Skip to main content

RNF40 Antibody (8I7R5)

Novus Biologicals, part of Bio-Techne | Catalog # NBP3-16834

Recombinant Monoclonal Antibody
Novus Biologicals, part of Bio-Techne
Catalog #
Availability
Size / Price
Qty
Loading...
NBP3-16834-100ul
NBP3-16834-20ul

Key Product Details

Species Reactivity

Human, Mouse

Applications

Immunohistochemistry, Immunohistochemistry-Paraffin, Western Blot

Label

Unconjugated

Antibody Source

Recombinant Monoclonal Rabbit IgG Clone # 8I7R5 expressed in HEK293

Concentration

Please see the vial label for concentration. If unlisted please contact technical services.

Product Specifications

Immunogen

Recombinant fusion protein containing a sequence corresponding to amino acids 231-431 of human RNF40 (O75150). RELGRENRRLQDLATQLQEKHHRISLEYSELQDKVTSAETKVLEMETTVEDLQWDIEKLRKREQKLNKHLAEALEQLNSGYYVSGSSSGFQGGQITLSMQKFEMLNAELEENQELANSRMAELEKLQAELQGAVRTNERLKVALRSLPEEVVRETGEYRMLQAQFSLLYNESLQVKTQLDEARGLLLATKNSHLRHIEHME

Clonality

Monoclonal

Host

Rabbit

Isotype

IgG

Theoretical MW

114 kDa.
Disclaimer note: The observed molecular weight of the protein may vary from the listed predicted molecular weight due to post translational modifications, post translation cleavages, relative charges, and other experimental factors.

Description

Novus Biologicals Rabbit RNF40 Antibody (8I7R5) (NBP3-16834) is a recombinant monoclonal antibody validated for use in IHC and WB. All Novus Biologicals antibodies are covered by our 100% guarantee.

Scientific Data Images for RNF40 Antibody (8I7R5)

Western Blot: RNF40 Antibody (8I7R5) [NBP3-16834]

Western Blot: RNF40 Antibody (8I7R5) [NBP3-16834]

Western Blot: RNF40 Antibody (8I7R5) [NBP3-16834] - Western blot analysis of extracts of various cell lines, using RNF40 Rabbit mAb (NBP3-16834) at 1:1000 dilution. Secondary antibody: HRP Goat Anti-Rabbit IgG (H+L) at 1:10000 dilution. Lysates/proteins: 25ug per lane. Blocking buffer: 3% nonfat dry milk in TBST. Detection: ECL Basic Kit. Exposure time: 3s.
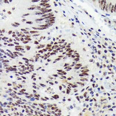
Immunohistochemistry-Paraffin: RNF40 Antibody (8I7R5) [NBP3-16834]

Immunohistochemistry-Paraffin: RNF40 Antibody (8I7R5) [NBP3-16834]

Immunohistochemistry-Paraffin: RNF40 Antibody (8I7R5) [NBP3-16834] - Immunohistochemistry of paraffin-embedded human colon carcinoma using RNF40 Rabbit mAb (NBP3-16834) at dilution of 1:100 (40x lens).Perform microwave antigen retrieval with 10 mM Tris/EDTA buffer pH 9.0 before commencing with IHC staining protocol.
Western Blot: RNF40 Antibody (8I7R5) [NBP3-16834]

Western Blot: RNF40 Antibody (8I7R5) [NBP3-16834]

Western Blot: RNF40 Antibody (8I7R5) [NBP3-16834] - Western blot analysis of extracts of Mouse brain, using RNF40 Rabbit mAb (NBP3-16834) at 1:1000 dilution. Secondary antibody: HRP Goat Anti-Rabbit IgG (H+L) at 1:10000 dilution. Lysates/proteins: 25ug per lane. Blocking buffer: 3% nonfat dry milk in TBST. Detection: ECL Basic Kit. Exposure time: 30s.

Applications for RNF40 Antibody (8I7R5)

Application
Recommended Usage

Immunohistochemistry

1:50 - 1:200

Western Blot

1:500 - 1:2000

Formulation, Preparation, and Storage

Purification

Affinity purified

Formulation

PBS (pH 7.3), 50% glycerol, 0.05% BSA

Preservative

0.02% Sodium Azide

Concentration

Please see the vial label for concentration. If unlisted please contact technical services.

Shipping

The product is shipped with polar packs. Upon receipt, store it immediately at the temperature recommended below.

Stability & Storage

Store at -20C. Avoid freeze-thaw cycles.

Background: RNF40

RNF40 is encoded by this gene contains a RING finger, a motif known to be involved in protein-protein and protein-DNA interactions. This protein was reported to interact with the tumor suppressor protein RB1. Studies of the rat counterpart suggested that this protein may function as an E3 ubiquitin-protein ligase, and facilitate the ubiquitination and degradation of syntaxin 1, which is an essential component of the neurotransmitter release machinery.

Alternate Names

95 kDa retinoblastoma-associated protein, BRE1-B, BRE1BMGC13051, EC 6.3.2,95 kDa retinoblastoma protein binding protein, EC 6.3.2.-, KIAA0661BRE1 E3 ubiquitin ligase homolog B, Rb-associated protein, RBP95E3 ubiquitin-protein ligase BRE1B, ring finger protein 40DKFZp686K191, STARING

Gene Symbol

RNF40

Additional RNF40 Products

Product Documents for RNF40 Antibody (8I7R5)

Certificate of Analysis

To download a Certificate of Analysis, please enter a lot number in the search box below.

Product Specific Notices for RNF40 Antibody (8I7R5)

This product is for research use only and is not approved for use in humans or in clinical diagnosis. Primary Antibodies are guaranteed for 1 year from date of receipt.

Loading...
Loading...
Loading...
Loading...