Skip to main content

RPA14 Antibody - BSA Free

Novus Biologicals, part of Bio-Techne | Catalog # NBP2-97782

Novus Biologicals, part of Bio-Techne

Key Product Details

Species Reactivity

Human

Applications

Immunohistochemistry-Paraffin, Western Blot

Label

Unconjugated

Antibody Source

Polyclonal Rabbit IgG

Format

BSA Free

Concentration

Please see the vial label for concentration. If unlisted please contact technical services.

Product Specifications

Immunogen

Produced in rabbits immunized with E. coli-derived Human RPA14 fragment.

Clonality

Polyclonal

Host

Rabbit

Isotype

IgG

Description

This antibody can be stored at 2C to 8C for one month without detectable loss of activity. Antibody products are stable for twelve months from date of receipt when stored at -20C to -80C. Avoid repeated freeze-thaw cycles.

Scientific Data Images for RPA14 Antibody - BSA Free

Western Blot: RPA14 Antibody [NBP2-97782]

Western Blot: RPA14 Antibody [NBP2-97782]

Western Blot: RPA14 Antibody [NBP2-97782] - Anti-RPA14 rabbit polyclonal antibody at 1:500 dilution. Lane A: Hela Whole Cell Lysate Lane B: HepG2 Whole Cell Lysate Lane C: 293T Whole Cell Lysate Lane D: HL-60 Whole Cell Lysate Lysates/proteins at 30 ug per lane. Secondary Goat Anti-Rabbit IgG (H+L)/HRP at 1/10000 dilution. Developed using the ECL technique. Performed under reducing conditions. Predicted band size: 14 kDa. Observed band size: 14 kDa
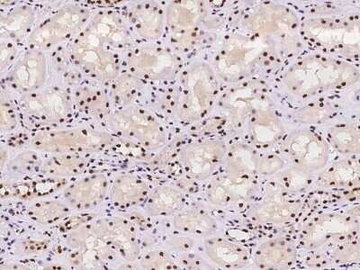
Immunohistochemistry-Paraffin: RPA14 Antibody [NBP2-97782]

Immunohistochemistry-Paraffin: RPA14 Antibody [NBP2-97782]

Immunohistochemistry-Paraffin: RPA14 Antibody [NBP2-97782] - Immunochemical staining of human RPA3 in human kidney with rabbit polyclonal antibody at 1:100 dilution, formalin-fixed paraffin embedded sections.
Immunohistochemistry-Paraffin: RPA14 Antibody [NBP2-97782]

Immunohistochemistry-Paraffin: RPA14 Antibody [NBP2-97782]

Immunohistochemistry-Paraffin: RPA14 Antibody [NBP2-97782] - Immunochemical staining of human RPA3 in human brain with rabbit polyclonal antibody at 1:100 dilution, formalin-fixed paraffin embedded sections.

Applications for RPA14 Antibody - BSA Free

Application
Recommended Usage

Immunohistochemistry-Paraffin

1:50-1:200

Western Blot

1:500-1:2000

Formulation, Preparation, and Storage

Purification

Antigen and protein A Affinity-purified

Formulation

PBS

Format

BSA Free

Preservative

0.03% Proclin 300

Concentration

Please see the vial label for concentration. If unlisted please contact technical services.

Shipping

The product is shipped with polar packs. Upon receipt, store it immediately at the temperature recommended below.

Stability & Storage

Store at 4C short term. Aliquot and store at -20C long term. Avoid freeze-thaw cycles.

Background: RPA14

Replication protein A (RPA) is a single-stranded DNA binding protein. Human RPA is a heterotrimeric protein containing subunits of 70, 32 and 14 kDa. This protein complex is highly conserved in eukaryotes and is essential in DNA replication, homologous recombination and nucleotide excision repair. RPA has been shown to be a target for DNA-dependent protein kinase (DNA-PK) ataxia telangiectasia-mutated gene (ATM) and a cyclin dependent protein kinase.

Alternate Names

REPA3Replication factor A protein 3, replication protein A 14 kDa subunit, replication protein A3 (14kD), replication protein A3, 14kDa, RF-A protein 3, RP-A p14, RPA14

Gene Symbol

RPA3

Additional RPA14 Products

Product Documents for RPA14 Antibody - BSA Free

Certificate of Analysis

To download a Certificate of Analysis, please enter a lot number in the search box below.

Product Specific Notices for RPA14 Antibody - BSA Free

This product is for research use only and is not approved for use in humans or in clinical diagnosis. Primary Antibodies are guaranteed for 1 year from date of receipt.

Loading...
Loading...
Loading...
Loading...