Skip to main content

RNF181 Antibody - BSA Free

Novus Biologicals, part of Bio-Techne | Catalog # NBP2-13240

Novus Biologicals, part of Bio-Techne
Catalog #
Availability
Size / Price
Qty
Loading...
NBP2-13240
NBP2-13240-25ul

Key Product Details

Species Reactivity

Human

Applications

Immunohistochemistry, Immunohistochemistry-Paraffin, Western Blot, Immunocytochemistry/ Immunofluorescence

Label

Unconjugated

Antibody Source

Polyclonal Rabbit IgG

Format

BSA Free

Concentration

Concentrations vary lot to lot. See vial label for concentration. If unlisted please contact technical services.

Product Specifications

Immunogen

This antibody was developed against a recombinant protein corresponding to the amino acids: ASYFDEHDCEPSDPEQETRTNMLLELARSLFNRMDFEDLGLVVDWDHHLPPPAAKTVVENLPRTVIRGSQAELKCP

Clonality

Polyclonal

Host

Rabbit

Isotype

IgG

Description

Novus Biologicals Rabbit RNF181 Antibody - BSA Free (NBP2-13240) is a polyclonal antibody validated for use in IHC, WB and ICC/IF. All Novus Biologicals antibodies are covered by our 100% guarantee.

Scientific Data Images for RNF181 Antibody - BSA Free

Immunocytochemistry/ Immunofluorescence: RNF181 Antibody [NBP2-13240]

Immunocytochemistry/ Immunofluorescence: RNF181 Antibody [NBP2-13240]

Immunocytochemistry/Immunofluorescence: RNF181 Antibody [NBP2-13240] - Staining of human cell line PC-3 shows localization to nucleoplasm & cytosol.
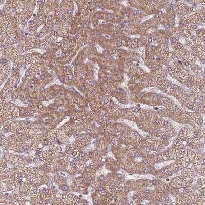
Immunohistochemistry-Paraffin: RNF181 Antibody [NBP2-13240]

Immunohistochemistry-Paraffin: RNF181 Antibody [NBP2-13240]

Immunohistochemistry-Paraffin: RNF181 Antibody [NBP2-13240] - Staining of human liver shows moderate cytoplasmic positivity in hepatocytes.
RNF181 Antibody - BSA Free Western Blot: RNF181 Antibody - BSA Free [NBP2-13240]

Western Blot: RNF181 Antibody - BSA Free [NBP2-13240]

Lane 1: Marker [kDa] 250, 130, 95, 72, 55, 36, 28, 17, 10
Lane 2: Human cell line RT-4
Lane 3: Human cell line U-251MG sp

Applications for RNF181 Antibody - BSA Free

Application
Recommended Usage

Immunocytochemistry/ Immunofluorescence

0.25-2 ug/ml

Immunohistochemistry

1:200 - 1:500

Immunohistochemistry-Paraffin

1:200 - 1:500

Western Blot

0.04-0.4 ug/ml
Application Notes
For IHC-Paraffin, HIER pH 6 retrieval is recommended. Immunocytochemistry/Immunofluorescence Fixation Permeabilization: Use PFA/Triton X-100.

Formulation, Preparation, and Storage

Purification

Immunogen affinity purified

Formulation

PBS (pH 7.2) and 40% Glycerol

Format

BSA Free

Preservative

0.02% Sodium Azide

Concentration

Concentrations vary lot to lot. See vial label for concentration. If unlisted please contact technical services.

Shipping

The product is shipped with polar packs. Upon receipt, store it immediately at the temperature recommended below.

Stability & Storage

Store at 4C short term. Aliquot and store at -20C long term. Avoid freeze-thaw cycles.

Background: RNF181

RNF181 binds the integrin alpha-IIb (ITGA2B; MIM 607759)/beta-3 (ITGB3; MIM 173470) complex and has E3 ubiquitin ligase activity (Brophy et al., 2008 [PubMed 18331836]).[supplied by OMIM]

Alternate Names

E3 ubiquitin-protein ligase RNF181, EC 6.3.2.-, ring finger protein 181HSPC238

Gene Symbol

RNF181

Additional RNF181 Products

Product Documents for RNF181 Antibody - BSA Free

Certificate of Analysis

To download a Certificate of Analysis, please enter a lot number in the search box below.

Product Specific Notices for RNF181 Antibody - BSA Free

This product is for research use only and is not approved for use in humans or in clinical diagnosis. Primary Antibodies are guaranteed for 1 year from date of receipt.

Loading...
Loading...
Loading...
Loading...