Skip to main content

RNF39 Antibody - BSA Free

Novus Biologicals, part of Bio-Techne | Catalog # NBP1-55282

Catalog #
Availability
Size / Price
Qty
Loading...
NBP1-55282

Key Product Details

Species Reactivity

Human

Applications

Immunohistochemistry, Immunohistochemistry-Paraffin, Western Blot

Label

Unconjugated

Antibody Source

Polyclonal Rabbit IgG

Format

BSA Free

Concentration

0.5 mg/ml

Product Specifications

Immunogen

Synthetic peptides corresponding to RNF39(ring finger protein 39) The peptide sequence was selected from the N terminal of RNF39. Peptide sequence EGRKAAKVNAGVGEKGIYTASSRGGPPSARSKAVTVVAEGAASRSWLSMD. The peptide sequence for this immunogen was taken from within the described region.

Clonality

Polyclonal

Host

Rabbit

Isotype

IgG

Theoretical MW

39 kDa.
Disclaimer note: The observed molecular weight of the protein may vary from the listed predicted molecular weight due to post translational modifications, post translation cleavages, relative charges, and other experimental factors.

Description

The addition of 50% glycerol is optional for those storing this antibody at -20C and not aliquoting smaller units. However, please note that glycerol may interrupt some downstream antibody applications and should be added with caution.

Scientific Data Images for RNF39 Antibody - BSA Free

Western Blot: RNF39 Antibody [NBP1-55282]

Western Blot: RNF39 Antibody [NBP1-55282]

Western Blot: RNF39 Antibody [NBP1-55282] - Jurkat cell lysate, Antibody Titration: 0.2-1 ug/ml
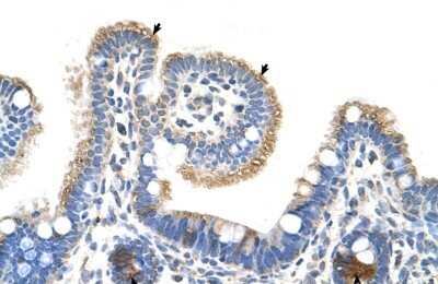
Immunohistochemistry-Paraffin: RNF39 Antibody [NBP1-55282]

Immunohistochemistry-Paraffin: RNF39 Antibody [NBP1-55282]

Immunohistochemistry-Paraffin: RNF39 Antibody [NBP1-55282] - Human Intestine Tissue, antibody concentration 4-8ug/ml. Cells with positive label: Epithelial cells of intestinal villus (indicated with arrows) 400X magnification.

Applications for RNF39 Antibody - BSA Free

Application
Recommended Usage

Immunohistochemistry

1:10-1:500

Immunohistochemistry-Paraffin

1:10-1:500

Western Blot

1.0 ug/ml

Formulation, Preparation, and Storage

Purification

Affinity purified

Formulation

PBS, 2% Sucrose

Format

BSA Free

Preservative

0.09% Sodium Azide

Concentration

0.5 mg/ml

Shipping

The product is shipped with polar packs. Upon receipt, store it immediately at the temperature recommended below.

Stability & Storage

Store at 4C short term. Aliquot and store at -20C long term. Avoid freeze-thaw cycles.

Background: RNF39

Its gene lies within the major histocompatibility complex class I region on chromosome 6. Studies of a similar rat protein suggest that RNF39 plays a role in an early phase of synaptic plasticity. Its gene lies within the major histocompatibility complex class I region on chromosome 6.This gene lies within the major histocompatibility complex class I region on chromosome 6. Studies of a similar rat protein suggest that this gene encodes a protein that plays a role in an early phase of synaptic plasticity. Alternative splicing results in three transcript variants encoding different isoforms.

Alternate Names

HZF, HZFWLTP (long-term potentiation) induced RING finger protein, LIRFHZFw1, Protein HZFw, ring finger protein 39

Gene Symbol

RNF39

UniProt

Additional RNF39 Products

Product Documents for RNF39 Antibody - BSA Free

Certificate of Analysis

To download a Certificate of Analysis, please enter a lot number in the search box below.

Product Specific Notices for RNF39 Antibody - BSA Free

This product is for research use only and is not approved for use in humans or in clinical diagnosis. Primary Antibodies are guaranteed for 1 year from date of receipt.

Loading...
Loading...
Loading...
Loading...