Skip to main content

RNF6 Antibody - BSA Free

Novus Biologicals, part of Bio-Techne | Catalog # NBP1-80251

Novus Biologicals, part of Bio-Techne
Catalog #
Availability
Size / Price
Qty
Loading...
NBP1-80251

Key Product Details

Species Reactivity

Mouse

Applications

Immunohistochemistry, Immunohistochemistry-Paraffin, Western Blot

Label

Unconjugated

Antibody Source

Polyclonal Rabbit IgG

Format

BSA Free

Concentration

1 mg/ml

Product Specifications

Immunogen

Synthetic peptide directed towards the N terminal of mouse RNF6. Peptide sequence MDPSRSRSGGSGEESSFQENERRWQQERLHREEAYYQFINELSDEDYRLM. The peptide sequence for this immunogen was taken from within the described region.

Clonality

Polyclonal

Host

Rabbit

Isotype

IgG

Theoretical MW

73 kDa.
Disclaimer note: The observed molecular weight of the protein may vary from the listed predicted molecular weight due to post translational modifications, post translation cleavages, relative charges, and other experimental factors.

Description

The addition of 50% glycerol is optional for those storing this antibody at -20C and not aliquoting smaller units. However, please note that glycerol may interrupt some downstream antibody applications and should be added with caution.

Scientific Data Images for RNF6 Antibody - BSA Free

Western Blot: RNF6 Antibody [NBP1-80251]

Western Blot: RNF6 Antibody [NBP1-80251]

Western Blot: RNF6 Antibody [NBP1-80251] - Titration: 1.25ug/ml Positive Control: SP2/0 cell lysate.
Immunohistochemistry-Paraffin: RNF6 Antibody [NBP1-80251]

Immunohistochemistry-Paraffin: RNF6 Antibody [NBP1-80251]

Immunohistochemistry-Paraffin: RNF6 Antibody [NBP1-80251] - Mouse intestine, 4-8ug/ml.
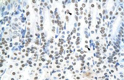
Immunohistochemistry-Paraffin: RNF6 Antibody [NBP1-80251]

Immunohistochemistry-Paraffin: RNF6 Antibody [NBP1-80251]

Immunohistochemistry-Paraffin: RNF6 Antibody [NBP1-80251] - Mouse Pancreas tissue, islet cell (Indicated with Arrows) 4-8ug/ml.

Applications for RNF6 Antibody - BSA Free

Application
Recommended Usage

Immunohistochemistry

1:10-1:500

Immunohistochemistry-Paraffin

1:10-1:500

Western Blot

1.0 ug/ml

Formulation, Preparation, and Storage

Purification

Protein A purified

Formulation

PBS, 2% Sucrose

Format

BSA Free

Preservative

0.09% Sodium Azide

Concentration

1 mg/ml

Shipping

The product is shipped with polar packs. Upon receipt, store it immediately at the temperature recommended below.

Stability & Storage

Store at 4C short term. Aliquot and store at -20C long term. Avoid freeze-thaw cycles.

Background: RNF6

RNF6 is encoded by this gene contains a RING-H2 finger motif. Deletions and mutations in this gene were detected in esophageal squamous cell carcinoma (ESCC), suggesting that this protein may be a potential tumor suppressor. Studies of the mouse counterpart suggested a role of this protein in the transcription regulation that controls germinal differentiation. Multiple alternatively spliced transcript variants encoding the same protein are observed.

Alternate Names

DKFZp686P0776, E3 ubiquitin-protein ligase RNF6, EC 6.3.2.-, ring finger protein (C3H2C3 type) 6, RING-H2 protein RNF-6, SPG2

Gene Symbol

RNF6

Additional RNF6 Products

Product Documents for RNF6 Antibody - BSA Free

Certificate of Analysis

To download a Certificate of Analysis, please enter a lot number in the search box below.

Product Specific Notices for RNF6 Antibody - BSA Free

This product is for research use only and is not approved for use in humans or in clinical diagnosis. Primary Antibodies are guaranteed for 1 year from date of receipt.

Loading...
Loading...
Loading...
Loading...