Skip to main content

RNF208 Antibody - BSA Free

Novus Biologicals, part of Bio-Techne | Catalog # NBP1-90502

Novus Biologicals, part of Bio-Techne
Catalog #
Availability
Size / Price
Qty
Loading...
NBP1-90502
NBP1-90502-25ul

Key Product Details

Species Reactivity

Human

Applications

Immunohistochemistry, Immunohistochemistry-Paraffin, Immunocytochemistry/ Immunofluorescence

Label

Unconjugated

Antibody Source

Polyclonal Rabbit IgG

Format

BSA Free

Concentration

Concentrations vary lot to lot. See vial label for concentration. If unlisted please contact technical services.

Product Specifications

Immunogen

This antibody was developed against Recombinant Protein corresponding to amino acids: EGAPHTPPLPRRPRKGSSELGFPRVAPEDEVIVNQYVIRPGPSASAASSAAAGEPLECPTCGHSYNVTQRRPRVLSCLHSVCEQC

Reactivity Notes

Immunogen displays the following percentage of sequence identity for non-tested species: Mouse (89%), Rat (89%)

Clonality

Polyclonal

Host

Rabbit

Isotype

IgG

Scientific Data Images for RNF208 Antibody - BSA Free

Immunocytochemistry/ Immunofluorescence: RNF208 Antibody [NBP1-90502]

Immunocytochemistry/ Immunofluorescence: RNF208 Antibody [NBP1-90502]

Immunocytochemistry/Immunofluorescence: RNF208 Antibody [NBP1-90502] - Immunofluorescent staining of human cell line MCF7 shows localization to nucleoplasm.
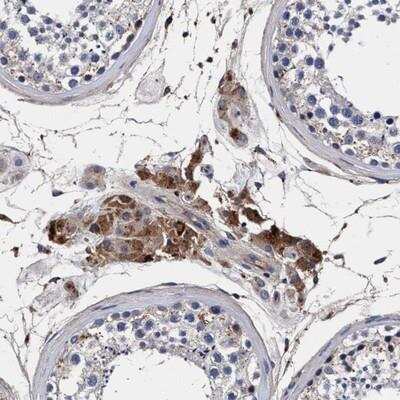
Immunohistochemistry: RNF208 Antibody [NBP1-90502]

Immunohistochemistry: RNF208 Antibody [NBP1-90502]

Immunohistochemistry: RNF208 Antibody [NBP1-90502] - Staining of human testis shows strong cytoplasmic positivity in Leydig cells.

Applications for RNF208 Antibody - BSA Free

Application
Recommended Usage

Immunocytochemistry/ Immunofluorescence

0.25-2 ug/ml

Immunohistochemistry

1:20 - 1:50

Immunohistochemistry-Paraffin

1:20 - 1:50
Application Notes
For IHC-Paraffin, HIER pH 6 retrieval is recommended. Immunocytochemistry/Immunofluorescence Fixation Permeabilization: Use PFA/Triton X-100.

Formulation, Preparation, and Storage

Purification

Affinity purified

Formulation

PBS (pH 7.2) and 40% Glycerol

Format

BSA Free

Preservative

0.02% Sodium Azide

Concentration

Concentrations vary lot to lot. See vial label for concentration. If unlisted please contact technical services.

Shipping

The product is shipped with polar packs. Upon receipt, store it immediately at the temperature recommended below.

Stability & Storage

Store at 4C short term. Aliquot and store at -20C long term. Avoid freeze-thaw cycles.

Background: RNF208

Alternate Names

DKFZP761H1710, MGC88636, ring finger protein 208

Gene Symbol

RNF208

Additional RNF208 Products

Product Documents for RNF208 Antibody - BSA Free

Certificate of Analysis

To download a Certificate of Analysis, please enter a lot number in the search box below.

Product Specific Notices for RNF208 Antibody - BSA Free

This product is for research use only and is not approved for use in humans or in clinical diagnosis. Primary Antibodies are guaranteed for 1 year from date of receipt.

Loading...
Loading...
Loading...
Loading...