Skip to main content

RPL31 Antibody - BSA Free

Novus Biologicals, part of Bio-Techne | Catalog # NBP2-58847

Novus Biologicals, part of Bio-Techne
Catalog #
Availability
Size / Price
Qty
Loading...
NBP2-58847

Key Product Details

Species Reactivity

Validated:

Human

Predicted:

Mouse (100%), Rat (100%). Backed by our 100% Guarantee.

Applications

Immunohistochemistry, Immunohistochemistry-Paraffin, Western Blot

Label

Unconjugated

Antibody Source

Polyclonal Rabbit IgG

Format

BSA Free

Concentration

Concentrations vary lot to lot. See vial label for concentration. If unlisted please contact technical services.

Product Specifications

Immunogen

This antibody was developed against a recombinant protein corresponding to the following amino acid sequence: PAKKGGEKKKGRSAINEVVTREYTINIH

Clonality

Polyclonal

Host

Rabbit

Isotype

IgG

Description

Novus Biologicals Rabbit RPL31 Antibody - BSA Free (NBP2-58847) is a polyclonal antibody validated for use in IHC and WB. All Novus Biologicals antibodies are covered by our 100% guarantee.

Scientific Data Images for RPL31 Antibody - BSA Free

Western Blot: RPL31 Antibody [NBP2-58847]

Western Blot: RPL31 Antibody [NBP2-58847]

Western Blot: RPL31 Antibody [NBP2-58847] - Western blot analysis in human cell line RT-4, human cell line U-251 MG, human plasma and human liver tissue.
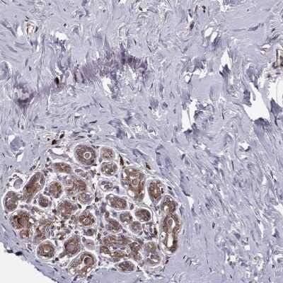
Immunohistochemistry-Paraffin: RPL31 Antibody [NBP2-58847]

Immunohistochemistry-Paraffin: RPL31 Antibody [NBP2-58847]

Immunohistochemistry-Paraffin: RPL31 Antibody [NBP2-58847] - Immunohistochemical staining of human breast shows strong cytoplasmic positivity in glandular cells.

Applications for RPL31 Antibody - BSA Free

Application
Recommended Usage

Immunohistochemistry

1:50 - 1:200

Immunohistochemistry-Paraffin

1:50 - 1:200

Western Blot

0.04-0.4 ug/ml
Application Notes
For IHC-Paraffin, HIER pH 6 retrieval is recommended.

Formulation, Preparation, and Storage

Purification

Affinity purified

Formulation

PBS (pH 7.2) and 40% Glycerol

Format

BSA Free

Preservative

0.02% Sodium Azide

Concentration

Concentrations vary lot to lot. See vial label for concentration. If unlisted please contact technical services.

Shipping

The product is shipped with polar packs. Upon receipt, store it immediately at the temperature recommended below.

Stability & Storage

Store at 4C short term. Aliquot and store at -20C long term. Avoid freeze-thaw cycles.

Background: RPL31

RPL31 - ribosomal protein L31

Alternate Names

MGC88191, MMRPS32, MRPL42, ribosomal protein L31,60S ribosomal protein L31

Gene Symbol

RPL31

Additional RPL31 Products

Product Documents for RPL31 Antibody - BSA Free

Certificate of Analysis

To download a Certificate of Analysis, please enter a lot number in the search box below.

Product Specific Notices for RPL31 Antibody - BSA Free

This product is for research use only and is not approved for use in humans or in clinical diagnosis. Primary Antibodies are guaranteed for 1 year from date of receipt.

Loading...
Loading...
Loading...
Loading...