RNASEH2B Antibody (RM433)
Novus Biologicals, part of Bio-Techne | Catalog # NBP3-09181
Recombinant Monoclonal Antibody
Key Product Details
Species Reactivity
Human
Applications
Immunohistochemistry, Immunohistochemistry-Paraffin, Western Blot
Label
Unconjugated
Antibody Source
Recombinant Monoclonal Rabbit IgG Clone # RM433 expressed in HEK293
Concentration
Please see the vial label for concentration. If unlisted please contact technical services.
Product Specifications
Immunogen
A peptide corresponding to the C-terminus of RNASEH2B
Clonality
Monoclonal
Host
Rabbit
Isotype
IgG
Scientific Data Images for RNASEH2B Antibody (RM433)
Western Blot: RNASEH2B Antibody (RM433) [NBP3-09181]
Western Blot: RNASEH2B Antibody (RM433) [NBP3-09181] - Western Blot of Jurkat cell lysate using NBP3-09181 at a 1:1000 dilution.Immunohistochemistry-Paraffin: RNASEH2B Antibody (RM433) [NBP3-09181]
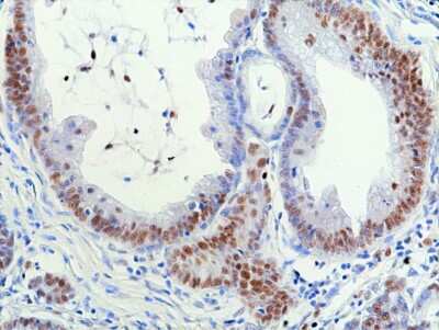
Immunohistochemistry-Paraffin: RNASEH2B Antibody (RM433) [NBP3-09181] - Immunohistochemical staining of formalin fixed and paraffin embedded human lung cancer tissue sections using NBP3-09181 at 1:100 dilution.Immunohistochemistry-Paraffin: RNASEH2B Antibody (RM433) [NBP3-09181]
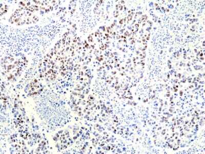
Immunohistochemistry-Paraffin: RNASEH2B Antibody (RM433) [NBP3-09181] - Immunohistochemical staining of formalin fixed and paraffin embedded human colon cancer tissue sections using NBP3-09181 at 1:100 dilution.Applications for RNASEH2B Antibody (RM433)
Application
Recommended Usage
Immunohistochemistry
1:100-1:200
Immunohistochemistry-Paraffin
1:100-1:200
Western Blot
1:1000 - 1:2000
Formulation, Preparation, and Storage
Purification
Protein A purified
Formulation
50% Glycerol/PBS, 1% BSA
Preservative
0.09% Sodium Azide
Concentration
Please see the vial label for concentration. If unlisted please contact technical services.
Shipping
The product is shipped with polar packs. Upon receipt, store it immediately at the temperature recommended below.
Stability & Storage
Store at -20C.
Background: RNASEH2B
Alternate Names
ribonuclease H2, subunit B
Gene Symbol
RNASEH2B
Additional RNASEH2B Products
Product Documents for RNASEH2B Antibody (RM433)
Product Specific Notices for RNASEH2B Antibody (RM433)
This product is for research use only and is not approved for use in humans or in clinical diagnosis. Primary Antibodies are guaranteed for 1 year from date of receipt.
Loading...
Loading...
Loading...
Loading...