Ropporin 1-like Antibody - BSA Free
Novus Biologicals, part of Bio-Techne | Catalog # NBP2-47299
Key Product Details
Validated by
Orthogonal Validation, Independent Antibodies
Species Reactivity
Validated:
Human
Predicted:
Mouse (96%), Rat (96%). Backed by our 100% Guarantee.
Applications
Immunohistochemistry, Immunohistochemistry-Paraffin, Western Blot
Label
Unconjugated
Antibody Source
Polyclonal Rabbit IgG
Format
BSA Free
Concentration
Concentrations vary lot to lot. See vial label for concentration. If unlisted please contact technical services.
Product Specifications
Immunogen
This antibody was developed against a recombinant protein corresponding to amino acids: PDTMFCAQQIHIPPELPDILKQFTKAAIRTQPADVLRWSAGYFSALSRGDPLPVKDRMEMPTATQKTDTGLTQGLL
Clonality
Polyclonal
Host
Rabbit
Isotype
IgG
Description
Novus Biologicals Rabbit Ropporin 1-like Antibody - BSA Free (NBP2-47299) is a polyclonal antibody validated for use in IHC and WB. All Novus Biologicals antibodies are covered by our 100% guarantee.
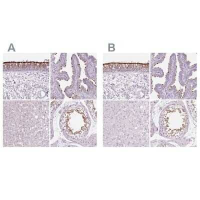
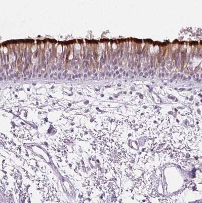
Scientific Data Images for Ropporin 1-like Antibody - BSA Free
Western Blot: Ropporin 1-like Antibody [NBP2-47299]
Western Blot: Ropporin 1-like Antibody [NBP2-47299] - Analysis in control (vector only transfected HEK293T lysate) and ROPN1L over-expression lysate (Co-expressed with a C-terminal myc-DDK tag (3.1 kDa) in mammalian HEK293T cells).Immunohistochemistry-Paraffin: Ropporin 1-like Antibody [NBP2-47299]
Immunohistochemistry-Paraffin: Ropporin 1-like Antibody [NBP2-47299] - Staining of human bronchus shows strong membranous positivity in respiratory epithelial cells.Applications for Ropporin 1-like Antibody - BSA Free
Application
Recommended Usage
Immunohistochemistry
1:200 - 1:500
Immunohistochemistry-Paraffin
1:200 - 1:500
Western Blot
0.04-0.4 ug/ml
Application Notes
For IHC-Paraffin, HIER pH 6 retrieval is recommended.
Formulation, Preparation, and Storage
Purification
Affinity purified
Formulation
PBS (pH 7.2) and 40% Glycerol
Format
BSA Free
Preservative
0.02% Sodium Azide
Concentration
Concentrations vary lot to lot. See vial label for concentration. If unlisted please contact technical services.
Shipping
The product is shipped with polar packs. Upon receipt, store it immediately at the temperature recommended below.
Stability & Storage
Store at 4C short term. Aliquot and store at -20C long term. Avoid freeze-thaw cycles.
Background: Ropporin 1-like
Alternate Names
AKAP-associated sperm protein, ASPFLJ23003, FLJ25776, radial spoke head 11 homolog, rhophilin associated tail protein 1-like, ROPN1-like protein, ropporin 1-like, ropporin-1-like protein, RSPH11
Gene Symbol
ROPN1L
Additional Ropporin 1-like Products
Product Documents for Ropporin 1-like Antibody - BSA Free
Product Specific Notices for Ropporin 1-like Antibody - BSA Free
This product is for research use only and is not approved for use in humans or in clinical diagnosis. Primary Antibodies are guaranteed for 1 year from date of receipt.
Loading...
Loading...
Loading...
Loading...