Skip to main content

RPGR Antibody - Azide and BSA Free

Novus Biologicals, part of Bio-Techne | Catalog # NBP2-93653

Novus Biologicals, part of Bio-Techne
Catalog #
Availability
Size / Price
Qty
Loading...
NBP2-93653-0.02ml
NBP2-93653-0.1ml

Key Product Details

Species Reactivity

Human, Mouse, Rat

Applications

Immunohistochemistry, Immunohistochemistry-Paraffin, Western Blot, ELISA, Immunocytochemistry/ Immunofluorescence

Label

Unconjugated

Antibody Source

Polyclonal Rabbit IgG

Format

Azide and BSA Free

Concentration

Please see the vial label for concentration. If unlisted please contact technical services.

Product Specifications

Immunogen

Recombinant fusion protein containing a sequence corresponding to amino acids 1-260 of human RPGR (NP_001030025.1). MREPEELMPDSGAVFTFGKSKFAENNPGKFWFKNDVPVHLSCGDEHSAVVTGNNKLYMFGSNNWGQLGLGSKSAISKPTCVKALKPEKVKLAACGRNHTLVSTEGGNVYATGGNNEGQLGLGDTEERNTFHVISFFTSEHKIKQLSAGSNTSAALTEDGRLFMWGDNSEGQIGLKNVSNVCVPQQVTIGKPVSWISCGYYHSAFVTTDGELYVFGEPENGKLGLPNQLLGNHRTPQLVSEIPEKVIQVACGGEHTVVLTE

Clonality

Polyclonal

Host

Rabbit

Isotype

IgG

Theoretical MW

113 kDa.
Disclaimer note: The observed molecular weight of the protein may vary from the listed predicted molecular weight due to post translational modifications, post translation cleavages, relative charges, and other experimental factors.

Description

Novus Biologicals Rabbit RPGR Antibody - Azide and BSA Free (NBP2-93653) is a polyclonal antibody validated for use in IHC, WB, ELISA and ICC/IF. All Novus Biologicals antibodies are covered by our 100% guarantee.

Scientific Data Images for RPGR Antibody - Azide and BSA Free

Western Blot: RPGR AntibodyAzide and BSA Free [NBP2-93653]

Western Blot: RPGR AntibodyAzide and BSA Free [NBP2-93653]

Western Blot: RPGR Antibody [NBP2-93653] - Western blot analysis of extracts of Rat testis, using RPGR antibody (NBP2-93653) at 1:500 dilution. Secondary antibody: HRP Goat Anti-Rabbit IgG (H+L) at 1:10000 dilution. Lysates/proteins: 25ug per lane. Blocking buffer: 3% nonfat dry milk in TBST. Detection: ECL Basic Kit. Exposure time: 30s.
Western Blot: RPGR AntibodyAzide and BSA Free [NBP2-93653]

Western Blot: RPGR AntibodyAzide and BSA Free [NBP2-93653]

Western Blot: RPGR Antibody [NBP2-93653] - Western blot analysis of extracts of Mouse brain, using RPGR antibody (NBP2-93653) at 1:500 dilution. Secondary antibody: HRP Goat Anti-Rabbit IgG (H+L) at 1:10000 dilution. Lysates/proteins: 25ug per lane. Blocking buffer: 3% nonfat dry milk in TBST. Detection: ECL Enhanced Kit. Exposure time: 180s.
RPGR Antibody

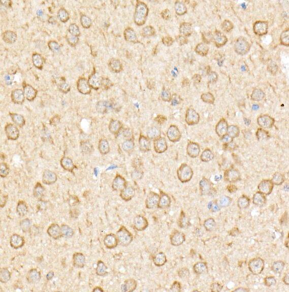
Immunohistochemistry-paraffin-RPGR Antibody-NBP2-93653-

Immunohistochemistry-paraffin-RPGR Antibody-NBP2-93653-Analysis of paraffin-embedded mouse brain using RPGR Rabbit pAb at dilution of 1:50 (40x lens).Perform high pressure antigen retrieval with 10 mM citrate buffer pH 6.0 before commencing with IHC staining protocol.

Applications for RPGR Antibody - Azide and BSA Free

Application
Recommended Usage

ELISA

Recommended starting concentration is 1 μg/mL. Please optimize the concentration based on your specific assay requirements.

Immunocytochemistry/ Immunofluorescence

1:50 - 1:200

Immunohistochemistry

1:50 - 1:200

Western Blot

1:500 - 1:1000

Formulation, Preparation, and Storage

Purification

Affinity purified

Formulation

PBS (pH 7.3), 50% glycerol

Format

Azide and BSA Free

Preservative

0.02% Sodium Azide

Concentration

Please see the vial label for concentration. If unlisted please contact technical services.

Shipping

The product is shipped with polar packs. Upon receipt, store it immediately at the temperature recommended below.

Stability & Storage

Store at -20C. Avoid freeze-thaw cycles.

Background: RPGR

RPGR - retinitis pigmentosa GTPase regulator

Alternate Names

COD1, cone dystrophy 1 (X-linked), CORDX1RP3retinitis pigmentosa 15, CRD, orf15, PCDX, retinitis pigmentosa 3 GTPase regulator, retinitis pigmentosa GTPase regulator, RP15, X-linked retinitis pigmentosa GTPase regulator, XLRP3

Gene Symbol

RPGR

Additional RPGR Products

Product Documents for RPGR Antibody - Azide and BSA Free

Certificate of Analysis

To download a Certificate of Analysis, please enter a lot number in the search box below.

Product Specific Notices for RPGR Antibody - Azide and BSA Free

This product is for research use only and is not approved for use in humans or in clinical diagnosis. Primary Antibodies are guaranteed for 1 year from date of receipt.

Loading...
Loading...
Loading...
Loading...