Skip to main content

RPGR Antibody - BSA Free

Novus Biologicals, part of Bio-Techne | Catalog # NBP1-84412

Novus Biologicals, part of Bio-Techne
Catalog #
Availability
Size / Price
Qty
Loading...
NBP1-84412-25ul
NBP1-84412

Key Product Details

Species Reactivity

Human

Applications

Immunohistochemistry, Immunohistochemistry-Paraffin

Label

Unconjugated

Antibody Source

Polyclonal Rabbit IgG

Format

BSA Free

Concentration

Concentrations vary lot to lot. See vial label for concentration. If unlisted please contact technical services.

Product Specifications

Immunogen

This antibody was developed against Recombinant Protein corresponding to amino acids: EINDTCLSVATFLPYSSLTSGNVLQRTLSARMRRRERERSPDSFSMRRTLPPIEGTLGLSACFLPNSVFPRCSERNLQESVLSEQDLMQPEEPDYLLDEMTKEAEIDNSSTVESLGETTDILNMTHIMSLN

Clonality

Polyclonal

Host

Rabbit

Isotype

IgG

Description

Novus Biologicals Rabbit RPGR Antibody - BSA Free (NBP1-84412) is a polyclonal antibody validated for use in IHC. Anti-RPGR Antibody: Cited in 2 publications. All Novus Biologicals antibodies are covered by our 100% guarantee.

Scientific Data Images for RPGR Antibody - BSA Free

RPGR Antibody - BSA Free Immunohistochemistry-Paraffin: RPGR Antibody - BSA Free [NBP1-84412]

Immunohistochemistry-Paraffin: RPGR Antibody - BSA Free [NBP1-84412]

Staining of human fallopian tube shows strong positivity in cilia in glandular cells.
RPGR Antibody - BSA Free Immunohistochemistry-Paraffin: RPGR Antibody - BSA Free [NBP1-84412]

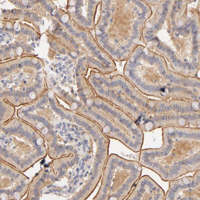
Immunohistochemistry-Paraffin: RPGR Antibody - BSA Free [NBP1-84412]

Staining of human duodenum shows moderate positivity in apical membrane in glandular cells.
RPGR Antibody - BSA Free Immunohistochemistry-Paraffin: RPGR Antibody - BSA Free [NBP1-84412]

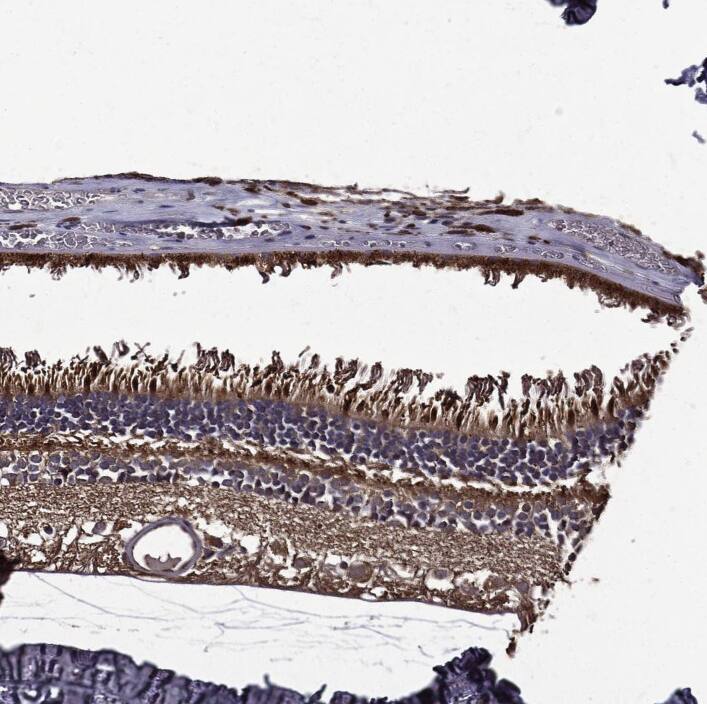
Immunohistochemistry-Paraffin: RPGR Antibody - BSA Free [NBP1-84412]

Staining of human eye, retina shows strong cytoplasmic positivity.

Applications for RPGR Antibody - BSA Free

Application
Recommended Usage

Immunohistochemistry

1:50 - 1:200

Immunohistochemistry-Paraffin

1:50 - 1:200
Application Notes
For IHC-Paraffin, HIER pH 6 retrieval is recommended.

Formulation, Preparation, and Storage

Purification

Affinity purified

Formulation

PBS (pH 7.2) and 40% Glycerol

Format

BSA Free

Preservative

0.02% Sodium Azide

Concentration

Concentrations vary lot to lot. See vial label for concentration. If unlisted please contact technical services.

Shipping

The product is shipped with polar packs. Upon receipt, store it immediately at the temperature recommended below.

Stability & Storage

Store at 4C short term. Aliquot and store at -20C long term. Avoid freeze-thaw cycles.

Background: RPGR

RPGR - retinitis pigmentosa GTPase regulator

Alternate Names

COD1, cone dystrophy 1 (X-linked), CORDX1RP3retinitis pigmentosa 15, CRD, orf15, PCDX, retinitis pigmentosa 3 GTPase regulator, retinitis pigmentosa GTPase regulator, RP15, X-linked retinitis pigmentosa GTPase regulator, XLRP3

Gene Symbol

RPGR

Additional RPGR Products

Product Documents for RPGR Antibody - BSA Free

Certificate of Analysis

To download a Certificate of Analysis, please enter a lot number in the search box below.

Product Specific Notices for RPGR Antibody - BSA Free

This product is for research use only and is not approved for use in humans or in clinical diagnosis. Primary Antibodies are guaranteed for 1 year from date of receipt.

Loading...
Loading...
Loading...
Loading...