Skip to main content

RPL13A Antibody - BSA Free

Novus Biologicals, part of Bio-Techne | Catalog # NBP1-92345

Novus Biologicals, part of Bio-Techne
Catalog #
Availability
Size / Price
Qty
Loading...
NBP1-92345

Key Product Details

Species Reactivity

Validated:

Human

Predicted:

Mouse (93%), Rat (98%). Backed by our 100% Guarantee.

Applications

Immunohistochemistry, Immunohistochemistry-Paraffin, Western Blot, Immunocytochemistry/ Immunofluorescence

Label

Unconjugated

Antibody Source

Polyclonal Rabbit IgG

Format

BSA Free

Concentration

Concentrations vary lot to lot. See vial label for concentration. If unlisted please contact technical services.

Product Specifications

Immunogen

This antibody was developed against Recombinant Protein corresponding to amino acids: AHEVGWKYQAVTATLEEKRKEKAKIHYRKKKQLMRLRKQAEKNV

Clonality

Polyclonal

Host

Rabbit

Isotype

IgG

Scientific Data Images for RPL13A Antibody - BSA Free

Immunocytochemistry/ Immunofluorescence: RPL13A Antibody [NBP1-92345]

Immunocytochemistry/ Immunofluorescence: RPL13A Antibody [NBP1-92345]

Immunocytochemistry/Immunofluorescence: RPL13A Antibody [NBP1-92345] - Staining of human cell line U-2 OS shows localization to nucleoli & cytosol. Antibody staining is shown in green.
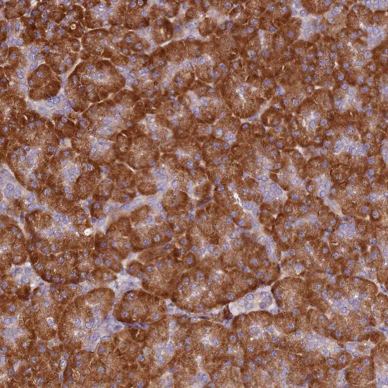
Immunohistochemistry-Paraffin: RPL13A Antibody [NBP1-92345]

Immunohistochemistry-Paraffin: RPL13A Antibody [NBP1-92345]

Immunohistochemistry-Paraffin: RPL13A Antibody [NBP1-92345] - Staining of human pancreas shows strong cytoplasmic positivity in exocrine glandular cells.
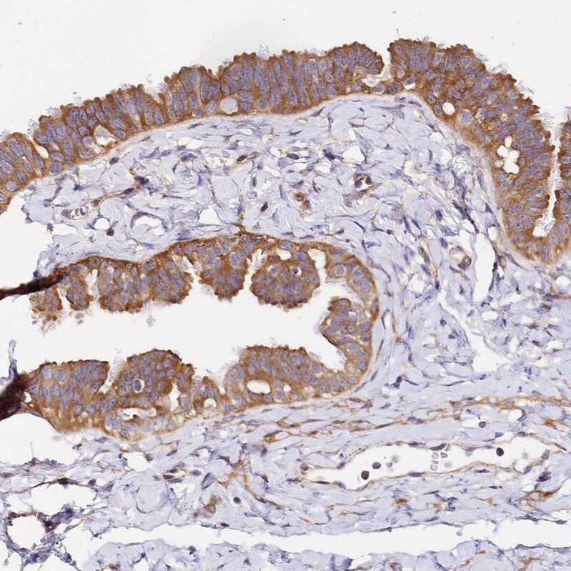
RPL13A Antibody - BSA Free Immunohistochemistry: RPL13A Antibody - BSA Free [NBP1-92345]

Immunohistochemistry: RPL13A Antibody - BSA Free [NBP1-92345]

Staining of human fallopian tube shows strong cytoplasmic positivity in glandular cells.

Applications for RPL13A Antibody - BSA Free

Application
Recommended Usage

Immunocytochemistry/ Immunofluorescence

0.25-2 ug/ml

Immunohistochemistry

1:50 - 1:200

Immunohistochemistry-Paraffin

1:50 - 1:200

Western Blot

0.04-0.4 ug/ml
Application Notes
IHC-Paraffin, HIER pH 6 retrieval is recommended. ICC/IF,Fixation Permeabilization: Use PFA/Triton X-100.

Formulation, Preparation, and Storage

Purification

Affinity purified

Formulation

PBS (pH 7.2) and 40% Glycerol

Format

BSA Free

Preservative

0.02% Sodium Azide

Concentration

Concentrations vary lot to lot. See vial label for concentration. If unlisted please contact technical services.

Shipping

The product is shipped with polar packs. Upon receipt, store it immediately at the temperature recommended below.

Stability & Storage

Store at 4C short term. Aliquot and store at -20C long term. Avoid freeze-thaw cycles.

Background: RPL13A

RPL13A, also known as 60S ribosomal protein L13a, is a 24 kDa 203 amino acid protein located in the cytoplasm. The primary role of RPL13A is to encode a ribosomal protein from the L13P family. Current research is being conducted on RPL13A in relation to Treacher Collins syndrome, gingivitisc and malaria. The gene is linked to the blood circulation, stem cell differentiation, methylation, pathogenesis and cell proliferation pathways where it interacts with HIST1H4A, HIST1H4B, HIST1H4C, HIST1H4D and HIST1H4E.

Alternate Names

60S ribosomal protein L13a, ribosomal protein L13a, tissue specific transplantation antigen 1,23 kDa highly basic protein, TSTA1

Gene Symbol

RPL13A

Additional RPL13A Products

Product Documents for RPL13A Antibody - BSA Free

Certificate of Analysis

To download a Certificate of Analysis, please enter a lot number in the search box below.

Product Specific Notices for RPL13A Antibody - BSA Free

This product is for research use only and is not approved for use in humans or in clinical diagnosis. Primary Antibodies are guaranteed for 1 year from date of receipt.

Loading...
Loading...
Loading...
Loading...