Skip to main content

RNF139 Antibody - BSA Free

Novus Biologicals, part of Bio-Techne | Catalog # NBP1-83212

Catalog #
Availability
Size / Price
Qty
Loading...
NBP1-83212
NBP1-83212-25ul

Key Product Details

Species Reactivity

Human

Applications

Immunohistochemistry, Immunohistochemistry-Paraffin

Label

Unconjugated

Antibody Source

Polyclonal Rabbit IgG

Format

BSA Free

Concentration

Concentrations vary lot to lot. See vial label for concentration. If unlisted please contact technical services.

Product Specifications

Immunogen

This antibody was developed against Recombinant Protein corresponding to amino acids: PEIKGSRLQEINDVCAICYHEFTTSARITPCNHYFHALCLRKWLYIQDTCPMCHQKVYIEDDIKDNSNVSNNNGFIPPNETPEEAVREAAAESDRELNEDDSTDCDDDVQRERNGVIQHTGAAAEEF

Reactivity Notes

Mouse (88%), Rat (88%).

Clonality

Polyclonal

Host

Rabbit

Isotype

IgG

Scientific Data Images for RNF139 Antibody - BSA Free

Immunohistochemistry-Paraffin: RNF139 Antibody [NBP1-83212]

Immunohistochemistry-Paraffin: RNF139 Antibody [NBP1-83212]

Immunohistochemistry-Paraffin: RNF139 Antibody [NBP1-83212] - Staining of human testis shows strong cytoplasmic positivity in cells in seminiferus ducts.
RNF139 Antibody - BSA Free Immunohistochemistry-Paraffin: RNF139 Antibody - BSA Free [NBP1-83212]

Immunohistochemistry-Paraffin: RNF139 Antibody - BSA Free [NBP1-83212]

Staining of human cerebellum shows strong cytoplasmic positivity in Purkinje cells.
RNF139 Antibody - BSA Free Immunohistochemistry-Paraffin: RNF139 Antibody - BSA Free [NBP1-83212]

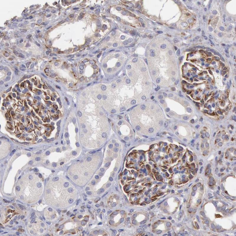
Immunohistochemistry-Paraffin: RNF139 Antibody - BSA Free [NBP1-83212]

Staining of human kidney shows strong cytoplasmic positivity in cells in glomeruli.

Applications for RNF139 Antibody - BSA Free

Application
Recommended Usage

Immunohistochemistry

1:50 - 1:200

Immunohistochemistry-Paraffin

1:50 - 1:200
Application Notes
For IHC-Paraffin, HIER pH 6 retrieval is recommended.

Formulation, Preparation, and Storage

Purification

Affinity purified

Formulation

PBS (pH 7.2) and 40% Glycerol

Format

BSA Free

Preservative

0.02% Sodium Azide

Concentration

Concentrations vary lot to lot. See vial label for concentration. If unlisted please contact technical services.

Shipping

The product is shipped with polar packs. Upon receipt, store it immediately at the temperature recommended below.

Stability & Storage

Store at 4C short term. Aliquot and store at -20C long term. Avoid freeze-thaw cycles.

Background: RNF139

RNF139 is encoded by this gene is a multi-membrane spanning protein containing a RING-H2 finger. This protein is located in the endoplasmic reticulum, and has been shown to possess ubiquitin ligase activity. This gene was found to be interrupted by a t(3:8) translocation in a family with hereditary renal and non-medulary thyroid cancer. Studies of the Drosophila counterpart suggested that this protein may interact with tumor suppressor protein VHL, as well as with COPS5/JAB1, a protein responsible for the degradation of tumor suppressor CDKN1B/P27KIP.

Alternate Names

EC 6.3.2.-, HRCA1, patched related protein translocated in renal cancer, RCA1multiple membrane spanning receptor TRC8, ring finger protein 139MGC31961, Translocation in renal carcinoma on chromosome 8 protein, TRC8E3 ubiquitin-protein ligase RNF139

Gene Symbol

RNF139

Additional RNF139 Products

Product Documents for RNF139 Antibody - BSA Free

Certificate of Analysis

To download a Certificate of Analysis, please enter a lot number in the search box below.

Product Specific Notices for RNF139 Antibody - BSA Free

This product is for research use only and is not approved for use in humans or in clinical diagnosis. Primary Antibodies are guaranteed for 1 year from date of receipt.

Loading...
Loading...
Loading...
Loading...