Skip to main content

RNF39 Antibody (OTI5E10)

Novus Biologicals, part of Bio-Techne | Catalog # NBP2-45962

Novus Biologicals, part of Bio-Techne

Key Product Details

Species Reactivity

Human, Mouse, Rat, Canine, Monkey

Applications

Immunohistochemistry, Immunohistochemistry-Paraffin, Western Blot, Immunocytochemistry/ Immunofluorescence

Label

Unconjugated

Antibody Source

Monoclonal Mouse IgG1 Clone # OTI5E10

Concentration

1 mg/ml

Product Specifications

Immunogen

Full length human recombinant protein of human RNF39(NP_079512) produced in HEK293T cell.

Reactivity Notes

Please note that this antibody is reactive to Mouse and derived from the same host, Mouse. Mouse-On-Mouse blocking reagent may be needed for IHC and ICC experiments to reduce high background signal. You can find these reagents under catalog numbers PK-2200-NB and MP-2400-NB. Please contact Technical Support if you have any questions.

Clonality

Monoclonal

Host

Mouse

Isotype

IgG1

Theoretical MW

45.3 kDa.
Disclaimer note: The observed molecular weight of the protein may vary from the listed predicted molecular weight due to post translational modifications, post translation cleavages, relative charges, and other experimental factors.

Description

Novus Biologicals Mouse RNF39 Antibody (OTI5E10) (NBP2-45962) is a monoclonal antibody validated for use in IHC, WB and ICC/IF. All Novus Biologicals antibodies are covered by our 100% guarantee.

Scientific Data Images for RNF39 Antibody (OTI5E10)

Western Blot: RNF39 Antibody (OTI5E10) [NBP2-45962]

Western Blot: RNF39 Antibody (OTI5E10) [NBP2-45962]

Western Blot: RNF39 Antibody (OTI5E10) [NBP2-45962] - Analysis of extracts (35ug) from 9 different cell lines (HepG2: human; HeLa: human; SVT2: mouse; A549: human; COS7: monkey; Jurkat: human; MDCK: canine; PC12: rat; MCF7: human).
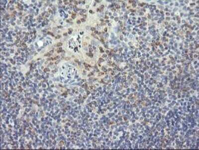
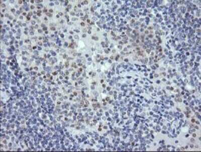
Immunohistochemistry: RNF39 Antibody (OTI5E10) [NBP2-45962]

Immunohistochemistry: RNF39 Antibody (OTI5E10) [NBP2-45962]

Immunohistochemistry: RNF39 Antibody (OTI5E10) [NBP2-45962] - Analysis of Human lymphoma tissue. (Heat-induced epitope retrieval by 10mM citric buffer, pH6.0, 120C for 3min)
Western Blot: RNF39 Antibody (OTI5E10) [NBP2-45962]

Western Blot: RNF39 Antibody (OTI5E10) [NBP2-45962]

Western Blot: RNF39 Antibody (OTI5E10) [NBP2-45962] - Analysis of HEK293T cells were transfected with the pCMV6-ENTRY control (Left lane) or pCMV6-ENTRY RNF39.

Applications for RNF39 Antibody (OTI5E10)

Application
Recommended Usage

Immunocytochemistry/ Immunofluorescence

1:100

Immunohistochemistry

1:150

Western Blot

1:200

Formulation, Preparation, and Storage

Purification

Immunogen affinity purified

Formulation

PBS (pH 7.3), 1.0% BSA and 50% Glycerol

Preservative

0.02% Sodium Azide

Concentration

1 mg/ml

Shipping

The product is shipped with polar packs. Upon receipt, store it immediately at the temperature recommended below.

Stability & Storage

Store at -20C. Avoid freeze-thaw cycles.

Background: RNF39

RNF39 lies within the major histocompatibility complex class I region on chromosome 6. Studies of a similar rat protein suggest that this gene encodes a protein that plays a role in an early phase of synaptic plasticity. Alternative splicing results in three transcript variants encoding different isoforms. May play a role in prolonged long term-potentiation (LTP) maintenance. Contains 1 RING-type zinc finger.

Alternate Names

HZF, HZFWLTP (long-term potentiation) induced RING finger protein, LIRFHZFw1, Protein HZFw, ring finger protein 39

Gene Symbol

RNF39

Additional RNF39 Products

Product Documents for RNF39 Antibody (OTI5E10)

Certificate of Analysis

To download a Certificate of Analysis, please enter a lot number in the search box below.

Product Specific Notices for RNF39 Antibody (OTI5E10)

This product is for research use only and is not approved for use in humans or in clinical diagnosis. Primary Antibodies are guaranteed for 1 year from date of receipt.

Loading...
Loading...
Loading...
Loading...