Skip to main content

RNF219 Antibody - BSA Free

Novus Biologicals, part of Bio-Techne | Catalog # NBP2-33979

Novus Biologicals, part of Bio-Techne
Catalog #
Availability
Size / Price
Qty
Loading...
NBP2-33979
NBP2-33979-25ul

Key Product Details

Validated by

Orthogonal Validation, Independent Antibodies

Species Reactivity

Human

Applications

Immunohistochemistry, Immunohistochemistry-Paraffin

Label

Unconjugated

Antibody Source

Polyclonal Rabbit IgG

Format

BSA Free

Concentration

Concentrations vary lot to lot. See vial label for concentration. If unlisted please contact technical services.

Product Specifications

Immunogen

This antibody was developed against a recombinant protein corresponding to amino acids: RSENEKKSECFSSPKTGFWDCCSTSYAQNLDFESSEGNTIANSVGEISSKLSEKSGLCLSKRLNSIRSFEMNRTRTSSEASMDAAYLDKISELDSMMS

Reactivity Notes

Immunogen displays the following percentage of sequence identity for non-tested species: Mouse (86%), Rat (84%)

Clonality

Polyclonal

Host

Rabbit

Isotype

IgG

Description

Novus Biologicals Rabbit RNF219 Antibody - BSA Free (NBP2-33979) is a polyclonal antibody validated for use in IHC. All Novus Biologicals antibodies are covered by our 100% guarantee.

Scientific Data Images for RNF219 Antibody - BSA Free

Immunohistochemistry-Paraffin: RNF219 Antibody [NBP2-33979]

Immunohistochemistry-Paraffin: RNF219 Antibody [NBP2-33979]

Immunohistochemistry-Paraffin: RNF219 Antibody [NBP2-33979] - Staining of human lymph node.
Immunohistochemistry-Paraffin: RNF219 Antibody [NBP2-33979]

Immunohistochemistry-Paraffin: RNF219 Antibody [NBP2-33979]

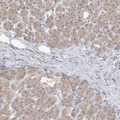
Immunohistochemistry-Paraffin: RNF219 Antibody [NBP2-33979] - Staining of human pancreas shows low expression as expected.
Immunohistochemistry-Paraffin: RNF219 Antibody [NBP2-33979]

Immunohistochemistry-Paraffin: RNF219 Antibody [NBP2-33979]

Immunohistochemistry-Paraffin: RNF219 Antibody [NBP2-33979] - Staining of human testis shows high expression.

Applications for RNF219 Antibody - BSA Free

Application
Recommended Usage

Immunohistochemistry

1:200 - 1:500

Immunohistochemistry-Paraffin

1:200 - 1:500
Application Notes
For IHC-Paraffin, HIER pH 6 retrieval is recommended.

Formulation, Preparation, and Storage

Purification

Immunogen affinity purified

Formulation

PBS (pH 7.2) and 40% Glycerol

Format

BSA Free

Preservative

0.02% Sodium Azide

Concentration

Concentrations vary lot to lot. See vial label for concentration. If unlisted please contact technical services.

Shipping

The product is shipped with polar packs. Upon receipt, store it immediately at the temperature recommended below.

Stability & Storage

Store at 4C short term. Aliquot and store at -20C long term. Avoid freeze-thaw cycles.

Background: RNF219

Alternate Names

C13orf7, chromosome 13 open reading frame 7, DKFZp686A01276, DKFZp686N15250, DKFZp686O03173, FLJ13449, FLJ25774, ring finger protein 219

Gene Symbol

RNF219

UniProt

Additional RNF219 Products

Product Documents for RNF219 Antibody - BSA Free

Certificate of Analysis

To download a Certificate of Analysis, please enter a lot number in the search box below.

Product Specific Notices for RNF219 Antibody - BSA Free

This product is for research use only and is not approved for use in humans or in clinical diagnosis. Primary Antibodies are guaranteed for 1 year from date of receipt.

Loading...
Loading...
Loading...
Loading...