Skip to main content

RPC62 Antibody (OTI2H1)

Novus Biologicals, part of Bio-Techne | Catalog # NBP2-45900

Novus Biologicals, part of Bio-Techne

Key Product Details

Species Reactivity

Human, Mouse, Rat

Applications

Immunohistochemistry, Immunohistochemistry-Paraffin, Western Blot, Immunocytochemistry/ Immunofluorescence

Label

Unconjugated

Antibody Source

Monoclonal Mouse IgG1 Clone # OTI2H1

Concentration

1 mg/ml

Product Specifications

Immunogen

Full length human recombinant protein of human POLR3C(NP_006459) produced in HEK293T cell.

Reactivity Notes

Please note that this antibody is reactive to Mouse and derived from the same host, Mouse. Mouse-On-Mouse blocking reagent may be needed for IHC and ICC experiments to reduce high background signal. You can find these reagents under catalog numbers PK-2200-NB and MP-2400-NB. Please contact Technical Support if you have any questions.

Clonality

Monoclonal

Host

Mouse

Isotype

IgG1

Theoretical MW

60.4 kDa.
Disclaimer note: The observed molecular weight of the protein may vary from the listed predicted molecular weight due to post translational modifications, post translation cleavages, relative charges, and other experimental factors.

Description

Novus Biologicals Mouse RPC62 Antibody (OTI2H1) (NBP2-45900) is a monoclonal antibody validated for use in IHC, WB and ICC/IF. All Novus Biologicals antibodies are covered by our 100% guarantee.

Scientific Data Images for RPC62 Antibody (OTI2H1)

Western Blot: RPC62 Antibody (OTI2H1) [NBP2-45900]

Western Blot: RPC62 Antibody (OTI2H1) [NBP2-45900]

Western Blot: RPC62 Antibody (OTI2H1) [NBP2-45900] - Analysis of HEK293T cells were transfected with the pCMV6-ENTRY control (Left lane) or pCMV6-ENTRY RPC62.
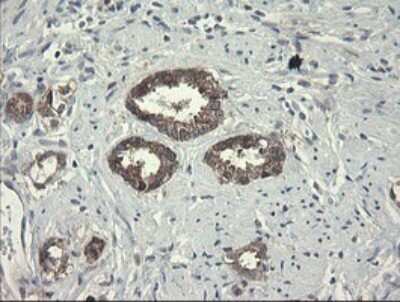
Immunohistochemistry: RPC62 Antibody (OTI2H1) [NBP2-45900]

Immunohistochemistry: RPC62 Antibody (OTI2H1) [NBP2-45900]

Immunohistochemistry: RPC62 Antibody (OTI2H1) [NBP2-45900] - Analysis of Human pancreas tissue.
Western Blot: RPC62 Antibody (OTI2H1) [NBP2-45900]

Western Blot: RPC62 Antibody (OTI2H1) [NBP2-45900]

Western Blot: RPC62 Antibody (OTI2H1) [NBP2-45900] - Analysis of extracts (10ug) from 7 different cell lines (HeLa: human; SVT2: mouse; A549: human; COS7: monkey; Jurkat: human; MDCK: canine; MCF7: Human)

Applications for RPC62 Antibody (OTI2H1)

Application
Recommended Usage

Immunocytochemistry/ Immunofluorescence

1:100

Immunohistochemistry

1:150

Western Blot

1:2000

Formulation, Preparation, and Storage

Purification

Immunogen affinity purified

Formulation

PBS (pH 7.3), 1.0% BSA and 50% Glycerol

Preservative

0.02% Sodium Azide

Concentration

1 mg/ml

Shipping

The product is shipped with polar packs. Upon receipt, store it immediately at the temperature recommended below.

Stability & Storage

Store at -20C. Avoid freeze-thaw cycles.

Background: RPC62

DNA-dependent RNA polymerase catalyzes the transcription of DNA into RNA using the four ribonucleoside triphosphates as substrates. Specific core component of RNA polymerase III which synthesizes small RNAs, such as 5S rRNA and tRNAs. May direct with other members of the subcomplex RNA Pol III binding to the TFIIIB-DNA complex via the interactions between TFIIIB and POLR3F. May be involved either in the recruitment and stabilization of the subcomplex within RNA polymerase III, or in stimulating catalytic functions of other subunits during initiation. Plays a key role in sensing and limiting infection by intracellular bacteria and DNA viruses. Acts as nuclear and cytosolic DNA sensor involved in innate immune response. Can sense non-self dsDNA that serves as template for transcription into dsRNA. The non-self RNA polymerase III transcripts, such as Epstein-Barr virus-encoded RNAs (EBERs) induce type I interferon and NF- Kappa-B through the RIG-I pathway

Alternate Names

DNA-directed III 62 kDa polypeptide, DNA-directed RNA polymerase III subunit C, DNA-directed RNA polymerase III subunit RPC3, polymerase (RNA) III (DNA directed) polypeptide C (62kD), RNA polymerase III 62 kDa subunit, RNA polymerase III subunit C3, RPC62RPC3

Gene Symbol

POLR3C

Additional RPC62 Products

Product Documents for RPC62 Antibody (OTI2H1)

Certificate of Analysis

To download a Certificate of Analysis, please enter a lot number in the search box below.

Product Specific Notices for RPC62 Antibody (OTI2H1)

This product is for research use only and is not approved for use in humans or in clinical diagnosis. Primary Antibodies are guaranteed for 1 year from date of receipt.

Loading...
Loading...
Loading...
Loading...