Skip to main content

RPL18A Antibody - BSA Free

Novus Biologicals, part of Bio-Techne | Catalog # NBP2-30708

Novus Biologicals, part of Bio-Techne
Catalog #
Availability
Size / Price
Qty
Loading...
NBP2-30708-25ul
NBP2-30708

Key Product Details

Species Reactivity

Validated:

Human

Cited:

Human

Predicted:

Mouse (98%), Rat (98%). Backed by our 100% Guarantee.

Applications

Validated:

Immunohistochemistry, Immunohistochemistry-Paraffin, Western Blot, Immunocytochemistry/ Immunofluorescence

Cited:

Western Blot, Immunocytochemistry/ Immunofluorescence

Label

Unconjugated

Antibody Source

Polyclonal Rabbit IgG

Format

BSA Free

Concentration

Concentrations vary lot to lot. See vial label for concentration. If unlisted please contact technical services.

Product Specifications

Immunogen

This antibody was developed against a recombinant protein corresponding to amino acids: RAHSIQIMKVEEIAASKCRRPAVKQFHDSKIKFPLPHRVLRRQHKPRFTTKRPNTFF

Reactivity Notes

Human reactivity reported in scientific literature (PMID: 25785838).

Clonality

Polyclonal

Host

Rabbit

Isotype

IgG

Description

Novus Biologicals Rabbit RPL18A Antibody - BSA Free (NBP2-30708) is a polyclonal antibody validated for use in IHC, WB and ICC/IF. Anti-RPL18A Antibody: Cited in 1 publication. All Novus Biologicals antibodies are covered by our 100% guarantee.

Scientific Data Images for RPL18A Antibody - BSA Free

Western Blot: RPL18A Antibody [NBP2-30708]

Western Blot: RPL18A Antibody [NBP2-30708]

Western Blot: RPL18A Antibody [NBP2-30708] - Lane 1: Marker [kDa] 250, 130, 95, 72, 55, 36, 28, 17, 10. Lane 2: Human cell line RT-4. Lane 3: Human cell line U-251MG sp
Immunocytochemistry/ Immunofluorescence: RPL18A Antibody [NBP2-30708]

Immunocytochemistry/ Immunofluorescence: RPL18A Antibody [NBP2-30708]

Immunocytochemistry/Immunofluorescence: RPL18A Antibody [NBP2-30708] - Staining of human cell line U-2 OS shows localization to nucleoli, cytosol & endoplasmic reticulum.
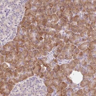
Immunohistochemistry: RPL18A Antibody [NBP2-30708]

Immunohistochemistry: RPL18A Antibody [NBP2-30708]

Immunohistochemistry: RPL18A Antibody [NBP2-30708] - Staining of human pancreas shows moderate cytoplasmic positivity in exocrine glandular cells, islets of Langerhans were negative.

Applications for RPL18A Antibody - BSA Free

Application
Recommended Usage

Immunocytochemistry/ Immunofluorescence

0.25-2 ug/ml

Immunohistochemistry

1:1000 - 1:2500

Immunohistochemistry-Paraffin

1:1000 - 1:2500

Western Blot

0.04-0.4 ug/ml
Application Notes
For IHC-Paraffin, HIER pH 6 retrieval is recommended. Immunocytochemistry/Immunofluorescence Fixation Permeabilization: Use PFA/Triton X-100.

Formulation, Preparation, and Storage

Purification

Affinity purified

Formulation

PBS (pH 7.2) and 40% Glycerol

Format

BSA Free

Preservative

0.02% Sodium Azide

Concentration

Concentrations vary lot to lot. See vial label for concentration. If unlisted please contact technical services.

Shipping

The product is shipped with polar packs. Upon receipt, store it immediately at the temperature recommended below.

Stability & Storage

Store at 4C short term. Aliquot and store at -20C long term. Avoid freeze-thaw cycles.

Background: RPL18A

RPL18A, also referred to as 60S Ribosomal Protein L18A, is a component of the large 60S subunit of ribosomes. RPL18A is 176 amino acids in length and is approximately 20kDa. RPL18A has a high binding affinity for Importin 9, a nuclear transport receptor that averts aggregation of RPS7 and RPL18A in the cytoplasm. Current research on RPL18A has shown a possible link with hepatitis C, malaria and Treacher Collins syndrome. RPL18A has also been shown to interact with HIST1H4A, HIST1H4B, HIST1H4C, HIST1H4D and HIST1H4E.

Alternate Names

60S ribosomal protein L18a, ribosomal protein L18a, ribosomal protein L18a-like protein

Gene Symbol

RPL18A

UniProt

Additional RPL18A Products

Product Documents for RPL18A Antibody - BSA Free

Certificate of Analysis

To download a Certificate of Analysis, please enter a lot number in the search box below.

Product Specific Notices for RPL18A Antibody - BSA Free

This product is for research use only and is not approved for use in humans or in clinical diagnosis. Primary Antibodies are guaranteed for 1 year from date of receipt.

Loading...
Loading...
Loading...
Loading...