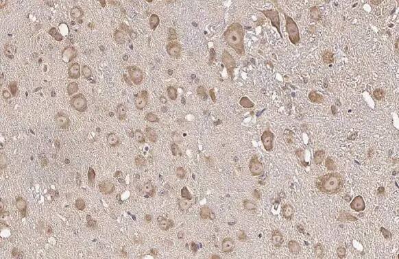
Immunohistochemistry-Paraffin: RPL32 Antibody (HL2329) - Azide and BSA Free [NBP3-25485] -
Immunohistochemistry-Paraffin: RPL32 Antibody (HL2329) - Azide and BSA Free [NBP3-25485] - RPL32 antibody [HL2329] detects RPL32 protein at cytoplasm by immunohistochemical analysis. Sample: Paraffin-embedded rat brain. RPL32 stained by RPL32 antibody [HL2329] (NBP3-25485) diluted at 1:100. Antigen Retrieval: Citrate buffer, pH 6.0, 15 minWestern Blot: RPL32 Antibody (HL2329) - Azide and BSA Free [NBP3-25485] -
Western Blot: RPL32 Antibody (HL2329) - Azide and BSA Free [NBP3-25485] - Whole cell extract (30 ug) was separated by 15% SDS-PAGE, and the membrane was blotted with RPL32 antibody [HL2329] (NBP3-25485) diluted at 1:1000. The HRP-conjugated anti-rabbit IgG antibody was used to detect the primary antibody.Immunocytochemistry/Immunofluorescence: RPL32 Antibody (HL2329) - Azide and BSA Free [NBP3-25485] -
Immunocytochemistry/Immunofluorescence: RPL32 Antibody (HL2329) - Azide and BSA Free [NBP3-25485] - RPL32 antibody [HL2329] detects RPL32 protein at cytoplasm by immunofluorescent analysis. Sample: HeLa cells were fixed in ice-cold MeOH for 5 min. Green: RPL32 stained by RPL32 antibody [HL2329] (NBP3-25485) diluted at 1:500. Red: alpha Tubulin, a cytoskeleton marker, stained by alpha Tubulin antibody [GT114] (NBP2-43837) diluted at 1:1000. Blue: Fluoroshield with DAPI .Applications for RPL32 Antibody (HL2329) - Azide and BSA Free
Application
Recommended Usage
Immunocytochemistry/ Immunofluorescence
1:100-1:1000
Immunohistochemistry
Assay dependent
Immunohistochemistry-Paraffin
Assay dependent
Western Blot
1:500-1:10000
Formulation, Preparation, and Storage
Purification
Protein A purified
Formulation
PBS
Format
Azide and BSA Free
Preservative
No Preservative
Concentration
Concentrations vary lot to lot. See vial label for concentration. If unlisted please contact technical services.
Shipping
The product is shipped with polar packs. Upon receipt, store it immediately at the temperature recommended below.
Stability & Storage
Store at 4C short term. Aliquot and store at -20C long term. Avoid freeze-thaw cycles.
Background: RPL32
Alternate Names
M, ribosomal protein L32,60S ribosomal protein L32
Gene Symbol
RPL32
Additional RPL32 Products
Product Documents for RPL32 Antibody (HL2329) - Azide and BSA Free
Product Specific Notices for RPL32 Antibody (HL2329) - Azide and BSA Free
This product is for research use only and is not approved for use in humans or in clinical diagnosis. Primary Antibodies are guaranteed for 1 year from date of receipt.
Loading...
Loading...
Loading...
Loading...