RPIA Antibody - BSA Free
Novus Biologicals, part of Bio-Techne | Catalog # NBP3-38584
Key Product Details
Species Reactivity
Human, Mouse, Rat
Applications
Immunohistochemistry, Immunohistochemistry-Paraffin, Western Blot, ELISA
Label
Unconjugated
Antibody Source
Polyclonal Rabbit IgG
Format
BSA Free
Concentration
Please see the vial label for concentration. If unlisted please contact technical services.
Product Specifications
Immunogen
Recombinant fusion protein containing a sequence corresponding to amino acids 82-311 of human RPIA (NP_653164.2).
Sequence:
KKLAGRAAVENHVRNNQVLGIGSGSTIVHAVQRIAERVKQENLNLVCIPTSFQARQLILQYGLTLSDLDRHPEIDLAIDGADEVDADLNLIKGGGGCLTQEKIVAGYASRFIVIADFRKDSKNLGDQWHKGIPIEVIPMAYVPVSRAVSQKFGGVVELRMAVNKAGPVVTDNGNFILDWKFDRVHKWSEVNTAIKMIPGVVDTGLFINMAERVYFGMQDGSVNMREKPFC
Sequence:
KKLAGRAAVENHVRNNQVLGIGSGSTIVHAVQRIAERVKQENLNLVCIPTSFQARQLILQYGLTLSDLDRHPEIDLAIDGADEVDADLNLIKGGGGCLTQEKIVAGYASRFIVIADFRKDSKNLGDQWHKGIPIEVIPMAYVPVSRAVSQKFGGVVELRMAVNKAGPVVTDNGNFILDWKFDRVHKWSEVNTAIKMIPGVVDTGLFINMAERVYFGMQDGSVNMREKPFC
Clonality
Polyclonal
Host
Rabbit
Isotype
IgG
Theoretical MW
33 kDa.
Disclaimer note: The observed molecular weight of the protein may vary from the listed predicted molecular weight due to post translational modifications, post translation cleavages, relative charges, and other experimental factors.
Disclaimer note: The observed molecular weight of the protein may vary from the listed predicted molecular weight due to post translational modifications, post translation cleavages, relative charges, and other experimental factors.
Description
Novus Biologicals Rabbit RPIA Antibody - BSA Free (NBP3-38584) is a polyclonal antibody validated for use in IHC, WB and ELISA. All Novus Biologicals antibodies are covered by our 100% guarantee.
Scientific Data Images for RPIA Antibody - BSA Free
Immunohistochemistry: RPIA Antibody [NBP3-38584] -
Immunohistochemistry: RPIA Antibody [NBP3-38584] - Immunohistochemistry analysis of paraffin-embedded Rat kidney using RPIA Rabbit pAb at dilution of 1:100 (40x lens). Microwave antigen retrieval performed with 0.01M PBS Buffer (pH 7.2) prior to IHC staining.Immunohistochemistry: RPIA Antibody [NBP3-38584] -
Immunohistochemistry: RPIA Antibody [NBP3-38584] - Immunohistochemistry analysis of paraffin-embedded Rat heart using RPIA Rabbit pAb at dilution of 1:100 (40x lens). Microwave antigen retrieval performed with 0.01M PBS Buffer (pH 7.2) prior to IHC staining.Western Blot: RPIA Antibody [NBP3-38584] -
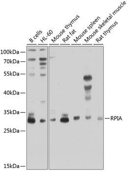
Western Blot: RPIA Antibody [NBP3-38584] - Western blot analysis of various lysates using RPIA Rabbit pAb at 1:1000 dilution.Secondary antibody: HRP-conjugated Goat anti-Rabbit IgG (H+L) at 1:10000 dilution.
Lysates/proteins: 25ug per lane.
Blocking buffer: 3% nonfat dry milk in TBST.
Detection: ECL Enhanced Kit.
Exposure time: 30s.
Applications for RPIA Antibody - BSA Free
Application
Recommended Usage
Immunohistochemistry-Paraffin
1:50 - 1:200
Western Blot
1:200 - 1:1000
Formulation, Preparation, and Storage
Purification
Affinity purified
Formulation
PBS (pH 7.3), 50% glycerol
Format
BSA Free
Preservative
0.02% Sodium Azide
Concentration
Please see the vial label for concentration. If unlisted please contact technical services.
Shipping
The product is shipped with polar packs. Upon receipt, store it immediately at the temperature recommended below.
Stability & Storage
Store at -20C. Avoid freeze-thaw cycles.
Background: RPIA
Alternate Names
EC 5.3.1.6, phosphoriboisomerase, ribose 5-phosphate epimerase, ribose 5-phosphate isomerase A, RPIribose-5-phosphate isomerase
Gene Symbol
RPIA
Additional RPIA Products
Product Documents for RPIA Antibody - BSA Free
Product Specific Notices for RPIA Antibody - BSA Free
This product is for research use only and is not approved for use in humans or in clinical diagnosis. Primary Antibodies are guaranteed for 1 year from date of receipt.
Loading...
Loading...
Loading...
Loading...