Skip to main content

RNMT Antibody - BSA Free

Novus Biologicals, part of Bio-Techne | Catalog # NBP3-46700

Novus Biologicals, part of Bio-Techne
Catalog #
Availability
Size / Price
Qty
Loading...
NBP3-46700

Key Product Details

Species Reactivity

Human, Mouse

Applications

Immunohistochemistry, Western Blot, ELISA, Immunocytochemistry/ Immunofluorescence

Label

Unconjugated

Antibody Source

Polyclonal Rabbit IgG

Format

BSA Free

Concentration

Please see the vial label for concentration. If unlisted please contact technical services.

Product Specifications

Immunogen

RNA(guanine-7-) methyltransferase. (Uniprot# O43148)

Clonality

Polyclonal

Host

Rabbit

Isotype

IgG

Theoretical MW

55 kDa.
Disclaimer note: The observed molecular weight of the protein may vary from the listed predicted molecular weight due to post translational modifications, post translation cleavages, relative charges, and other experimental factors.

Description

Novus Biologicals Rabbit RNMT Antibody - BSA Free (NBP3-46700) is a polyclonal antibody validated for use in IHC, WB, ELISA and ICC/IF. All Novus Biologicals antibodies are covered by our 100% guarantee.

Scientific Data Images for RNMT Antibody - BSA Free

RNMT Antibody - BSA Free

Western Blot: RNMT Antibody - BSA Free [NBP3-46700] -

Western Blot: RNMT Antibody - BSA Free [NBP3-46700] - Human kidney tissue were subjected to SDS PAGE followed by western blot with (RNMT antibody) at dilution of 1:300
RNMT Antibody - BSA Free

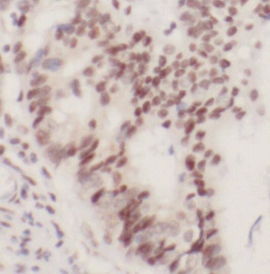
Immunohistochemistry: RNMT Antibody - BSA Free [NBP3-46700] -

Immunohistochemistry: RNMT Antibody - BSA Free [NBP3-46700] - Immunohistochemistry of paraffin-embedded human colon cancer using (RNMT antibody) at dilution of 1:50

Applications for RNMT Antibody - BSA Free

Application
Recommended Usage

Immunocytochemistry/ Immunofluorescence

1:20-1:200

Immunohistochemistry

1:20-1:200

Western Blot

1:500-1:1000

Formulation, Preparation, and Storage

Purification

Immunogen affinity purified

Formulation

PBS, 50% Glycerol, pH (7.3)

Format

BSA Free

Preservative

0.02% Sodium Azide

Concentration

Please see the vial label for concentration. If unlisted please contact technical services.

Shipping

The product is shipped with polar packs. Upon receipt, store it immediately at the temperature recommended below.

Stability & Storage

Store at -20C. Avoid freeze-thaw cycles.

Background: RNMT

mRNA cap methyltransferase (HCM) catalyzes the N7 methylation of the cap formed by mRNA capping enzyme (HCE) to form a terminal 7-methylguanosine. This is subsequently recognised by cap binding proteins that facilitate key events in gene expression.

Alternate Names

DKFZp686H1252, EC 2.1.1.56, hcm1p, hCMT1, hCMT1c, hMet, KIAA0398, mRNA (guanine-7-)methyltransferase, mRNA (guanine-N(7)-)-methyltransferase, mRNA cap guanine-N7 methyltransferase, mRNA cap methyltransferase, RG7MT1MET, RNA (guanine-7-) methyltransferase

Gene Symbol

RNMT

Additional RNMT Products

Product Documents for RNMT Antibody - BSA Free

Certificate of Analysis

To download a Certificate of Analysis, please enter a lot number in the search box below.

Product Specific Notices for RNMT Antibody - BSA Free

This product is for research use only and is not approved for use in humans or in clinical diagnosis. Primary Antibodies are guaranteed for 1 year from date of receipt.

Loading...
Loading...
Loading...
Loading...