Skip to main content

RP105/CD180 Antibody

Novus Biologicals, part of Bio-Techne | Catalog # NBP2-20205

Novus Biologicals, part of Bio-Techne
Catalog #
Availability
Size / Price
Qty
Loading...
NBP2-20205

Key Product Details

Species Reactivity

Human

Applications

Immunohistochemistry, Immunohistochemistry-Paraffin, Western Blot

Label

Unconjugated

Antibody Source

Polyclonal Rabbit IgG

Concentration

Concentrations vary lot to lot. See vial label for concentration. If unlisted please contact technical services.

Product Specifications

Immunogen

Recombinant protein encompassing a sequence within the center region of human RP105/CD180. The exact sequence is proprietary.

Localization

Cell membrane

Clonality

Polyclonal

Host

Rabbit

Isotype

IgG

Theoretical MW

74 kDa.
Disclaimer note: The observed molecular weight of the protein may vary from the listed predicted molecular weight due to post translational modifications, post translation cleavages, relative charges, and other experimental factors.

Description

Novus Biologicals Rabbit RP105/CD180 Antibody (NBP2-20205) is a polyclonal antibody validated for use in IHC and WB. All Novus Biologicals antibodies are covered by our 100% guarantee.

Scientific Data Images for RP105/CD180 Antibody

Western Blot: RP105/CD180 Antibody [NBP2-20205]

Western Blot: RP105/CD180 Antibody [NBP2-20205]

Western Blot: RP105 Antibody [NBP2-20205] - Sample (30 ug of whole cell lysate) A: HL-60 7. 5% SDS PAGE gel, diluted at 1:1000.
RP105/CD180 Antibody

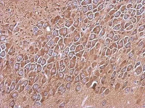
Immunohistochemistry: RP105/CD180 Antibody [NBP2-20205] -

Immunohistochemical analysis of paraffin-embedded CL1-5 xenograft, using RP105(NBP2-20205) antibody at 1:500 dilution. br>Antigen Retrieval: Trilogy(TM) (EDTA based, pH 8.0) buffer, 15min

Applications for RP105/CD180 Antibody

Application
Recommended Usage

Immunohistochemistry

1:100-1:1000

Immunohistochemistry-Paraffin

1:100-1:1000

Western Blot

1:500-1:3000

Formulation, Preparation, and Storage

Purification

Antigen Affinity-purified

Formulation

PBS, 1% BSA, 20% Glycerol

Preservative

0.01% Thimerosal

Concentration

Concentrations vary lot to lot. See vial label for concentration. If unlisted please contact technical services.

Shipping

The product is shipped with polar packs. Upon receipt, store it immediately at the temperature recommended below.

Stability & Storage

Aliquot and store at -20C or -80C. Avoid freeze-thaw cycles.

Background: RP105/CD180

CD180 is a cell surface molecule consisting of extracellular leucine-rich repeats (LRR) and a short cytoplasmic tail. The extracellular LRR is associated with a molecule called MD-1 and form the cell surface receptor complex, RP105/MD-1. It belongs to the family of pathogen receptors, Toll-like receptors (TLR). RP105/MD1, by working in concert with TLR4, controls B cell recognition and signaling of lipopolysaccharide (LPS), a membrane constituent of Gram-negative bacteria. [provided by RefSeq]

Alternate Names

CD180, Ly64

Gene Symbol

CD180

UniProt

Additional RP105/CD180 Products

Product Documents for RP105/CD180 Antibody

Certificate of Analysis

To download a Certificate of Analysis, please enter a lot number in the search box below.

Product Specific Notices for RP105/CD180 Antibody

This product is for research use only and is not approved for use in humans or in clinical diagnosis. Primary Antibodies are guaranteed for 1 year from date of receipt.

Loading...
Loading...
Loading...
Loading...

⚠ WARNING: This product can expose you to chemicals including mercury, which is known to the State of California to cause reproductive toxicity with developmental effects.  For more information go to www.P65Warnings.ca.gov.