Skip to main content

ROS Antibody (ROS1/7999R) - Azide and BSA Free

Novus Biologicals, part of Bio-Techne | Catalog # NBP3-20740

Recombinant Monoclonal Antibody
Novus Biologicals, part of Bio-Techne

Key Product Details

Species Reactivity

Human

Applications

Immunohistochemistry-Paraffin

Label

Unconjugated

Antibody Source

Recombinant Monoclonal Rabbit IgG Kappa Clone # ROS1/7999R

Format

Azide and BSA Free

Concentration

1 mg/ml

Product Specifications

Immunogen

Recombinant fragment corresponding to cytoplasmic domain of human ROS protein

Localization

Cell surface.

Clonality

Monoclonal

Host

Rabbit

Isotype

IgG Kappa

Description

Positive Controls: Human brain, lung carcinoma or primary glioblastoma.

Antibody with azide - store at 2 to 8C. Antibody without azide - store at -20 to -80C. Non-hazardous. No MSDS required.

Scientific Data Images for ROS Antibody (ROS1/7999R) - Azide and BSA Free

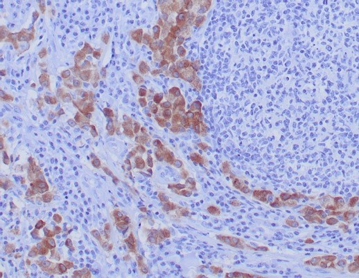
ROS Antibody (ROS1/7999R) - Azide and BSA Free

ROS Antibody (ROS1/7999R)

Formalin-fixed, paraffin-embedded human lung carcinoma stained with ROS antibody (ROS1/7999R). HIER: Tris/EDTA, pH9.0, 45min. Secondary: HRP-polymer, 30min. DAB, 5min.
ROS Antibody (ROS1/7999R) - Azide and BSA Free

ROS Antibody (ROS1/7999R)

Formalin-fixed, paraffin-embedded human lung carcinoma stained with ROS antibody (ROS1/7999R). HIER: Tris/EDTA, pH9.0, 45min. Secondary: HRP-polymer, 30min. DAB, 5min.

Applications for ROS Antibody (ROS1/7999R) - Azide and BSA Free

Application
Recommended Usage

Immunohistochemistry-Paraffin

1-2 ug/ml
Application Notes
Immunohistochemistry (Formalin-fixed): 1-2ug/ml for 30 minutes. at RT. Staining of formalin-fixed tissues requires heating tissue sections in 10mM Tris with 1mM EDTA, pH 9.0, for 45 min at 95C followed by cooling at RT for 20 minutes.

Optimal dilution for a specific application should be determined.

Formulation, Preparation, and Storage

Purification

Protein A or G purified

Formulation

10mM PBS

Format

Azide and BSA Free

Preservative

No Preservative

Concentration

1 mg/ml

Shipping

The product is shipped with polar packs. Upon receipt, store it immediately at the temperature recommended below.

Stability & Storage

Store at -20 to -70C. Avoid freeze-thaw cycles.

Background: ROS1

This proto-oncogene, highly-expressed in a variety of tumor cell lines, belongs to the sevenless subfamily of tyrosine kinase insulin receptor genes. The protein encoded by this gene is a type I integral membrane protein with tyrosine kinase activity. The protein may function as a growth or differentiation factor receptor. (provided by RefSeq)

Long Name

ROS Proto-Oncogene 1, Receptor Tyrosine Kinase

Alternate Names

c-Ros-1, MCF3

Gene Symbol

ROS1

Additional ROS1 Products

Product Documents for ROS Antibody (ROS1/7999R) - Azide and BSA Free

Certificate of Analysis

To download a Certificate of Analysis, please enter a lot number in the search box below.

Product Specific Notices for ROS Antibody (ROS1/7999R) - Azide and BSA Free

This product is for research use only and is not approved for use in humans or in clinical diagnosis. Primary Antibodies are guaranteed for 1 year from date of receipt.

Loading...
Loading...
Loading...
Loading...