Skip to main content

RNF166 Antibody

Novus Biologicals, part of Bio-Techne | Catalog # NBP2-20177

Novus Biologicals, part of Bio-Techne
Catalog #
Availability
Size / Price
Qty
Loading...
NBP2-20177

Key Product Details

Species Reactivity

Human

Applications

Immunohistochemistry, Immunohistochemistry-Paraffin, Western Blot

Label

Unconjugated

Antibody Source

Polyclonal Rabbit IgG

Concentration

Concentrations vary lot to lot. See vial label for concentration. If unlisted please contact technical services.

Product Specifications

Immunogen

Recombinant protein encompassing a sequence within the center region of human RNF166. The exact sequence is proprietary.

Clonality

Polyclonal

Host

Rabbit

Isotype

IgG

Theoretical MW

26 kDa.
Disclaimer note: The observed molecular weight of the protein may vary from the listed predicted molecular weight due to post translational modifications, post translation cleavages, relative charges, and other experimental factors.

Description

Novus Biologicals Rabbit RNF166 Antibody (NBP2-20177) is a polyclonal antibody validated for use in IHC and WB. All Novus Biologicals antibodies are covered by our 100% guarantee.

Scientific Data Images for RNF166 Antibody

Western Blot: RNF166 Antibody [NBP2-20177]

Western Blot: RNF166 Antibody [NBP2-20177]

Western Blot: RNF166 Antibody [NBP2-20177] - Sample (30 ug of whole cell lysate) A: U87-MG 12% SDS PAGE gel, diluted at 1:1000.
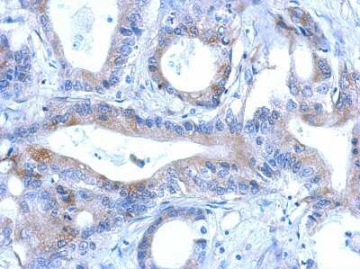
Immunohistochemistry-Paraffin: RNF166 Antibody [NBP2-20177]

Immunohistochemistry-Paraffin: RNF166 Antibody [NBP2-20177]

Immunohistochemistry-Paraffin: RNF166 Antibody [NBP2-20177] - Immunohistochemical analysis of paraffin-embedded gastric ca, using antibody at 1:500 dilution.

Applications for RNF166 Antibody

Application
Recommended Usage

Immunohistochemistry

10 - 1:500

Immunohistochemistry-Paraffin

1:100-1:1000

Western Blot

1:500-1:3000

Formulation, Preparation, and Storage

Purification

Antigen Affinity-purified

Formulation

PBS, 1% BSA, 20% Glycerol

Preservative

0.01% Thimerosal

Concentration

Concentrations vary lot to lot. See vial label for concentration. If unlisted please contact technical services.

Shipping

The product is shipped with polar packs. Upon receipt, store it immediately at the temperature recommended below.

Stability & Storage

Aliquot and store at -20C or -80C. Avoid freeze-thaw cycles.

Background: RNF166

Alternate Names

MGC14381, MGC2647, ring finger protein 166

Gene Symbol

RNF166

UniProt

Additional RNF166 Products

Product Documents for RNF166 Antibody

Certificate of Analysis

To download a Certificate of Analysis, please enter a lot number in the search box below.

Product Specific Notices for RNF166 Antibody

This product is for research use only and is not approved for use in humans or in clinical diagnosis. Primary Antibodies are guaranteed for 1 year from date of receipt.

Loading...
Loading...
Loading...
Loading...

⚠ WARNING: This product can expose you to chemicals including mercury, which is known to the State of California to cause reproductive toxicity with developmental effects.  For more information go to www.P65Warnings.ca.gov.