Skip to main content

RP105/CD180 Antibody - BSA Free

Novus Biologicals, part of Bio-Techne | Catalog # NBP1-76705

Novus Biologicals, part of Bio-Techne
Catalog #
Availability
Size / Price
Qty
Loading...
NBP1-76705
NBP1-76705-0.025mg
Conjugate
Catalog #

Key Product Details

Species Reactivity

Human, Mouse

Applications

Immunohistochemistry, Immunohistochemistry-Paraffin, Western Blot, ELISA

Label

Unconjugated

Antibody Source

Polyclonal Rabbit IgG

Format

BSA Free

Concentration

1 mg/ml

Product Specifications

Immunogen

Antibody was raised against a 14 amino acid synthetic peptide from near the carboxy terminus of human RP105. The immunogen is located within amino acids 590 - 640 of RP105. Amino Acid Squence: NPPSLRGVKLSDVK

Clonality

Polyclonal

Host

Rabbit

Isotype

IgG

Scientific Data Images for RP105/CD180 Antibody - BSA Free

Western Blot: RP105/CD180 AntibodyBSA Free [NBP1-76705]

Western Blot: RP105/CD180 AntibodyBSA Free [NBP1-76705]

Western Blot: RP105/CD180 Antibody [NBP1-76705] - Human spleen tissue lysate with RP105 antibody at (A) 0.5 and (B) 1 ug/mL.
RP105/CD180 Antibody - BSA Free

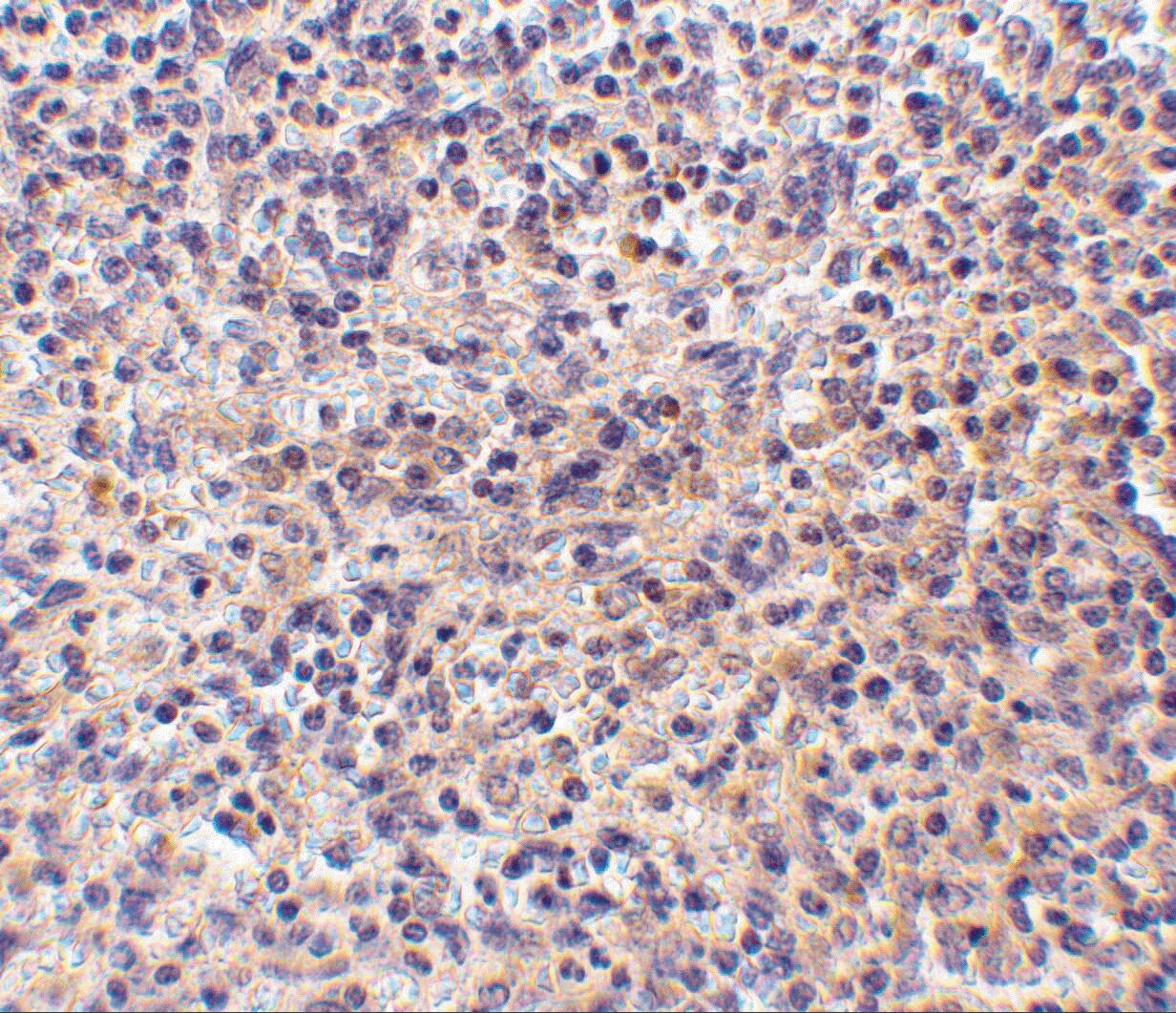
Immunohistochemistry: RP105/CD180 Antibody - BSA Free [NBP1-76705] -

Immunohistochemistry: RP105/CD180 Antibody - BSA Free [NBP1-76705] - Immunohistochemistry of RP105/CD180 in human spleen tissue withRP105/CD180 antibody at 10 ug/mL.

Applications for RP105/CD180 Antibody - BSA Free

Application
Recommended Usage

ELISA

1:100-1:2000

Immunohistochemistry

10 ug/ml

Immunohistochemistry-Paraffin

1:10-1:500

Western Blot

0.5-1 ug/ml
Application Notes
Despite its predicted molecular weight, RP105/CD180 often migrates at 95 - 105 kDa.

Formulation, Preparation, and Storage

Purification

Peptide affinity purified

Formulation

PBS

Format

BSA Free

Preservative

0.02% Sodium Azide

Concentration

1 mg/ml

Shipping

The product is shipped with polar packs. Upon receipt, store it immediately at the temperature recommended below.

Stability & Storage

Store at 4C short term. Aliquot and store at -20C long term. Avoid freeze-thaw cycles.

Background: RP105/CD180

Toll-like receptors (TLRs) are evolutionarily conserved pattern-recognition molecules resembling the toll proteins that mediate antimicrobial responses in Drosophila. These proteins recognize different microbial products during infection and serve as an important link between the innate and adaptive immune responses. The signaling of these TLRs is kept under tight control by the expression of endogenous inhibiting proteins. One such protein is RP105, a recently identified homolog to TLR4 that, with MD-1, interacts with and inhibits the TLR4/MD-2 signaling pathway. It has also been suggested that the RP105/MD-1 complex influences antibody production mediated by both TLR4/MD-2 and TLR2 receptor complexes. Despite its predicted molecular weight, RP105 often migrates at 95 - 105 kDa.

Alternate Names

CD180, Ly64

Gene Symbol

CD180

UniProt

Additional RP105/CD180 Products

Product Documents for RP105/CD180 Antibody - BSA Free

Certificate of Analysis

To download a Certificate of Analysis, please enter a lot number in the search box below.

Product Specific Notices for RP105/CD180 Antibody - BSA Free

This product is for research use only and is not approved for use in humans or in clinical diagnosis. Primary Antibodies are guaranteed for 1 year from date of receipt.

Loading...
Loading...
Loading...
Loading...