Skip to main content

RPGRIP1L Antibody - BSA Free

Novus Biologicals, part of Bio-Techne | Catalog # NBP3-46689

Novus Biologicals, part of Bio-Techne
Catalog #
Availability
Size / Price
Qty
Loading...
NBP3-46689

Key Product Details

Species Reactivity

Human

Applications

Immunohistochemistry, Western Blot, ELISA, Immunoprecipitation

Label

Unconjugated

Antibody Source

Polyclonal Rabbit IgG

Format

BSA Free

Concentration

Please see the vial label for concentration. If unlisted please contact technical services.

Product Specifications

Immunogen

RPGRIP1-like. (Uniprot# Q68CZ1)

Clonality

Polyclonal

Host

Rabbit

Isotype

IgG

Theoretical MW

151 kDa.
Disclaimer note: The observed molecular weight of the protein may vary from the listed predicted molecular weight due to post translational modifications, post translation cleavages, relative charges, and other experimental factors.

Description

Novus Biologicals Rabbit RPGRIP1L Antibody - BSA Free (NBP3-46689) is a polyclonal antibody validated for use in IHC, WB, ELISA and IP. All Novus Biologicals antibodies are covered by our 100% guarantee.

Scientific Data Images for RPGRIP1L Antibody - BSA Free

RPGRIP1L Antibody - BSA Free

Western Blot: RPGRIP1L Antibody - BSA Free [NBP3-46689] -

Western Blot: RPGRIP1L Antibody - BSA Free [NBP3-46689] - HEK-293 cells were subjected to SDS PAGE followed by western blot with (RPGRIP1L antibody) at dilution of 1:800
RPGRIP1L Antibody - BSA Free

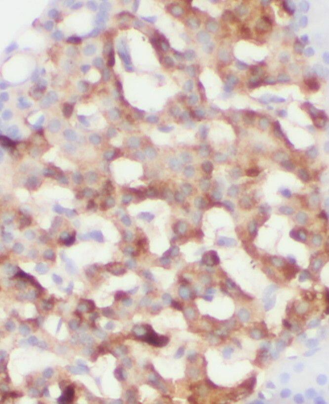
Immunohistochemistry: RPGRIP1L Antibody - BSA Free [NBP3-46689] -

Immunohistochemistry: RPGRIP1L Antibody - BSA Free [NBP3-46689] - Immunohistochemistry of paraffin-embedded human pancreas using (RPGRIP1L antibody) at dilution of 1:50
RPGRIP1L Antibody - BSA Free

Immunoprecipitation: RPGRIP1L Antibody - BSA Free [NBP3-46689] -

Immunoprecipitation: RPGRIP1L Antibody - BSA Free [NBP3-46689] - IP Result of anti-RPGRIP1L (IP:, 4ug; Detection: 1:700) with HEK-293 cells lysate 3200ug.

Applications for RPGRIP1L Antibody - BSA Free

Application
Recommended Usage

Immunohistochemistry

1:50-1:500

Immunoprecipitation

1:500-1:1000

Western Blot

1:500-1:2000

Formulation, Preparation, and Storage

Purification

Immunogen affinity purified

Formulation

PBS, 50% Glycerol, pH (7.3)

Format

BSA Free

Preservative

0.02% Sodium Azide

Concentration

Please see the vial label for concentration. If unlisted please contact technical services.

Shipping

The product is shipped with polar packs. Upon receipt, store it immediately at the temperature recommended below.

Stability & Storage

Store at -20C. Avoid freeze-thaw cycles.

Background: RPGRIP1L

RPGRIP1L is encoded by this gene can localize to the basal body-centrosome complex or to primary cilia and centrosomes in ciliated cells. The encoded protein has been found to interact with nephrocystin-4. Defects in this gene are a cause of Joubert syndrome type 7 (JBTS7) and Meckel syndrome type 5 (MKS5). Two transcript variants encoding different isoforms have been found for this gene. [provided by RefSeq]

Alternate Names

CORS3, FTMDKFZp686C0668, JBTS7fantom homolog, KIAA1005RPGRIP1-like protein, MKS5nephrocystin 8, NPHP8, protein fantom, RPGR-interacting protein 1-like protein, RPGRIP1-like

Gene Symbol

RPGRIP1L

Additional RPGRIP1L Products

Product Documents for RPGRIP1L Antibody - BSA Free

Certificate of Analysis

To download a Certificate of Analysis, please enter a lot number in the search box below.

Product Specific Notices for RPGRIP1L Antibody - BSA Free

This product is for research use only and is not approved for use in humans or in clinical diagnosis. Primary Antibodies are guaranteed for 1 year from date of receipt.

Loading...
Loading...
Loading...
Loading...