Skip to main content

RPIA Antibody - BSA Free

Novus Biologicals, part of Bio-Techne | Catalog # NBP1-86214

Novus Biologicals, part of Bio-Techne
Catalog #
Availability
Size / Price
Qty
Loading...
NBP1-86214-25ul
NBP1-86214

Key Product Details

Species Reactivity

Validated:

Human

Predicted:

Mouse (94%), Rat (94%). Backed by our 100% Guarantee.

Applications

Immunohistochemistry, Immunohistochemistry-Paraffin, Western Blot

Label

Unconjugated

Antibody Source

Polyclonal Rabbit IgG

Format

BSA Free

Concentration

Concentrations vary lot to lot. See vial label for concentration. If unlisted please contact technical services.

Product Specifications

Immunogen

This antibody was developed against Recombinant Protein corresponding to amino acids: AVENHVRNNQVLGIGSGSTIVHAVQRIAERVKQENLNLVCIPTSFQARQLILQYGLTLSDLDRHPEIDLAID

Clonality

Polyclonal

Host

Rabbit

Isotype

IgG

Scientific Data Images for RPIA Antibody - BSA Free

RPIA Antibody - BSA Free Western Blot: RPIA Antibody - BSA Free [NBP1-86214]

Western Blot: RPIA Antibody - BSA Free [NBP1-86214]

Analysis in control (vector only transfected HEK293T lysate) and RPIA over-expression lysate (Co-expressed with a C-terminal myc-DDK tag (~3.1 kDa) in mammalian HEK293T cells).
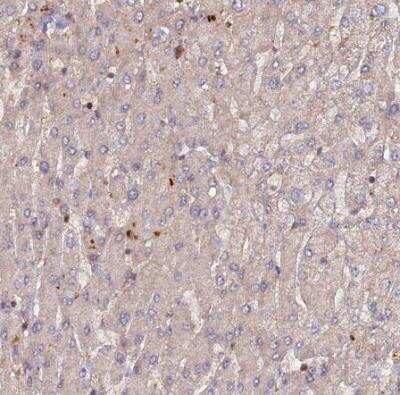
Immunohistochemistry-Paraffin: RPIA Antibody [NBP1-86214]

Immunohistochemistry-Paraffin: RPIA Antibody [NBP1-86214]

Immunohistochemistry-Paraffin: RPIA Antibody [NBP1-86214] - Staining of human liver shows no positivity in hepaatocytes as expected.
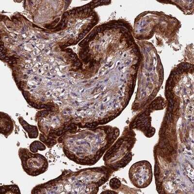
Immunohistochemistry-Paraffin: RPIA Antibody [NBP1-86214]

Immunohistochemistry-Paraffin: RPIA Antibody [NBP1-86214]

Immunohistochemistry-Paraffin: RPIA Antibody [NBP1-86214] - Staining of human placenta shows strong cytoplasmic positivity in trophoblastic cells.

Applications for RPIA Antibody - BSA Free

Application
Recommended Usage

Immunohistochemistry

1:20 - 1:50

Immunohistochemistry-Paraffin

1:20 - 1:50

Western Blot

0.04-0.4 ug/ml
Application Notes
For IHC-Paraffin, HIER pH 6 retrieval is recommended.

Formulation, Preparation, and Storage

Purification

Affinity purified

Formulation

PBS (pH 7.2) and 40% Glycerol

Format

BSA Free

Preservative

0.02% Sodium Azide

Concentration

Concentrations vary lot to lot. See vial label for concentration. If unlisted please contact technical services.

Shipping

The product is shipped with polar packs. Upon receipt, store it immediately at the temperature recommended below.

Stability & Storage

Store at 4C short term. Aliquot and store at -20C long term. Avoid freeze-thaw cycles.

Background: RPIA

Alternate Names

EC 5.3.1.6, phosphoriboisomerase, ribose 5-phosphate epimerase, ribose 5-phosphate isomerase A, RPIribose-5-phosphate isomerase

Gene Symbol

RPIA

Additional RPIA Products

Product Documents for RPIA Antibody - BSA Free

Certificate of Analysis

To download a Certificate of Analysis, please enter a lot number in the search box below.

Product Specific Notices for RPIA Antibody - BSA Free

This product is for research use only and is not approved for use in humans or in clinical diagnosis. Primary Antibodies are guaranteed for 1 year from date of receipt.

Loading...
Loading...
Loading...
Loading...