Skip to main content

RNF213 Antibody - BSA Free

Novus Biologicals, part of Bio-Techne | Catalog # NBP1-88466

Novus Biologicals, part of Bio-Techne
Catalog #
Availability
Size / Price
Qty
Loading...
NBP1-88466-25ul
NBP1-88466

Key Product Details

Species Reactivity

Validated:

Human, Xenopus

Cited:

Frog - Xenopus (African Clawed Frog)

Applications

Validated:

Immunohistochemistry, Immunohistochemistry-Paraffin, Western Blot, Immunocytochemistry/ Immunofluorescence

Cited:

Western Blot

Label

Unconjugated

Antibody Source

Polyclonal Rabbit IgG

Format

BSA Free

Concentration

Concentrations vary lot to lot. See vial label for concentration. If unlisted please contact technical services.

Product Specifications

Immunogen

This antibody was developed against Recombinant Protein corresponding to amino acids: VGKNEQGEPEDLKKPEGKNRSAAAVKNEKEQKNQEADVQEVKASTLSPGGGVTVFFHAIISLHFPFNPDLHKVFIRGGEEFGESKWDSNICELHYTRDLGHDRVLVEGIVCISKKHLDKYIPYKYVIYNGESFEYEFIYKH

Reactivity Notes

Xenopus reactivity reported in scientific literature (PMID: 30979826).

Clonality

Polyclonal

Host

Rabbit

Isotype

IgG

Scientific Data Images for RNF213 Antibody - BSA Free

Western Blot: RNF213 Antibody [NBP1-88466]

Western Blot: RNF213 Antibody [NBP1-88466]

RNF213-Antibody-Western-Blot-NBP1-88466-img0017.jpg
Immunocytochemistry/ Immunofluorescence: RNF213 Antibody [NBP1-88466]

Immunocytochemistry/ Immunofluorescence: RNF213 Antibody [NBP1-88466]

Immunocytochemistry/Immunofluorescence: RNF213 Antibody [NBP1-88466] - Staining of human cell line A-431 shows localization to cytosol. Antibody staining is shown in green.
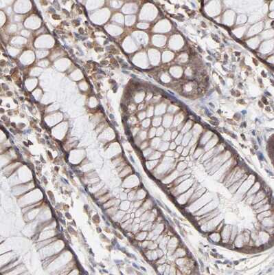
Immunohistochemistry-Paraffin: RNF213 Antibody [NBP1-88466]

Immunohistochemistry-Paraffin: RNF213 Antibody [NBP1-88466]

Immunohistochemistry-Paraffin: RNF213 Antibody [NBP1-88466] - Staining of human rectum shows moderate cytoplasmic positivity in glandular cells.

Applications for RNF213 Antibody - BSA Free

Application
Recommended Usage

Immunocytochemistry/ Immunofluorescence

0.25-2 ug/ml

Immunohistochemistry

1:50 - 1:200

Immunohistochemistry-Paraffin

1:50 - 1:200

Western Blot

Image collected and cropped by CiteAb from the following publication (http://www.life-science-alliance.org/lookup/doi/10.26508/lsa.201900390), licensed under a CC-BY license.
Application Notes
For IHC-Paraffin, HIER pH 6 retrieval is recommended. ICC/IF Fixation Permeabilization: Use PFA/Triton X-100.

Formulation, Preparation, and Storage

Purification

Affinity purified

Formulation

PBS (pH 7.2) and 40% Glycerol

Format

BSA Free

Preservative

0.02% Sodium Azide

Concentration

Concentrations vary lot to lot. See vial label for concentration. If unlisted please contact technical services.

Shipping

The product is shipped with polar packs. Upon receipt, store it immediately at the temperature recommended below.

Stability & Storage

Store at 4C short term. Aliquot and store at -20C long term. Avoid freeze-thaw cycles.

Background: RNF213

Alternate Names

ALK lymphoma oligomerization partner on chromosome 17, C17orf27, chromosome 17 open reading frame 27, DKFZp762N1115, FLJ13051, KIAA1554MGC46622, KIAA1618, MGC9929, NET57, protein ALO17, ring finger protein 213

Gene Symbol

RNF213

Additional RNF213 Products

Product Documents for RNF213 Antibody - BSA Free

Certificate of Analysis

To download a Certificate of Analysis, please enter a lot number in the search box below.

Product Specific Notices for RNF213 Antibody - BSA Free

This product is for research use only and is not approved for use in humans or in clinical diagnosis. Primary Antibodies are guaranteed for 1 year from date of receipt.

Loading...
Loading...
Loading...
Loading...