Skip to main content

RNF2 Antibody (3B8) - Azide and BSA Free

Novus Biologicals, part of Bio-Techne | Catalog # H00006045-M08

Novus Biologicals, part of Bio-Techne
Catalog #
Availability
Size / Price
Qty
Loading...
H00006045-M08

Key Product Details

Species Reactivity

Human, Mouse, Rat

Applications

Western Blot, ELISA, Immunocytochemistry/ Immunofluorescence

Label

Unconjugated

Antibody Source

Monoclonal Mouse IgG2a Kappa Clone # 3B8

Format

Azide and BSA Free

Concentration

Concentrations vary lot to lot. See vial label for concentration. If unlisted please contact technical services.

Product Specifications

Immunogen

RNF2 (NP_009143, 192 a.a. ~ 290 a.a) partial recombinant protein with GST tag. MW of the GST tag alone is 26 KDa. PSNKRTKTSDDSGLELDNNNAAMAIDPVMDGASEIELVFRPHPTLMEKDDSAQTRYIKTSGNATVDHLSKYLAVRLALEELRSKGESNQMNLDTASEKQ

Reactivity Notes

Please note that this antibody is reactive to Mouse and derived from the same host, Mouse. Additional Mouse on Mouse blocking steps may be required for IHC and ICC experiments. Please contact Technical Support for more information.

Specificity

RNF2 - ring finger protein 2 (3B8)

Clonality

Monoclonal

Host

Mouse

Isotype

IgG2a Kappa

Description

Quality control test: Antibody Reactive Against Recombinant Protein.

Scientific Data Images for RNF2 Antibody (3B8) - Azide and BSA Free

Western Blot: RNF2 Antibody (3B8) [H00006045-M08]

Western Blot: RNF2 Antibody (3B8) [H00006045-M08]

Western Blot: RNF2 Antibody (3B8) [H00006045-M08] - Analysis of RNF2 expression in human placenta.
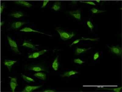
Immunocytochemistry/ Immunofluorescence: RNF2 Antibody (3B8) [H00006045-M08]

Immunocytochemistry/ Immunofluorescence: RNF2 Antibody (3B8) [H00006045-M08]

Immunocytochemistry/Immunofluorescence: RNF2 Antibody (3B8) [H00006045-M08] - Analysis of monoclonal antibody to RNF2 on HeLa cell. Antibody concentration 10 ug/ml
Western Blot: RNF2 Antibody (3B8) [H00006045-M08]

Western Blot: RNF2 Antibody (3B8) [H00006045-M08]

Western Blot: RNF2 Antibody (3B8) [H00006045-M08] - Analysis of RNF2 expression in PC-12 (Cat # L012V1).

Applications for RNF2 Antibody (3B8) - Azide and BSA Free

Application
Recommended Usage

Western Blot

1:500
Application Notes
Antibody reactivity against cell lysate, tissue lysate and recombinant protein for WB. It has been used for ELISA.

Formulation, Preparation, and Storage

Purification

IgG purified

Formulation

In 1x PBS, pH 7.4

Format

Azide and BSA Free

Preservative

No Preservative

Concentration

Concentrations vary lot to lot. See vial label for concentration. If unlisted please contact technical services.

Shipping

The product is shipped with polar packs. Upon receipt, store it immediately at the temperature recommended below.

Stability & Storage

Aliquot and store at -20C or -80C. Avoid freeze-thaw cycles.

Background: RNF2

Polycomb group (PcG) of proteins form the multiprotein complexes that are important for the transcription repression of various genes involved in development and cell proliferation. The protein encoded by this gene is one of the PcG proteins. It has been shown to interact with, and suppress the activity of, transcription factor CP2 (TFCP2/CP2). Studies of the mouse counterpart suggested the involvement of this gene in the specification of anterior-posterior axis, as well as in cell proliferation in early development. This protein was also found to interact with huntingtin interacting protein 2 (HIP2), an ubiquitin-conjugating enzyme, and possess ubiquitin ligase activity. [provided by RefSeq]

Long Name

Ring Finger Protein 2

Alternate Names

DING, HIPI3, RING1B, RING2

Entrez Gene IDs

6045 (Human)

Gene Symbol

RNF2

Additional RNF2 Products

Product Documents for RNF2 Antibody (3B8) - Azide and BSA Free

Certificate of Analysis

To download a Certificate of Analysis, please enter a lot number in the search box below.

Product Specific Notices for RNF2 Antibody (3B8) - Azide and BSA Free

This product is produced by and distributed for Abnova, a company based in Taiwan.

This product is for research use only and is not approved for use in humans or in clinical diagnosis. Primary Antibodies are guaranteed for 1 year from date of receipt.

Loading...
Loading...
Loading...
Loading...